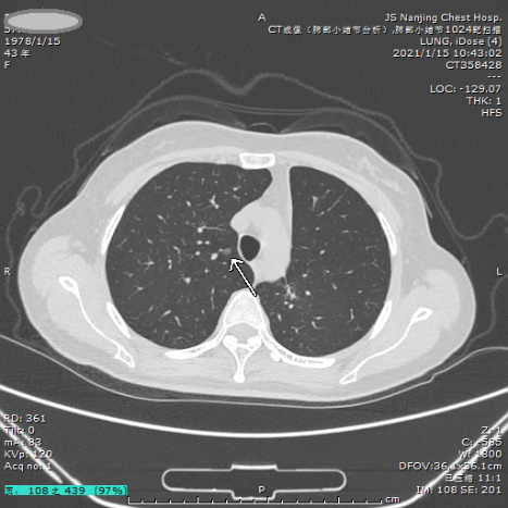
案例一 纯磨玻璃小结节

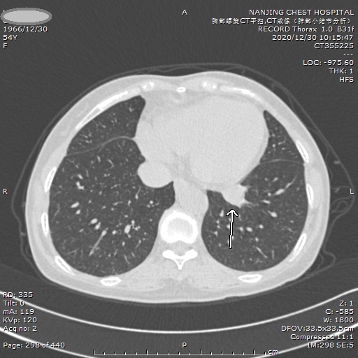
案例二 混杂型结节

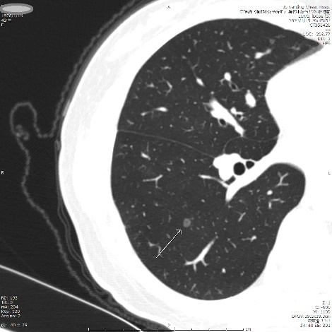
案例三 实性结节

案例四 多发结节


案例五 位置深的结节

综上所述,肺结节是否应该手术,是一个很复杂的问题,需要很有经验的专家帮助判断,甚至有一部分病灶,作为专家也不敢轻易下决定。
总而言之,发现问题不要回避,选择对的医生,做出对的选择。最后,希望大家都能健康长寿!
wpC帝国网站管理系统
案例一 纯磨玻璃小结节wpC帝国网站管理系统

wpC帝国网站管理系统

wpC帝国网站管理系统
wpC帝国网站管理系统
wpC帝国网站管理系统
wpC帝国网站管理系统

wpC帝国网站管理系统
wpC帝国网站管理系统
综上所述,肺结节是否应该手术,是一个很复杂的问题,需要很有经验的专家帮助判断,甚至有一部分病灶,作为专家也不敢轻易下决定。wpC帝国网站管理系统
总而言之,发现问题不要回避,选择对的医生,做出对的选择。最后,希望大家都能健康长寿!wpC帝国网站管理系统
wpC帝国网站管理系统
胸外科副主任医师,中国抗癌协会肿瘤腔镜与机器人外科分会专业会员。吴阶平医学基金会交感神经外科专业委员会委员。胸外科疾病诊治及手术治疗。尤其对于肺部小结节,肺部占位的临床诊治,有丰富的经验。近年来致力于单孔胸腔镜肺叶,肺段手术的临床研究。
治疗案例
什么是肺结节
一文教你读懂CT报告单肺结节报告
肺结节为何要做靶扫描?
查出磨玻璃结节肯定是肺癌?别慌!5年生存率有可能达到100%...
肺结节出现这一变化,60%可能是恶性肿瘤!预防调理,用好2个“法宝”...
肺部发现磨玻璃结节,分几类?咋处理?
从“磨玻璃结节”到肺癌有多远?
肺结节手术前后,该注意什么?
不要看到毛玻璃肺结节,就急着去开刀
听说肺癌有遗传倾向,那肺结节会不会遗传?
体检报告上的“肺小结节”会癌变吗?肺部结节的形成原因是什么?专家...
其他热门专题
从“磨玻璃结节”到肺癌有多远?
不要看到毛玻璃肺结节,就急着去开刀
科普 | 查出肺部磨玻璃结节,要不要手术?
肺结节手术前后,该注意什么?
肺结节=肺癌?莫让“结节”变“心结”,让新华专家来鉴别!...
仁医直播间 | 从肺结节到肺癌,如何实现精准诊疗?...
微波消融术为什么不能取代手术?
移动CT引导下的肺结节射频消融
微波消融术适不适用于肺结节患者?
其他热门专题
肺癌手术切哪里?切多少?
如何认识和理解肺腺癌外科治愈窗口期
荧光胸腔镜技术,肺段切除的好帮手
【术前谈话】肺是怎样的器官?胸腔镜手术是怎么做的?...
国际视角丨Mark Kris:可手术早期肺癌选择同步放化疗or手术,需考虑...
医万个为什么 | 包勇:为什么肺癌放疗需定期复查...
一文看懂,放疗在肺癌治疗中的应用
精准放疗的守护者—运动管理技术
中医古籍癌症系列之肺积|肺癌
【肿瘤科普】晚期非小细胞肺癌的中医维持治疗可以从三个治则入手...
