肺癌首页

初识肺癌

诊断筛查

肺癌特药

肺癌治疗

寻医问诊

肺癌护理

肺癌并发症

肺癌复发转移

预防肺癌

首页 > 癌症分类 > 肺癌 > 肺癌治疗

小细胞肺癌的质子治疗

来源: 2020-07-15

小细胞肺癌(SCLC)约占所有肺癌的15%,仅35%为局限期SCLC(LD-SCLC)。LD-SCLC早期胸腔放疗联合化疗(CTRT)改善了患者预后,中位生存期为18~24个月;广泛期SCLC(ESD-SCLC)患者的预后较差,中位生存期仅8~10个月。同步放化疗是目前LD-SCLC的治疗标准。但是,采用常规X射线放疗(XRT)进行大剂量照射并同步化疗会导致高级别毒性反应的发生,据报道,患者发生急性3级放射性食管炎和肺炎的比例分别为30%和5~10%。
 
 剂量学研究表明,与XRT相比,质子治疗(PT)非小细胞肺癌(NSCLC)对食管肺、心脏的照射剂量更小。研究同时表明,无论是否为广泛期病变以及是否包含选择性淋巴结照射(ENI),质子治疗均优于3D适形放疗(3DCRT)和/或光子调强放疗(IMRT)。此外,与IMRT相比,质子治疗III期NSCLC的急性毒性反应发生率较低。如果这些结果可扩展至SCLC,也会表现出类似鼓舞人心的结果。因为SCLC通常病灶更大,更靠近危及器官。因此,质子治疗也可能有助于减少SCLC放疗诱导的毒性反应发生率。

 ccQ帝国网站管理系统

临床证据

 ccQ帝国网站管理系统

2013年,佛罗里达大学质子治疗中心(UFPTI)发表了首篇质子治疗局限期SCLC的研究报告,并比较了质子治疗与IMRT对肺和食管的照射剂量。6例患者接受了质子治疗,中位随访时间为12个月。患者的1年总生存率和无进展生存率分别为83%和66%。无患者发生≥3级急性食管炎或≥2级急性肺炎。与IMRT治疗计划相比,质子治疗具有更优的肺和食管剂量分布。ccQ帝国网站管理系统

 ccQ帝国网站管理系统

表:6例患者IMRT与质子治疗的剂量学对比

ccQ帝国网站管理系统

 ccQ帝国网站管理系统

2017年,宾夕法尼亚大学医院放射肿瘤科于《Cancer》杂志上发表了一项针对30例患者的更大规模的前瞻性研究。患者接受了质子治疗同步化疗,中位剂量为63.9 Gy (RBE),共33~37个分次。ccQ帝国网站管理系统
 ccQ帝国网站管理系统

ccQ帝国网站管理系统

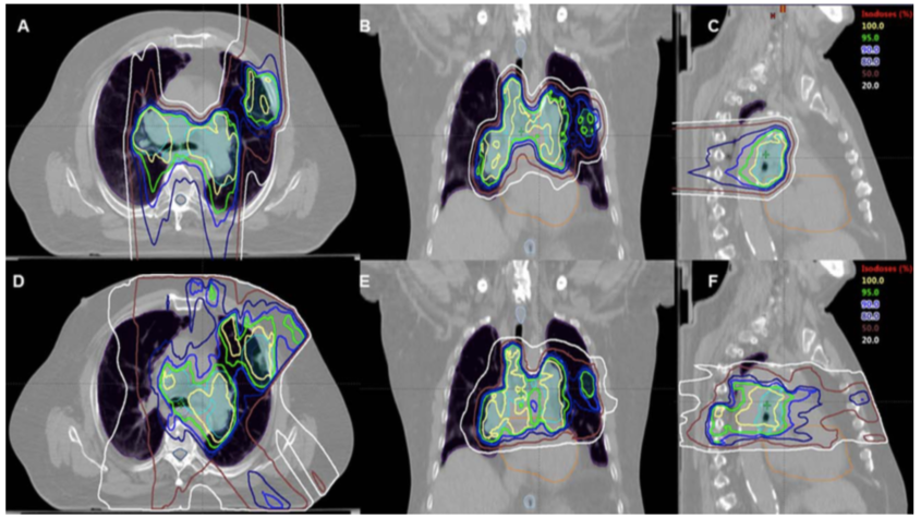
示例:74岁女性患者,局限期小细胞肺癌,累及右肺下叶、右肺门,伴纵隔淋巴结转移。质子治疗计划的轴向图(A)、冠状图(B)和矢状图(C)。 (D–F)为相应的IMRT治疗计划图。计划靶区(PTV)以青色显示。 

 ccQ帝国网站管理系统

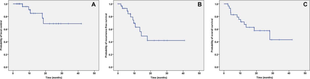
在14个月的中位随访时间中,1年和2年局部控制率分别为85%和69%;中位总生存期为28.2个月,1年和2年总生存率分别为72%和58%。各有1例患者(3.3%)发生了3级或以上食管炎、肺炎、厌食症、心包积液,2级肺炎和食管炎的发生率分别为10.0%和43.3%。与IMRT备选治疗计划相比,质子治疗计划显著改善了心脏、脊髓、肺V5和平均肺照射剂量。质子治疗在这项研究中具有理想的疗效和毒性反应。ccQ帝国网站管理系统

