肺部肿瘤、纵隔肿瘤或食管肿瘤患者,有些在晚期会出现饮水呛咳的症状,这常常是由于肿瘤侵袭性生长,出现食管-气管瘘,饮水之后进入气管导致的。
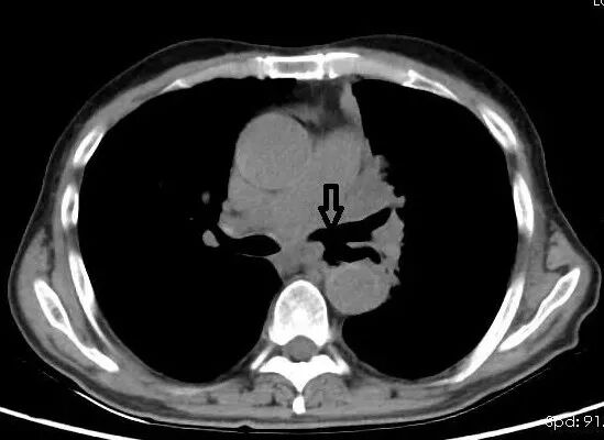
正某(化名)是一位晚期肺癌患者,于本次入院前1周出现了饮水呛咳、咳嗽、咳黄痰、发热等症状。考虑到正某存在肺部肿瘤病史,住院后我们为他进行了胸部CT的检查。检查结果发现病人肺部肿瘤侵犯肺门部纵隔淋巴结,可见看到明显的食管-气管相连,经过判定,考虑出现了食管-气管瘘的情况。

因为正某目前正在进行周期性的抗肿瘤治疗,需要加强营养来抗衡治疗副作用以及疾病本身带来的消耗,而食管-气管瘘导致的无法进食无疑让病人雪上加霜。因此,在与正某充分沟通后,我们选择了为他进行食管覆膜支架植入术,来恢复正某的进食功能。
食道覆膜支架是由镍钛记忆合金制成,表面被覆硅橡胶薄膜,封闭了裸架的网眼,增生性病变无法通过网眼进入管腔内部。针对于食管-气管瘘的患者,可通过置入食管覆膜支架封堵食管气管瘘口,改善吞咽困难症状。从而提高生活质量及生存时间。

在进行了充分的术前准备后,我们为正某开展了介入引导下食管支架植入术。
在支架植入前,通过上消化道造影,可以明显观察到吞下的造影剂通过瘘口进入到气管以及双侧的肺内,进一步证实了食管气管瘘的诊断。
经过准确定位,在瘘口附近成功释放支架,支架完美展开,并覆盖瘘口
支架植入后,再次令患者口服造影剂,造影剂顺利通过支架进入胃内,患者未再出现呛咳症状
手术结束后,正某可以立即饮水并进食一些流质(牛奶、藕粉、果汁等液体)及半流质食物(米粥、面汤等)。
术后注意事项:
1.术后患者床头应抬高15-30°以防反流
2.术后不宜进冰冷食,如冰棍等冷饮,以防支架遇冷收缩,变形收缩
3.进食时患者取坐位或半坐位,餐后直立30min以上,以减少食物、胃酸反流
4.进食宜“细嚼慢咽”,切勿“狼吞虎咽”式进食,进食后引用少量温水冲洗支架





















































