中医古籍癌症系列之肺积|肺癌
什么样的肺癌患者适合单纯中医治疗?
其他肺癌治疗专题
科普 | 化疗导致的中性粒细胞减少症肿瘤患者都需要使用抗菌药物...
化疗、靶向常见的皮肤毒性反应 - 手足疼痛是什么副作用,如何缓解?...
肺部手术会对身体造成哪些影响?
被癌症复发恐惧困扰?教你如何预防肺癌术后复发!...
肺癌术后在家做这些锻炼,恢复时间缩短、效果加倍!...
肺活量越大,肺功能越强?结节(肺段切除手术)对肺影响竟有这么大!...
术后半年复查,竟发现积液和感染!
术后护理 | 肺癌术后“痰吐不烦”小妙招
肠癌术后肿瘤标志物升高三倍多,原来是补品“惹的祸”!——专家提示...
二甲双胍对肺癌生存有哪些影响?死亡风险显著降低...
颇具争议的增强免疫力的胸腺肽辅助药物,肺癌患者应该怎么用?...
肝上有占位,饮食宜与忌
肺癌药物治疗期间的营养支持
术后忌口太多,“发物”不敢吃,白细胞减少,免疫力下降...
肺癌术后,应该怎么吃?——上海市胸科医院举办“胸科科普小讲堂”...
其他肺癌护理专题
上海美中嘉和肿瘤门诊部
上海
西南医院
重庆
中山大学附属第六医院
广州
山东省公共卫生临床中心
济南
南京鼓楼医院
南京
吉林大学白求恩第一医院
长春
重庆大学附属肿瘤医院
重庆
中山大学附属肿瘤医院
广州
云南省肿瘤医院
昆明
上海东方肝胆外科医院
上海
中山大学附属第五医院
珠海
哈尔滨医科大学附属肿瘤医院
哈尔滨
上海市质子重离子医院
上海
中国科学技术大学附属第一医院
合肥
第95名 综合排名
山东大学齐鲁医院
济南
第24名 综合排名
南京市胸科医院
南京
四川省肿瘤医院
成都
上海美中嘉和肿瘤门诊部
上海
中山大学附属第六医院
广州
新桥医院
重庆
山东省立医院
济南
第52名 综合排名
广东省中医院
广州
上海长征医院
上海
南京鼓楼医院
南京
中国科大附一院
安徽
山东省公共卫生临床中心
济南
哈尔滨医科大学附属第一医院
哈尔滨
第78名 综合排名
东部战区总医院
南京
第58名 综合排名
吉林大学白求恩第一医院
长春
上海市肺科医院
上海
第42名 综合排名
苏州大学附属第一医院
苏州
第54名 综合排名
中山大学附属肿瘤医院
广州
重庆大学附属肿瘤医院
重庆
中南大学湘雅医院
长沙
第15名 综合排名
上海市胸科医院
上海
第80名 综合排名
上海市东方医院
上海
北京大学第一医院
北京
第12名 综合排名
武汉大学人民医院
武汉
第40名 综合排名
中山大学附属第五医院
珠海
上海东方肝胆外科医院
上海
云南省肿瘤医院
昆明
北京胸科医院
北京
第100名 综合排名
哈尔滨医科大学附属肿瘤医院
哈尔滨
北京大学人民医院
北京
第21名 综合排名
上海市质子重离子医院
上海
中国科学技术大学附属第一医院
合肥
第95名 综合排名
深圳市第三人民医院
深圳
辽宁省肿瘤医院
沈阳
南京市胸科医院
南京
广东省人民医院
广州
第34名 综合排名
四川省肿瘤医院
成都
复旦大学附属妇产科医院
上海
第85名 综合排名
中日友好医院
北京
第43名 综合排名
上海美中嘉和肿瘤门诊部
上海
中山大学附属第六医院
广州
浙江大学医学院附属妇产科医院
杭州
第91名 综合排名
广东省中医院
广州
山东省立医院
济南
第52名 综合排名
上海长征医院
上海
南京鼓楼医院
南京
中国科大附一院
安徽
山东省公共卫生临床中心
济南
中山大学孙逸仙纪念医院
广州
第64名 综合排名
东部战区总医院
南京
第58名 综合排名
吉林大学白求恩第一医院
长春
上海市肺科医院
上海
第42名 综合排名
中山大学附属肿瘤医院
广州
北京京西肿瘤医院
北京
重庆大学附属肿瘤医院
重庆
中南大学湘雅医院
长沙
第15名 综合排名
上海市胸科医院
上海
第80名 综合排名
湖南省肿瘤医院
长沙
华中科技大学同济医院
武汉
中国医科大学附属盛京医院
沈阳
第33名 综合排名
北京大学第一医院
北京
第12名 综合排名
中山大学附属第五医院
珠海
哈尔滨医科大学附属肿瘤医院
哈尔滨
复旦大学附属华山医院
上海
第8名 综合排名
上海市东方医院
上海
上海东方肝胆外科医院
上海
北京大学人民医院
北京
第21名 综合排名
北京胸科医院
北京
第100名 综合排名
云南省肿瘤医院
昆明
上海市质子重离子医院
上海
中国科学技术大学附属第一医院
合肥
第95名 综合排名
山东大学齐鲁医院
济南
第24名 综合排名
吉林省肿瘤医院
