随着高分辨率、低辐射剂量计算机断层扫描(CT)的广泛应用,特别是参加肺癌筛查项目或健康体检的人群增加,肺结节的检出越来越多。
1.肺结节多学科微创诊疗共识

为规范肺结节的诊疗行为,通过多学科团队工作模式和医患共同决策,提高工作效率和患者参与度,提高肺结节的诊治水平,降低过度诊治和诊治不足的问题,中国医药教育协会肺癌医学教育委员会发起并组织胸外科、呼吸科、肿瘤科、介入科、影像科等学科专家组成 MDT 的工作模式,以东亚专家发表的文献为主要依据,参考国际指南或共识,经过反复磋商和充分讨论形成共识推荐意见和推荐等级。本共识启动时间为 2021 年8 月,定稿时间为 2023 年 5 月。
2.肺结节的分类
肺结节根据大小直径≤10 mm 的称小结节(或亚厘米结节),直径≤5mm 的称微结节;根据持续时间分为一过性肺结节和持续性肺结节;按密度可分为实性结节和亚实性结节,其中亚实性结节可分为纯磨玻璃结节和混合磨玻璃结节(也称为部分实性结节)。
本共识对肺结节采用四分法:
01纯磨玻璃结节

02混合磨玻璃结节/部分实性结节

03实性结节

04 囊腔型结节

3.肺结节的恶性概率

3.1肺结节大小
持续性肺结节大小与恶性概率明显相关,相关研究提示:
①结节直径≤5 mm 恶性概率<1%;
②直径5-9 mm 恶性概率 2%-6%;
③直径≥10 mm 恶性概率15.2%;
④直径≥20 mm 恶性概率 64%-82%。
3.2肺结节密度
①一般来说,亚实性结节(包括纯磨玻璃结节和混合磨玻璃结节)的恶性概率高于实性结节;
②混合磨玻璃结节的恶性概率高于纯磨玻璃结节。
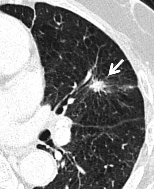
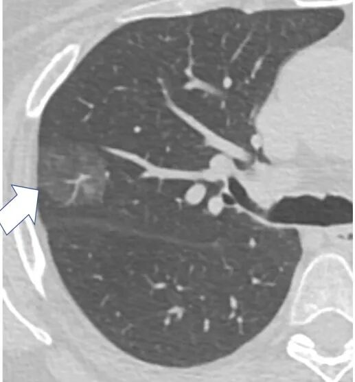
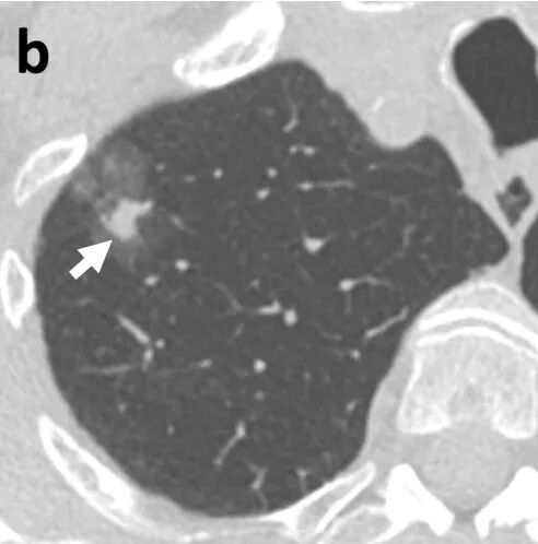
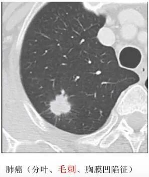
3.3肺结节形态

①持续性肺结节影像学表现为分叶、毛刺、胸膜改变(胸膜牵拉、胸膜皱缩、胸膜附着、胸膜凹陷)、空泡征和血管征(扭曲/扩张/僵硬)及囊腔型等征象者恶性概率高。
②在普通人群中,当叶间裂旁结节表现出肺内淋巴结典型征象时,通常不建议进行CT随访。
3.4容积倍增时间
容积倍增时间是判断持续性肺结节良恶性的重要参数之一。一般良性病变≥800 d,原位腺癌或微浸润腺癌为 400-600 d,浸润性病变<400 d。
4.肺结节的自然病程
新发现的肺结节中,部分存在吸收消散或假性收缩或稳定增长等不同形式,共识推荐:
①筛查或偶然发现或者不完整 CT 扫描(没有在指定层厚或厚层>2 mm)发现的肺结节吸收消散的概率为 20%-70%,首次(1-3 个月)复查常规剂量薄层 HRCT 是必要的。
②即使是直径<6 mm 的肺结节也应该每年复查 1 次。
③大部分纯磨玻璃结节至少随访 7 年;大部分混合磨玻璃结节至少随访 3 年。
④预测肺结节增长的主要因素是初始最大径,阈值定义为结节最大径或实性成分最大径增长≥2 mm。
5.肺结节的随访策略