ccQ帝国网站管理系统

Kaplan-Meier生存曲线:局部控制率(A)、无复发生存率(B)、总生存率(C)。

 ccQ帝国网站管理系统

两项研究都显示了质子治疗SCLC的安全性和有效性。尽管佛罗里达大学的研究没有评估心脏照射剂量,但宾夕法尼亚大学的前瞻性研究表明,与IMRT治疗计划相比,质子治疗在心脏V30、V45和平均剂量方面具有剂量学优势。同时研究也表明患者可耐受综合治疗,研究过程中无患者中断放疗,93%的患者完成了全部化疗(4个周期)。ccQ帝国网站管理系统

 ccQ帝国网站管理系统

由于SCLC对化疗和/或放疗反应良好,通常在治疗开始后1~2周,大部分肿瘤就可消退。这给质子治疗带来了挑战,因为肺组织(较低密度)替代肿瘤组织(较高密度)会导致质子剂量的错误分布,导致对正常(或对侧)肺等区域的不必要照射,或剂量过度进入纵隔和心脏。因此,患者接受质子治疗时,适应性治疗(基于肿瘤反应或治疗期间的其他解剖结构变化, 重新模拟或调整治疗计划)或许是必要的。在宾夕法尼亚大学的研究中,有3例患者(10%)根据需要制定了适应性治疗计划。这与光子放疗在完成第一疗程化疗后进行适应性计划调整(即避免治疗损伤大量肺组织)的原理类似,都是为了更好地保护正常组织。ccQ帝国网站管理系统

 ccQ帝国网站管理系统

复发性SCLC质子再程放疗

 ccQ帝国网站管理系统

美国质子协作组(PCG)及佛罗里达质子治疗中心开展的前瞻性登记研究显示,复发性肺癌(NSCLC/SCLC)质子再程放疗具有良好的患者耐受性,详情请见质子中国往期报道《最新大样本量研究:复发性肺癌质子再程放疗具有良好的患者耐受性》。德国一项多中心研究比较了用于局部复发性肺癌(NSCLC/SCLC)的多种类型光子放疗和质子治疗计划,结果显示调强质子治疗(IMPT)可以显著降低危及器官的照射剂量。ccQ帝国网站管理系统

 ccQ帝国网站管理系统

未来观点

 ccQ帝国网站管理系统

质子治疗SCLC仍处于初级阶段,目前,患者的生存期不断延长,治愈机会逐步增加,应尽可能减少放疗诱导的毒性反应,尤其是心脏毒性反应。需要更多证据来证明质子治疗的有效性,以及相关经济和生活质量的分析。ccQ帝国网站管理系统

 ccQ帝国网站管理系统

此外,尽管SCLC的免疫原性仍在研究中,但免疫治疗联合放疗可能有助于更好地优化肺癌的免疫原性。有数据表明质子或重离子可能比光子放疗更大程度地刺激患者免疫系统,潜在地最大化免疫治疗联合放疗对SCLC的协同效应。目前尚缺乏免疫治疗联合放疗安全性的临床数据,需深入研究,以得出更确切的结论。(质子中国 编译报道)ccQ帝国网站管理系统

 ccQ帝国网站管理系统

参考文献:
1. Verma V, Choi J I, Simone Ii C B. Proton therapy for small cell lung cancer[J]. Translational Lung CancerResearch, 2018, 7(2):134-140. DOI: 10.21037/tlcr.2018.04.02.
2. Colaco RJ,Huh S,Nichols RC,et al. Dosimetric rationale and early experience at UFPTI of thoracic proton therapy and chemotherapy in limited-stage small cell lung cancer.Acta Oncol 2013;52:506-513.DOI:10.3109/0284186X.2013.769063.
3. Rwigema JM,Verma V,Lin L,et al. Prospective study of proton-beam radiation therapy for limited-stage small cell lung cancer.Cancer 2017;123:4244-4251.DOI:10.1002/cncr.30870.
4. Troost EGC,Wink KCJ,Roelofs E,et al. Photons or protons for reirradiation in (non-)small cell lung cancer:Results of the multicentric ROCOCO  study.Br J Radiol 2020;93:20190879.DOI:10.1259/bjr.20190879.

  • 小细胞肺癌
  • 放疗
  • 指南共识
  • 指南

其他热门专题

  • 肺癌手术
  • 科普答疑
  • 放疗
  • 放射治疗

其他热门专题

  • 放射治疗
  • 科普答疑
  • 非小细胞肺癌
  • 质子治疗

其他热门专题

  • 治疗中护理
  • 居家护理
  • 保健品
  • 抗癌饮食

其他肺癌护理专题

  • 影像学检查
  • 病理活检
  • 肺结节
  • 基因检测

其他诊断筛查专题