长春
杭州市肿瘤医院
杭州
深圳市第三人民医院
深圳
辽宁省肿瘤医院
沈阳
南京市胸科医院
南京
广东省人民医院
广州
第34名 综合排名
复旦大学附属妇产科医院
上海
第85名 综合排名
中日友好医院
北京
第43名 综合排名
上海美中嘉和肿瘤门诊部
上海
中山大学附属第六医院
广州
西南医院
重庆
北部战区总医院
沈阳
浙江大学医学院附属妇产科医院
杭州
第91名 综合排名
广东省中医院
广州
山东省立医院
济南
第52名 综合排名
武汉大学中南医院
武汉
第55名 综合排名
哈尔滨医科大学附属第二医院
哈尔滨
第67名 综合排名
重庆医科大学附属第一医院
重庆
第48名 综合排名
南京鼓楼医院
南京
中国科大附一院
安徽
山东省公共卫生临床中心
济南
中山大学孙逸仙纪念医院
广州
第64名 综合排名
新桥医院
重庆
吉林大学白求恩第一医院
长春
301医院
北京
上海市肺科医院
上海
第42名 综合排名
苏州大学附属第一医院
苏州
第54名 综合排名
武汉大学人民医院
武汉
第40名 综合排名
重庆大学附属肿瘤医院
重庆
中山大学附属肿瘤医院
广州
上海市第十人民医院
上海
浙江省肿瘤医院
杭州
第8名 肿瘤科排名
中南大学湘雅医院
长沙
第15名 综合排名
上海交通大学医学院附属仁济医院
上海
第17名 综合排名
复旦大学附属中山医院
上海
第5名 综合排名
北京京西肿瘤医院
北京
江苏省肿瘤医院
南京
第9名 肿瘤科排名
上海市胸科医院
上海
第80名 综合排名
湖南省肿瘤医院
长沙
中山大学附属第一医院
广州
第9名 综合排名
北京医院
北京
第60名 综合排名
华中科技大学同济医院
武汉
浙江大学医学院附属第一医院
杭州
第10名 综合排名
湖北省肿瘤医院
武汉
中国医科大学附属盛京医院
沈阳
第33名 综合排名
浙大二院
杭州
北京大学第一医院
北京
第12名 综合排名
河南省肿瘤医院
郑州
上海长海医院
上海
中山大学附属第五医院
珠海
浙江大学医学院附属邵逸夫医院
杭州
第49名 综合排名
复旦大学附属华山医院
上海
第8名 综合排名
上海市东方医院
上海
上海东方肝胆外科医院
上海
云南省肿瘤医院
昆明
哈尔滨医科大学附属肿瘤医院
哈尔滨
北京大学人民医院
北京
第21名 综合排名
北京胸科医院
北京
第100名 综合排名
上海市质子重离子医院
上海
吉林省肿瘤医院
长春
杭州市肿瘤医院
杭州
南京市胸科医院
南京
中国科学技术大学附属第一医院
合肥
第95名 综合排名
西安交通大学第一附属医院
西安
第63名 综合排名
深圳市第三人民医院
深圳
山西省肿瘤医院
太原
中山大学附属第六医院
广州
广东省人民医院
广州
第34名 综合排名
复旦大学附属妇产科医院
上海
第85名 综合排名
中日友好医院
北京
第43名 综合排名
中山大学附属第三医院
广州
第45名 综合排名
上海美中嘉和肿瘤门诊部
上海
北部战区总医院
沈阳
浙江大学医学院附属妇产科医院
杭州
第91名 综合排名
广东省中医院
广州
山东省立医院
济南
第52名 综合排名
武汉大学中南医院
武汉
第55名 综合排名
上海长征医院
上海
重庆医科大学附属第一医院
重庆
第48名 综合排名
南京鼓楼医院
南京
中国科大附一院
安徽
山东省公共卫生临床中心
济南
福建医科大学附属第一医院
福州
第84名 综合排名
新桥医院
重庆
东部战区总医院
南京
第58名 综合排名
吉林大学白求恩第一医院
长春
301医院
北京
东南大学附属中大医院
南京
第46名 综合排名
上海市肺科医院
上海
第42名 综合排名
苏州大学附属第一医院
苏州
第54名 综合排名
重庆大学附属肿瘤医院
重庆
中山大学附属肿瘤医院
广州
上海市第十人民医院
上海
浙江省肿瘤医院
杭州
第8名 肿瘤科排名
中南大学湘雅医院
长沙
第15名 综合排名
北京医院
北京
第60名 综合排名
上海交通大学医学院附属仁济医院
上海
第17名 综合排名
复旦大学附属中山医院
上海
第5名 综合排名
北京京西肿瘤医院
北京
上海市胸科医院
上海
第80名 综合排名
湖南省肿瘤医院
长沙
上海新华医院
上海
华中科技大学同济医院
武汉
上海市东方医院
上海
浙大二院
杭州
浙江大学医学院附属第一医院
杭州
第10名 综合排名
湖北省肿瘤医院
武汉
北京大学第一医院
北京
第12名 综合排名
河南省肿瘤医院
郑州
武汉大学人民医院
武汉
第40名 综合排名
