每天都有不同的网友在网络平台上咨询肺结节的问题,这个问题如此普遍,几乎成了一个社会问题,就因为少数肺结节可能是早癌,只要报告上显示结节,大家就会问同一个问题,会不会是癌?要不要手术?几乎每个咨询者都会上传CT报告或者电子版影像,有些无法提供电子影像的用手机拍照上传。事实上,如果没有特别清晰的电子图像,很难对数毫米的小结节做出判断。
为了更好地鉴别诊断肺结节,医生需要根据CT扫描肺结节所在部位、大小、密度、形状、有无钙化、分叶、毛刺、胸膜凹陷等来判断其良恶性。然而对于太小的结节,常规CT上的形态特征并不明显,给诊断也带来一定难度。这里不得不提一个针对肺结节的更重要的检查—靶扫描。

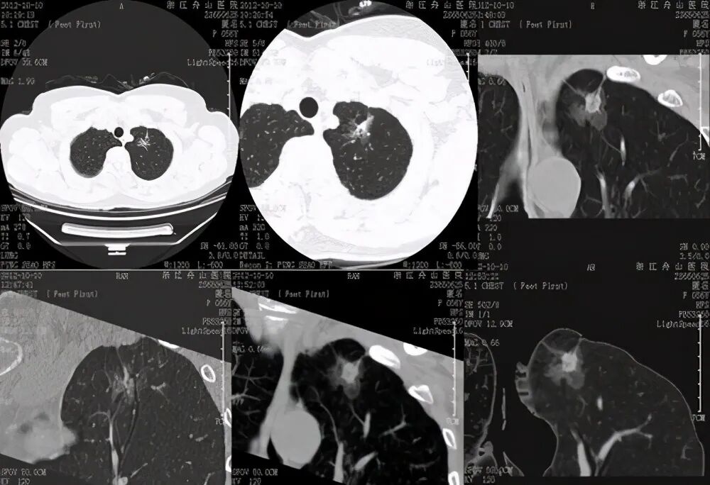
什么是肺部靶扫描?
常规胸部CT扫描由于视野大、层厚较厚,不能全面观察肺结节影像特征。靶扫描又称放大扫描、感兴趣区扫描,是针对肺部<3cm的病灶,也就是我们所说的“肺结节”所进行的小范围局部扫描。简而言之,就是肺部CT检查时以小视角、小范围的扫描,扫描范围小于全肺,优势在于可以薄层地找到病灶并放大病灶。
靶扫描可以更全面、多方位、更直观地观察病灶的形态、特征,观察病灶边缘、中心结构,然后通过计算机处理和医生的经验去发现有价值的诊断线索,从而得出更为准确的结论。靶扫描通过提高空间分辨率,更好地显示肺结节病变特征,为肺内结节的定性诊断提供更多的依据。

肺部充满气体,属于具有良好自然对比的脏器,但肺脏不停地呼吸运动,做CT时容易受到呼吸运动的影响,靶扫描使用小范围、薄层技术采集到的小体积像素对呼吸运动伪影具有几何放大的作用,也就是说极大减少了呼吸运动伪影。
不少病人问,我查出肺结节,需不需要做增强CT,增强CT就是往血管里打造影剂然后扫描。增强扫描有两个意义:一是如果病灶血供丰富,注射造影剂后病灶有强化,从而判断其富血供,考虑恶性可能大;另一个是纵隔内增强可区分出血管与淋巴结,从而判断有无肿大淋巴结,特别是是不是存在淋巴结转移的可能性。然而对于1~2公分的肺结节,尤其是有许多磨玻璃成份时,增强CT强化程度可能比较有限,提供的信息相较于CT平扫多不了多少。而此时如果进行靶扫描,则能够更有利于对细小病灶进行观察和判断。
胡洋,同济大学附属上海市肺科医院呼吸科主治医师,医学博士,硕士生导师。上海医学会肺功能学组成员,中华医学会成员。擅长间质性肺病、结节病、肺癌等肺部疾病的预防与诊治。





































































































