王大伯(化名)是重度抽烟患者,体检发现左肺有个14mm小结节,从影像上看考虑像肺癌。
按照常规处理流程,王大伯接受了CT引导下肺结节穿刺活检,由于病灶实在太小,病理结果提示并没有取到合格的标本。因为长期抽烟导致王大伯肺功能很差,所以直接手术切除不可能。
而肺癌的治疗原则是:没有病理切片,就没有任何治疗。王大伯可以选择继续胸部CT随访观察,但14mm大小的结节又让他担心结节的增大和转移。
王大伯后续的诊断和处理陷入了死循环。
如何破局?
邵逸夫医院呼吸与危重医学科新建成的国家级呼吸疾病诊疗中心拥有的两种气管镜导航系统及一系列镜下治疗黑科技,成了破解这个死局的关键。
王大伯成了浙江省第一个获益者。
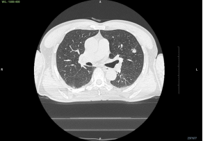
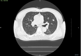
王大伯的病灶位于左肺上叶,直径约14mm。通过导航的引导,气管镜能到达结节所在的区域附近,但是并没有直接通向病灶的现成通路,最近的管腔距离肺结节还有2cm左右,如何透过气管管壁准确找到肺结节?

王大伯术前CT
原来,陈恩国主任医师团队运用了最新的BTPNA技术,简单来讲,就是在原有的导航技术上升级了一个经支气管向病灶方向打隧道的办法。 这样,很多原来没有支气管相联通的肺结节,常规导航技术难以到达,现在也可以通过这个技术轻易到达啦! 虽说就是打一条通往结节的隧道,但其中技术含量可没那么简单。要保证安全和准确,术前精密的计算和路径设计非常重要。 王大伯术前,陈主任呼吸内镜介入团队利用最新一代的虚拟导航Lung pro系统对王大伯的胸部CT进行了三维重建,计算出最佳经支气管镜到达病灶的路径,并对手术路径的可行性进行讨论,对可能出现的各种情况进行分析。
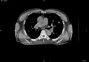
术前规划/评估:病灶位置及最佳气道内路径

术中情况
尽管结节比一颗花生大不了多少,但凭借团队医生高超的技术,以及呼吸内镜中心导航系统及DSA的加持,穿刺针穿过管壁,顺利找到了病灶,为了多维度保证位置的准确,介入团队此次利用高大上的锥形束CT进行术中实时定位,确保万无一失。
CBCT确认活检钳位置准确无误,术者开始活检,取材满意。术中快速现场细胞学评估提示腺癌。
取材标本同时也送检了术中快速冰冻,20分钟后结果回报:“非小细胞肺癌,倾向腺癌”!

为避免患者二次手术,术前已获取患者知情同意并签字。 当病理确认后,陈恩国介入团队拔出活检钳,置入Broncus最新研发的二代射频消融系统对肺癌进行消融治疗。该系统为肺部专用射频消融系统,通过盐水灌注系统充分保证消融效率与安全,具有温度可控、过热保护、操作时间短、可重复性强等优点,全程射频温度控制在60-80℃,保证消融安全和有效。


术中阻抗和温度曲线非常平稳,手术顺利

置入消融导管并完成消融术中操作实景
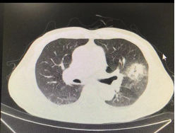
次日早上9点,陈恩国医师开始例行查房工作,走进呼吸与危重医学科15楼西区病房时,只见王大伯手脚灵活地从床边站了起来,声如洪钟地向着陈主任打招呼!眼前的王大伯,身上没有胸外科术后患者常见的胸腔引流管,也没有任何手术刀口,胸壁上也没有针眼,精神抖擞。 术后情况及消融效果 王大伯术后CT提示病灶消融范围理想,消融非常充分,治疗区域完全覆盖原有肿瘤范围,并未见气胸、咯血等并发症。
局部CT术前后对比,原病灶完全被消融范围所覆盖
“导航引导下经支气管镜下肺部肿瘤射频消融治疗” 是一种针对周围型肺癌的新型治疗手段,利用了人体的自然腔道路径,从口腔经导航系统引导直达病灶,相比传统经皮穿刺方式并发症更少,具有微创、恢复快、安全、疗效确切,可重复等优点,对于原发肺癌,肺癌术后复发,因为心肺功能不耐受等多种原因不能接受外科手术以及拒绝外科手术治疗的肺癌患者提供了新的治疗方式。

手术团队合影
浙江大学医学院附属邵逸夫医院呼吸与危重医学科隶属省委共建国家级呼吸区域医疗中心,国家首批PCCM和呼吸内镜医师培训基地,同时也是浙江省医学会呼吸分会主委单位,浙江省肺血管联盟主席单位,浙江省呼吸内镜联盟的主席单位。是省内最早开展气道内介入诊断和治疗的单位之一,目前已全面开展各项介入诊治技术,其中多项技术为省内首家开展单位。是省内唯一一家呼吸专科拥有独立DSA设备的单位,也是首批开展电磁及虚拟导航下经支气管镜肺外周结节活检术、首批引入共聚焦成像等内镜下微创诊断技术的单位,内镜综合诊疗水平在国内领先,是省内呼吸介入的领头羊。
呼吸与危重症医学科 陈恩国
主任医师
专长:呼吸系统疾病诊治,尤以少见病罕见病的诊治有较深造诣。致力于肺癌的早期诊断和晚期的综合治疗。对支气管镜检查和介入治疗具有丰富经验。
门诊时间:
庆春院区:
周五上午(名医)
周一上午(专家)
下沙院区:
周四下午(名医)
呼吸与危重症医学科 胡蕙蕙
副主任医师
专长:气管镜介入诊治技术。肺癌早期诊断及晚期综合治疗。
门诊时间:
下沙院区:
周一上午、周四上午(专家)
呼吸与危重症医学科 张冀松 副主任医师
专长:擅长多种气管镜介入诊疗技术、外周肺小结节早期诊断及内科肺癌综合治疗等。
门诊时间:
下沙院区:
周一下午、周三上午(专家)
来源:邵逸夫医院 作者:呼吸与危重医学科 张冀松 原创作品,转载请注明来源及出处























































































