中国医科大学附属盛京医院
沈阳
第33名 综合排名
上海长海医院
上海
上海东方肝胆外科医院
上海
复旦大学附属华山医院
上海
第8名 综合排名
广州泰和肿瘤医院
广州
云南省肿瘤医院
昆明
北京胸科医院
北京
第100名 综合排名
中山大学附属第五医院
珠海
哈尔滨医科大学附属肿瘤医院
哈尔滨
北京大学人民医院
北京
第21名 综合排名
上海市质子重离子医院
上海
山东大学齐鲁医院
济南
第24名 综合排名
吉林省肿瘤医院
长春
南京市胸科医院
南京
中国科学技术大学附属第一医院
合肥
第95名 综合排名
深圳市第三人民医院
深圳
山西省肿瘤医院
太原
辽宁省肿瘤医院
沈阳
中山大学附属第六医院
广州
广东省人民医院
广州
第34名 综合排名
中日友好医院
北京
第43名 综合排名
中山大学附属第三医院
广州
第45名 综合排名
西南医院
重庆
上海美中嘉和肿瘤门诊部
上海
北部战区总医院
沈阳
浙江大学医学院附属妇产科医院
杭州
第91名 综合排名
山东省立医院
济南
第52名 综合排名
武汉大学中南医院
武汉
第55名 综合排名
广东省中医院
广州
上海长征医院
上海
南京鼓楼医院
南京
中国科大附一院
安徽
山东省公共卫生临床中心
济南
重庆医科大学附属第一医院
重庆
第48名 综合排名
福建医科大学附属协和医院
福州
第88名 综合排名
广州医科大学附属第一医院
广州
第31名 综合排名
中山大学孙逸仙纪念医院
广州
第64名 综合排名
福建医科大学附属第一医院
福州
第84名 综合排名
新桥医院
重庆
东部战区总医院
南京
第58名 综合排名
吉林大学白求恩第一医院
长春
301医院
北京
上海市肺科医院
上海
第42名 综合排名
苏州大学附属第一医院
苏州
第54名 综合排名
重庆大学附属肿瘤医院
重庆
中山大学附属肿瘤医院
广州
上海市第十人民医院
上海
中南大学湘雅医院
长沙
第15名 综合排名
北京医院
北京
第60名 综合排名
上海交通大学医学院附属仁济医院
上海
第17名 综合排名
复旦大学附属中山医院
上海
第5名 综合排名
北京京西肿瘤医院
北京
江苏省肿瘤医院
南京
第9名 肿瘤科排名
上海交通大学医学院附属瑞金医院
上海
第4名 综合排名
上海市胸科医院
上海
第80名 综合排名
湖南省肿瘤医院
长沙
上海新华医院
上海
中山大学附属第一医院
广州
第9名 综合排名
华中科技大学同济医院
武汉
浙江大学医学院附属第一医院
杭州
第10名 综合排名
浙大二院
杭州
北京大学第一医院
北京
第12名 综合排名
武汉大学人民医院
武汉
第40名 综合排名
河南省肿瘤医院
郑州
上海长海医院
上海
中山大学附属第五医院
珠海
浙江大学医学院附属邵逸夫医院
杭州
第49名 综合排名
复旦大学附属华山医院
上海
第8名 综合排名
广州泰和肿瘤医院
广州
上海市东方医院
上海
上海东方肝胆外科医院
上海
云南省肿瘤医院
昆明
哈尔滨医科大学附属肿瘤医院
哈尔滨
北京大学人民医院
北京
第21名 综合排名
北京胸科医院
北京
第100名 综合排名
上海市质子重离子医院
上海
山东大学齐鲁医院
济南
第24名 综合排名
吉林省肿瘤医院
长春
杭州市肿瘤医院
杭州
南京市胸科医院
南京
中国科学技术大学附属第一医院
合肥
第95名 综合排名
深圳市第三人民医院
深圳
山西省肿瘤医院
太原
中山大学附属第六医院
广州
广东省人民医院
广州
第34名 综合排名
四川省肿瘤医院
成都
复旦大学附属妇产科医院
上海
第85名 综合排名
中日友好医院
北京
第43名 综合排名
中山大学附属第三医院
广州
第45名 综合排名
上海美中嘉和肿瘤门诊部
上海
北部战区总医院
沈阳
浙江大学医学院附属妇产科医院
杭州
第91名 综合排名
山东省立医院
济南
第52名 综合排名
武汉大学中南医院
武汉
第55名 综合排名
四川省人民医院
成都
第38名 综合排名
上海长征医院
上海
南京鼓楼医院
南京
中国科大附一院
安徽
山东省公共卫生临床中心
济南
重庆医科大学附属第一医院
重庆
第48名 综合排名
中山大学孙逸仙纪念医院
广州
第64名 综合排名
哈尔滨医科大学附属第一医院
哈尔滨
第78名 综合排名
福建医科大学附属第一医院
福州
第84名 综合排名
新桥医院
重庆
吉林大学白求恩第一医院
长春
301医院
北京
东南大学附属中大医院
南京
第46名 综合排名
上海市肺科医院
上海
第42名 综合排名