①随访中实性成分增加 2 mm 或者新发结节平均直径≥4 mm 定义为变化;
②随访中未发生变化的结节恶性可能性较低,建议采取较相同直径大小的初次筛查检出结节随访周期更长的随访策略(降级策略);
③随访中出现新发结节或结节增大或实性成分增加,高度疑似恶性,建议采取较相同直径大小的初次筛查检出结节随访周期更短的随访策略(升级策略);
④随访中增大且直径≥15 mm 的 纯磨玻璃结节,建议间隔 3 个月复查常规剂量薄层 HRCT,亦建议选择病理活检或者手术切除明确诊断,活检确定非肺癌者则更改随访策略为每年 1 次常规剂量薄层 HRCT(关于随访持续及终止时间尚无明确定论);
⑤常规剂量增强 CT 和/或 PET-CT 检查高度疑似恶性者,考虑选择病理活检或手术切除明确诊断,活检确定非肺癌者则更改随访策略为每年 1 次常规剂量薄层 HRCT(关于随访持续及终止时间尚无明确定论);恶性可能性较低者建议间隔 3 个月复查常规剂量薄层 HRCT。
6.肺结节的外科手术适应症
外科手术是处理疑似早期非小细胞肺癌肺结节的首选手段。
①对直径≥15 mm 的持续性纯磨玻璃结节,直径≥8 mm 的实性结节或实性成分≥5 mm 的持续性部分实性结节,高度疑似恶性者;
②影像学形态如毛刺、分叶、胸膜改变(胸膜牵拉、胸膜皱缩、胸膜附着、胸膜凹陷)、空泡征、血管征(扭曲/扩张/僵硬)及囊腔型等恶性征象者;
③动态随访后稳定或增长(结节最大径或实性成分最大径增长≥2 mm)者。
7.肺结节可以吃中药消除吗?

我们来学习了解由中国中西医结合学会肿瘤专业委员会、北京中医药学会肿瘤专业委员会组织专家充分讨论形成的《肺结节中西医结合全程管理专家共识》中关于中医药应用的相关推荐:
①对于通过影像检查评定的中高危结节,中医药有可能使部分患者的结节缩小;
②对于一些炎症相关性结节,中医药有可能促进病灶的吸收;
③对于肿瘤相关性肺结节,是中医药参与肺结节全程管理的主要对象,中医药有可能延缓结节的进展;
④中医药可有效改善患者的焦虑抑郁情绪及其他临床症状,一定程度上减少过度诊断和治疗。
从共识中可以了解,因为中医药缺乏高级别循证医学证据的支持,所以文中的推荐应用时均标注为“可能”有效,意味着我们中医/中西医结合工作者在肺结节的中医协同诊疗之路上还有很远的循证之路需要探索。
8.肺结节的基本方
中医理论认为:肺结节发病与气、湿、热、痰、瘀、毒等病理产物产生及其相互搏结有关。病位主要在肺,与肝、脾、肾相关。《肺结节中西医结合全程管理专家共识》中列举了北京中医医院经验提出治疗肺结节的基本治疗大法为益气、化痰、散结,可供临床参考基本方如下:

以上便是我们从2篇共识中学习了解到的关于肺结节的诊断、随访、治疗的部分内容。
首次发现肺结节,不用慌张,请至胸外科、呼吸科等多学科专病门诊评估;并坚持后续有序规则的随访;坚持健康生活方式;戒烟酒;保持心情舒畅;同时如果有您有相关不适症状或是寻求围手术期的中医药协同治疗,可至复旦大学附属中山医院中医/中西医结合科的亚健康专病门诊评估就诊。
快速开具肺部小结节薄层CT等随访复查项目,或是开具心电图、肺功能等术前检查,均可至复旦大学附属中山医院中医/中西医结合科的中西医结合便民门诊。
参考文献:
1.中国医药教育协会肺癌医学教育委员会.肺结节多学科微创诊疗中国专家共识[J/OL].中国胸心血管外科临床杂志:1-14[2023-08-06].
2.张兴涵,张怀锐,念家云等.肺结节中西医结合全程管理专家共识[J/OL].中国实验方剂学杂志:1-14[2023-08-06].
声明:
本文图片摘录自网络,仅作为科普传播素材,非商业用途,版权归原作者所有。
审校:杨云柯 张雯 鲍旭霞 李祥婷































































































