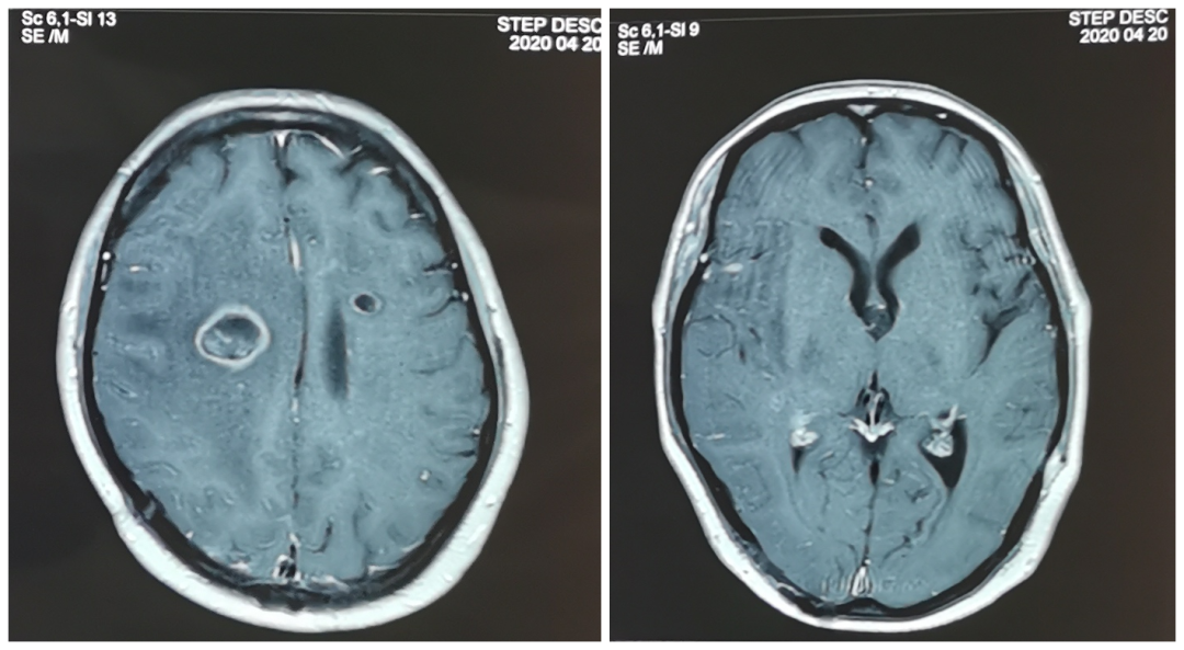
头晕、头痛、呕吐,甚至一度昏迷……一年前,姚女士曾饱受乳腺癌脑转移带来的痛苦,现在,她的脑内病灶逐渐趋于稳定,生活质量也有了明显的改善。 姚女士患上乳腺癌是四年前,经过外院手术等积极治疗之后病情一度缓解,但去年年初,乳腺癌复发并且出现了脑转移,病情持续加重,甚至一度出现生命危险。 病情进展快,先放疗还是先手术? 姚女士辗转来到瑞金医院求助,在颅内外转移瘤多学科门诊,来自放疗科、放射科、神经外科、肿瘤科、核医学科的专家们针对她的病情,进行了充分讨论。 放疗科陈佳艺主任说:“姚女士颅内转移病灶必须通过脑部放疗控制,但转移灶造成的脑脊液梗阻十分棘手,这个问题不解决,放疗会有风险。”放射科柴维敏主任读片后表示,患者脑转移病灶已经压迫了室间孔,导致脑脊液回流受阻,颅内压力持续升高,可能引发脑疝,危及生命。 很快,姚女士的治疗方案成型了:第一步,由神经外科进行侧脑室-腹腔分流术,解决梗阻状况,缓解病情。第二步,进行放疗,控制颅内病灶。 术前影像 入院第二天,姚女士住进了神经外科病房,孙青芳主任团队为她进行了减压分流术,同时切除了颅内较大的一枚病灶,手术之后,患者的头晕、头痛的症状明显缓解。 海马保护的全脑放疗+立体定向放射治疗, 两大利器使脑转移病灶逐渐稳定 1个月后,姚女士再次来到瑞金医院放疗科就诊,由于她的颅内肿瘤病灶较多,且年纪较轻,只有46岁,放疗科全科讨论后,决定先为她实施海马保护的全脑放疗。 术后1个月、保护海马的全脑放疗前 大脑中的“海马”与人的认知功能密切相关,相当于电脑的“内存”,常规的全脑放疗会对海马造成辐射损伤,影响患者的认知功能。保护海马的全脑放疗,可在控制颅内病灶的前提下,降低全脑放疗对海马的影响,尽可能避免损伤认知功能。 保护海马的全脑放疗后 令人欣慰的是,姚女士接受保护海马的全脑放疗后2个月和4个月的复查显示,她颅内各病灶在持续退缩,且没有出现记忆力、理解力下降等认知功能障碍表现。 在颅内病灶整体控制良好的情况下,放疗科拿出了颅内放疗的另一个武器:立体定向放射治疗,为脑内病灶的控制再添一把火。 立体定向放射治疗,被称为放疗的“刀”,与全脑放疗相比,该技术采用更高的放疗剂量,专门针对病灶进行照射,经过治疗后的病灶局部控制率会更高,而且对周围正常的脑组织影响也比较小,适用于颅内病灶数量少,病灶体积较小的患者。 姚女士经过前期手术和海马保护的全脑放疗,颅内病灶较治疗前已明显减小、减少,非常适合做立体定向放射治疗。在放疗科的医师、物理师和技术员整个团队的通力配合下,姚女士顺利完成了立体定向放射治疗。 立体定向放射治疗后 今年2月,本应复查的姚女士因疫情无法从外地赶来,放疗科陈佳艺主任主动联系,并建议她在当地医院复查头颅MR,再将图像传过来进行评估,经检查显示,立体定向放射治疗后,姚女士的颅内病灶在持续退缩,残留的病灶基本都没有活性了。4月,陈佳艺主任再次远程评估病情,姚女士的颅内病灶处于稳定状态。 瑞金医院颅内外转移瘤多学科整合门诊成立近一年以来,已经诊治了近130名患者。这一整合门诊汇集瑞金医院放疗科、放射科、肿瘤科、呼吸科、核医学科、神经内科、神经外科等各科室专家,为颅内外转移瘤患者制订个体化治疗方案,最大程度改善患者症状、延长患者生存期、提高患者生活质量。



























































