重庆大学附属肿瘤医院
重庆
中山大学附属肿瘤医院
广州
上海市第十人民医院
上海
中南大学湘雅医院
长沙
第15名 综合排名
北京医院
北京
第60名 综合排名
上海交通大学医学院附属仁济医院
上海
第17名 综合排名
复旦大学附属中山医院
上海
第5名 综合排名
北京京西肿瘤医院
北京
上海交通大学医学院附属瑞金医院
上海
第4名 综合排名
上海市胸科医院
上海
第80名 综合排名
湖南省肿瘤医院
长沙
上海新华医院
上海
中山大学附属第一医院
广州
第9名 综合排名
华中科技大学同济医院
武汉
湖北省肿瘤医院
武汉
中国医科大学附属盛京医院
沈阳
第33名 综合排名
浙大二院
杭州
北京大学第一医院
北京
第12名 综合排名
武汉大学人民医院
武汉
第40名 综合排名
河南省肿瘤医院
郑州
中山大学附属第五医院
珠海
复旦大学附属华山医院
上海
第8名 综合排名
广州泰和肿瘤医院
广州
上海市东方医院
上海
上海东方肝胆外科医院
上海
云南省肿瘤医院
昆明
哈尔滨医科大学附属肿瘤医院
哈尔滨
北京大学人民医院
北京
第21名 综合排名
北京胸科医院
北京
第100名 综合排名
上海市质子重离子医院
上海
西安交通大学第一附属医院
西安
第63名 综合排名
吉林省肿瘤医院
长春
辽宁省肿瘤医院
沈阳
浙江大学医学院附属妇产科医院
杭州
第91名 综合排名
北部战区总医院
沈阳
山西省肿瘤医院
太原
杭州市肿瘤医院
杭州
南京市胸科医院
南京
中日友好医院
北京
第43名 综合排名
广东省人民医院
广州
第34名 综合排名
四川省肿瘤医院
成都
中山大学附属第三医院
广州
第45名 综合排名
上海美中嘉和肿瘤门诊部
上海
中山大学附属第六医院
广州
西南医院
重庆
新桥医院
重庆
广东省中医院
广州
山东省立医院
济南
第52名 综合排名
武汉大学中南医院
武汉
第55名 综合排名
上海长征医院
上海
厦门大学附属第一医院
厦门
南京鼓楼医院
南京
中国科大附一院
安徽
山东省公共卫生临床中心
济南
重庆医科大学附属第一医院
重庆
第48名 综合排名
四川省人民医院
成都
第38名 综合排名
吉林大学白求恩第一医院
长春
东部战区总医院
南京
第58名 综合排名
哈尔滨医科大学附属第一医院
哈尔滨
第78名 综合排名
上海市肺科医院
上海
第42名 综合排名
复旦大学附属妇产科医院
上海
第85名 综合排名
重庆大学附属肿瘤医院
重庆
中山大学附属肿瘤医院
广州
上海市第十人民医院
上海
中南大学湘雅医院
长沙
第15名 综合排名
华中科技大学同济医院
武汉
北京医院
北京
第60名 综合排名
上海交通大学医学院附属仁济医院
上海
第17名 综合排名
北京京西肿瘤医院
北京
上海市胸科医院
上海
第80名 综合排名
湖南省肿瘤医院
长沙
上海新华医院
上海
江苏省肿瘤医院
南京
第9名 肿瘤科排名
南方医科大学南方医院
广州
第18名 综合排名
上海市东方医院
上海
浙江大学医学院附属第一医院
杭州
第10名 综合排名
湖北省肿瘤医院
武汉
北京大学第一医院
北京
第12名 综合排名
河南省肿瘤医院
郑州
苏州大学附属第一医院
苏州
第54名 综合排名
武汉大学人民医院
武汉
第40名 综合排名
中国医科大学附属盛京医院
沈阳
第33名 综合排名
上海东方肝胆外科医院
上海
复旦大学附属华山医院
上海
第8名 综合排名
广州泰和肿瘤医院
广州
云南省肿瘤医院
昆明
北京胸科医院
北京
第100名 综合排名
中山大学附属第五医院
珠海
哈尔滨医科大学附属肿瘤医院
哈尔滨
北京大学人民医院
北京
第21名 综合排名
上海市质子重离子医院
上海
西安交通大学第一附属医院
西安
第63名 综合排名
中国科学技术大学附属第一医院
合肥
第95名 综合排名
山东大学齐鲁医院
济南
第24名 综合排名
吉林省肿瘤医院
长春
辽宁省肿瘤医院
沈阳
浙江大学医学院附属妇产科医院
杭州
第91名 综合排名
北部战区总医院
沈阳
深圳市第三人民医院
深圳
山西省肿瘤医院
太原
杭州市肿瘤医院
杭州
南京市胸科医院
南京
中日友好医院
北京
第43名 综合排名
福建省肿瘤医院
福州
广东省人民医院
广州
第34名 综合排名
四川省肿瘤医院
成都
中山大学附属第三医院
广州
第45名 综合排名
上海美中嘉和肿瘤门诊部
上海
中山大学附属第六医院
广州
西南医院
重庆
新桥医院
重庆
福建医科大学附属第一医院
