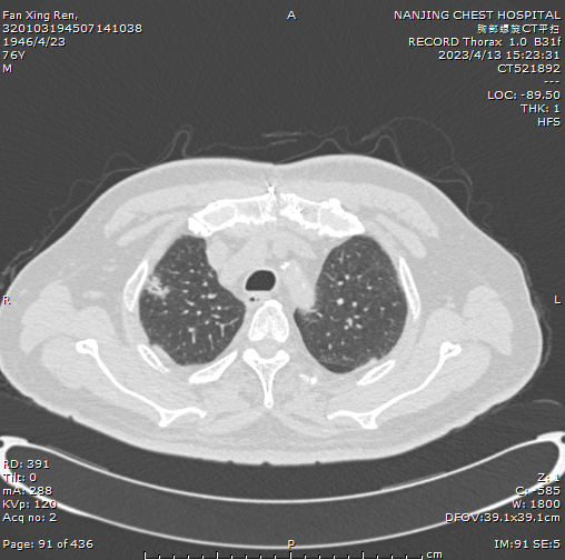
可是发现肺结节之后,如果患者不仅高龄还合并严重的基础疾病,例如:冠心病、糖尿病等还能不能手术呢?相信大多数患者和家人都有着这样的疑问或顾虑。 近日南京市胸科医院胸外科四病区就收治了这样一位患者。   患者范老先生,今年77岁,吸烟史40余年(3包/天),有糖尿病病史4年,2022年11月23日曾在我院体检发现肺结节,后因冠状动脉狭窄至行心脏搭桥手术,术后搭了4根桥,患者还患有腹主动脉瘤,放置了腹主动脉支架,恢复顺利。   2022年12月因为新冠肺炎疫情大面积爆发,阻碍了范老先生的求医之路。他向我们表示这段日子每天都度日如年,因为自己感染了新冠病毒,恢复了好久身体才得到康复。之后觉得一刻也不能再耽误。辗转多家大型综合性医院挂号问诊,后经过多方打听,于2023年4月13日在家人的陪伴下再次至我院,咨询了胸外科四病区专家——马国栋主任。 患者说自己是一位从军近30年的老军人,年轻的时候身体素质非常好,但是烟龄长,本身患有糖尿病、心脏又搭桥,顾虑重重总是担心自己肺质量差,影响手术效果和愈后,思虑再三最终决定到专业性最强的南京市胸科医院完成此次手术。 范老先生入院后,马国栋主任向范老先生及其家人分享了以往在我院类似成功手术病例给了病人极大的信心,解除了几个月焦虑紧张的情绪。并且针对范老先生疾病的特殊性,精心制定了一系列个体化的诊疗方案。 术前CT报告 在完善了相关术前检查、充分评估病情、排除手术禁忌。于2023年4月19日行胸腔镜肺叶部分切除+淋巴结清扫术,患者年纪大同时患有糖尿病及心脏病,在马主任及其团队医师的通力合作下,手术顺利完成,时长仅2小时,术中出血仅10ml。 术后病理报告 术后通过马主任团队医师们的精心诊治、病区护理团队悉心照顾之下,范老先生术后恢复良好,术后第3日拔除胸腔引流管,手术切口愈合佳,无红肿渗液。 人间最美四月天,最美不过夕阳红,在这个草长莺飞的春季,一位老军人诚挚的向马主任团队表示了感谢。 病区走廊里范老先生在护士的指导下做呼吸操、手部爬墙运动、肺部康复锻炼,忙得不亦乐乎,护士告诉老人不能太累,他笑呵呵的说:我是铁骨铮铮的军人,不知道累是什么......走廊里传来老人和护士爽朗的笑声,我们也发自内心的为老人在这么短时间内恢复这么快感到高兴。 有时是治愈,常常是帮助,总是去安慰,这是一句多么平凡的座右铭,细细品味,韵味十足,愿每个老年人都能度过一个安详平和有质量的老年时光。  患者经历
手术结果


真挚的感谢











 
                                
















































 
                            









