福州
第84名 综合排名
广东省中医院
广州
山东省立医院
济南
第52名 综合排名
武汉大学中南医院
武汉
第55名 综合排名
中南大学湘雅二医院
长沙
第20名 综合排名
上海长征医院
上海
厦门大学附属第一医院
厦门
南京鼓楼医院
南京
中国科大附一院
安徽
山东省公共卫生临床中心
济南
重庆医科大学附属第一医院
重庆
第48名 综合排名
四川省人民医院
成都
第38名 综合排名
哈尔滨医科大学附属第二医院
哈尔滨
第67名 综合排名
吉林大学白求恩第一医院
长春
东部战区总医院
南京
第58名 综合排名
中山大学孙逸仙纪念医院
广州
第64名 综合排名
哈尔滨医科大学附属第一医院
哈尔滨
第78名 综合排名
上海市肺科医院
上海
第42名 综合排名
东南大学附属中大医院
南京
第46名 综合排名
福建医科大学附属协和医院
福州
第88名 综合排名
广州医科大学附属第一医院
广州
第31名 综合排名
301医院
北京
复旦大学附属妇产科医院
上海
第85名 综合排名
重庆大学附属肿瘤医院
重庆
中山大学附属肿瘤医院
广州
上海市第十人民医院
上海
中南大学湘雅医院
长沙
第15名 综合排名
复旦大学附属中山医院
上海
第5名 综合排名
华中科技大学同济医院
武汉
北京医院
北京
第60名 综合排名
上海交通大学医学院附属仁济医院
上海
第17名 综合排名
浙江省肿瘤医院
杭州
第8名 肿瘤科排名
北京京西肿瘤医院
北京
上海交通大学医学院附属瑞金医院
上海
第4名 综合排名
上海市胸科医院
上海
第80名 综合排名
湖南省肿瘤医院
长沙
上海新华医院
上海
江苏省肿瘤医院
南京
第9名 肿瘤科排名
中山大学附属第一医院
广州
第9名 综合排名
南方医科大学南方医院
广州
第18名 综合排名
上海市东方医院
上海
浙大二院
杭州
浙江大学医学院附属第一医院
杭州
第10名 综合排名
湖北省肿瘤医院
武汉
北京大学第一医院
北京
第12名 综合排名
河南省肿瘤医院
郑州
武汉大学人民医院
武汉
第40名 综合排名
中国医科大学附属盛京医院
沈阳
第33名 综合排名
上海长海医院
上海
上海东方肝胆外科医院
上海
浙江大学医学院附属邵逸夫医院
杭州
第49名 综合排名
复旦大学附属华山医院
上海
第8名 综合排名
广州泰和肿瘤医院
广州
云南省肿瘤医院
昆明
北京胸科医院
北京
第100名 综合排名
中山大学附属第五医院
珠海
哈尔滨医科大学附属肿瘤医院
哈尔滨
北京大学人民医院
北京
第21名 综合排名
上海市质子重离子医院
上海
中国科学技术大学附属第一医院
合肥
第95名 综合排名
吉林省肿瘤医院
长春
浙江大学医学院附属妇产科医院
杭州
第91名 综合排名
北部战区总医院
沈阳
深圳市第三人民医院
深圳
山西省肿瘤医院
太原
杭州市肿瘤医院
杭州
南京市胸科医院
南京
中日友好医院
北京
第43名 综合排名
广东省人民医院
广州
第34名 综合排名
四川省肿瘤医院
成都
中山大学附属第三医院
广州
第45名 综合排名
上海美中嘉和肿瘤门诊部
上海
中山大学附属第六医院
广州
西南医院
重庆
新桥医院
重庆
广东省中医院
广州
山东省立医院
济南
第52名 综合排名
武汉大学中南医院
武汉
第55名 综合排名
中南大学湘雅二医院
长沙
第20名 综合排名
上海长征医院
上海
厦门大学附属第一医院
厦门
南京鼓楼医院
南京
中国科大附一院
安徽
山东省公共卫生临床中心
济南
重庆医科大学附属第一医院
重庆
第48名 综合排名
四川省人民医院
成都
第38名 综合排名
吉林大学白求恩第一医院
长春
东部战区总医院
南京
第58名 综合排名
中山大学孙逸仙纪念医院
广州
第64名 综合排名
哈尔滨医科大学附属第一医院
哈尔滨
第78名 综合排名
上海市肺科医院
上海
第42名 综合排名
301医院
北京
复旦大学附属妇产科医院
上海
第85名 综合排名
重庆大学附属肿瘤医院
重庆
中山大学附属肿瘤医院
广州
上海市第十人民医院
上海
中南大学湘雅医院
长沙
第15名 综合排名
复旦大学附属中山医院
上海
第5名 综合排名
华中科技大学同济医院
武汉
北京医院
北京
第60名 综合排名
上海交通大学医学院附属仁济医院
上海
第17名 综合排名
北京京西肿瘤医院
北京
上海交通大学医学院附属瑞金医院
上海
第4名 综合排名
湖南省肿瘤医院
长沙
上海新华医院
上海
江苏省肿瘤医院
南京
第9名 肿瘤科排名
中山大学附属第一医院
广州
第9名 综合排名
南方医科大学南方医院
广州
第18名 综合排名
上海市东方医院
上海
浙大二院
杭州
浙江大学医学院附属第一医院
杭州
第10名 综合排名
湖北省肿瘤医院
武汉
北京大学第一医院
北京
第12名 综合排名
河南省肿瘤医院
郑州
苏州大学附属第一医院
苏州
第54名 综合排名
武汉大学人民医院
武汉
第40名 综合排名
中国医科大学附属盛京医院
沈阳
第33名 综合排名
上海东方肝胆外科医院
上海
复旦大学附属华山医院
上海
第8名 综合排名
广州泰和肿瘤医院
广州
云南省肿瘤医院
昆明
北京胸科医院
北京
第100名 综合排名
中山大学附属第五医院
珠海
哈尔滨医科大学附属肿瘤医院
哈尔滨
北京大学人民医院
北京
第21名 综合排名
上海市质子重离子医院
上海
西安交通大学第一附属医院
西安
第63名 综合排名
中国科学技术大学附属第一医院
合肥
第95名 综合排名
吉林省肿瘤医院
长春
辽宁省肿瘤医院
沈阳
浙江大学医学院附属妇产科医院
杭州
第91名 综合排名
深圳市第三人民医院
深圳
山西省肿瘤医院
太原
杭州市肿瘤医院
杭州
南京市胸科医院
南京
中日友好医院
北京
第43名 综合排名
福建省肿瘤医院
福州
广东省人民医院
广州
第34名 综合排名
四川省肿瘤医院
成都
中山大学附属第三医院
广州
第45名 综合排名
上海美中嘉和肿瘤门诊部
上海
中山大学附属第六医院
广州
福建医科大学附属第一医院
福州
第84名 综合排名
广东省中医院
广州
山东省立医院
济南
第52名 综合排名
武汉大学中南医院
武汉
第55名 综合排名
上海长征医院
上海
厦门大学附属第一医院
厦门
南京鼓楼医院
南京
中国科大附一院
安徽
山东省公共卫生临床中心
济南
重庆医科大学附属第一医院
重庆
第48名 综合排名
中南大学湘雅二医院
长沙
第20名 综合排名
四川省人民医院
成都
第38名 综合排名
吉林大学白求恩第一医院
长春
东部战区总医院
南京
第58名 综合排名
中山大学孙逸仙纪念医院
广州
第64名 综合排名
哈尔滨医科大学附属第一医院
哈尔滨
第78名 综合排名
上海市肺科医院
上海
第42名 综合排名
东南大学附属中大医院
南京
第46名 综合排名
哈尔滨医科大学附属第二医院
哈尔滨
第67名 综合排名
复旦大学附属妇产科医院
上海
第85名 综合排名
重庆大学附属肿瘤医院
重庆
中山大学附属肿瘤医院
广州
上海市第十人民医院
上海
中南大学湘雅医院
长沙
第15名 综合排名
复旦大学附属中山医院
上海
第5名 综合排名
华中科技大学同济医院
武汉
北京医院
北京
第60名 综合排名
上海交通大学医学院附属仁济医院
上海
第17名 综合排名
浙江省肿瘤医院
杭州
第8名 肿瘤科排名
北京京西肿瘤医院
北京
上海交通大学医学院附属瑞金医院
上海
第4名 综合排名
上海市胸科医院
上海
第80名 综合排名
上海新华医院
上海
江苏省肿瘤医院
南京
第9名 肿瘤科排名
中山大学附属第一医院
广州
第9名 综合排名
上海市东方医院
上海
浙大二院
杭州
浙江大学医学院附属第一医院
杭州
第10名 综合排名
湖北省肿瘤医院
武汉
北京大学第一医院
北京
第12名 综合排名
河南省肿瘤医院
郑州
武汉大学人民医院
武汉
第40名 综合排名
中国医科大学附属盛京医院
沈阳
第33名 综合排名
上海长海医院
上海
上海东方肝胆外科医院
上海
浙江大学医学院附属邵逸夫医院
杭州
第49名 综合排名
复旦大学附属华山医院
上海
第8名 综合排名
广州泰和肿瘤医院
广州
云南省肿瘤医院
昆明
北京胸科医院
北京
第100名 综合排名
中山大学附属第五医院
珠海
哈尔滨医科大学附属肿瘤医院
哈尔滨
北京大学人民医院
北京
第21名 综合排名
上海市质子重离子医院
上海
西安交通大学第一附属医院
西安
第63名 综合排名
中国科学技术大学附属第一医院
合肥
第95名 综合排名
山东大学齐鲁医院
济南
第24名 综合排名
吉林省肿瘤医院
长春
辽宁省肿瘤医院
沈阳
浙江大学医学院附属妇产科医院
杭州
第91名 综合排名
北部战区总医院
沈阳
深圳市第三人民医院
深圳
山西省肿瘤医院
太原
杭州市肿瘤医院
杭州
南京市胸科医院
南京
中日友好医院
北京
第43名 综合排名
福建省肿瘤医院
福州
广东省人民医院
广州
第34名 综合排名
四川省肿瘤医院
成都
中山大学附属第三医院
广州
第45名 综合排名
上海美中嘉和肿瘤门诊部
上海
中山大学附属第六医院
广州
西南医院
重庆
新桥医院
重庆
福建医科大学附属第一医院
福州
第84名 综合排名
兰州大学第二医院
兰州
广东省中医院
广州
山东省立医院
济南
第52名 综合排名
武汉大学中南医院
武汉
第55名 综合排名
上海长征医院
上海
厦门大学附属第一医院
厦门
南京鼓楼医院
南京
中国科大附一院
安徽
山东省公共卫生临床中心
济南
重庆医科大学附属第一医院
重庆
第48名 综合排名
中南大学湘雅二医院
长沙
第20名 综合排名
四川省人民医院
成都
第38名 综合排名
吉林大学白求恩第一医院
长春
东部战区总医院
南京
第58名 综合排名
中山大学孙逸仙纪念医院
广州
第64名 综合排名
哈尔滨医科大学附属第一医院
哈尔滨
第78名 综合排名
上海市肺科医院
上海
第42名 综合排名
东南大学附属中大医院
南京
第46名 综合排名
哈尔滨医科大学附属第二医院
哈尔滨
第67名 综合排名
福建医科大学附属协和医院
福州
第88名 综合排名
广州医科大学附属第一医院
广州
第31名 综合排名
301医院
北京
复旦大学附属妇产科医院
上海
第85名 综合排名
重庆大学附属肿瘤医院
重庆
中山大学附属肿瘤医院
广州
上海市第十人民医院
上海
中南大学湘雅医院
长沙
第15名 综合排名
复旦大学附属中山医院
上海
第5名 综合排名
华中科技大学同济医院
武汉
北京医院
北京
第60名 综合排名
上海交通大学医学院附属仁济医院
上海
第17名 综合排名
浙江省肿瘤医院
杭州
第8名 肿瘤科排名
北京京西肿瘤医院
北京
上海市胸科医院
上海
第80名 综合排名
湖南省肿瘤医院
长沙
上海新华医院
上海
江苏省肿瘤医院
南京
第9名 肿瘤科排名
中山大学附属第一医院
广州
第9名 综合排名
南方医科大学南方医院
广州
第18名 综合排名
上海市东方医院
上海
浙大二院
杭州
浙江大学医学院附属第一医院
杭州
第10名 综合排名
湖北省肿瘤医院
武汉
北京大学第一医院
北京
第12名 综合排名
河南省肿瘤医院
郑州
苏州大学附属第一医院
苏州
第54名 综合排名
武汉大学人民医院
武汉
第40名 综合排名
中国医科大学附属盛京医院
沈阳
第33名 综合排名
上海长海医院
上海
上海东方肝胆外科医院
上海
浙江大学医学院附属邵逸夫医院
杭州
第49名 综合排名
复旦大学附属华山医院
上海
第8名 综合排名
广州泰和肿瘤医院
广州
云南省肿瘤医院
昆明
北京胸科医院
北京
第100名 综合排名
中山大学附属第五医院
珠海
哈尔滨医科大学附属肿瘤医院
哈尔滨
北京大学人民医院
北京
第21名 综合排名
上海市质子重离子医院
上海
西安交通大学第一附属医院
西安
第63名 综合排名
中国科学技术大学附属第一医院
合肥
第95名 综合排名
山东大学齐鲁医院
济南
第24名 综合排名
辽宁省肿瘤医院
沈阳
山西省肿瘤医院
太原
新桥医院
重庆
浙江大学医学院附属妇产科医院
杭州
第91名 综合排名
北部战区总医院
沈阳
深圳市第三人民医院
深圳
吉林省肿瘤医院
长春
杭州市肿瘤医院
杭州
中山大学附属第三医院
广州
第45名 综合排名
中日友好医院
北京
第43名 综合排名
福建省肿瘤医院
福州
广东省人民医院
广州
第34名 综合排名
上海美中嘉和肿瘤门诊部
上海
西南医院
重庆
南京市胸科医院
南京
中山大学附属第六医院
广州
福建医科大学附属第一医院
福州
第84名 综合排名
哈尔滨医科大学附属第一医院
哈尔滨
第78名 综合排名
兰州大学第二医院
兰州
广东省中医院
广州
山东省立医院
济南
第52名 综合排名
上海长征医院
上海
厦门大学附属第一医院
厦门
南京鼓楼医院
南京
中国科大附一院
安徽
山东省公共卫生临床中心
济南
重庆医科大学附属第一医院
重庆
第48名 综合排名
武汉大学中南医院
武汉
第55名 综合排名
中南大学湘雅二医院
长沙
第20名 综合排名
上海市肺科医院
上海
第42名 综合排名
吉林大学白求恩第一医院
长春
东部战区总医院
南京
第58名 综合排名
中山大学孙逸仙纪念医院
广州
第64名 综合排名
东南大学附属中大医院
南京
第46名 综合排名
301医院
北京
四川省人民医院
成都
第38名 综合排名
哈尔滨医科大学附属第二医院
哈尔滨
第67名 综合排名
广州医科大学附属第一医院
广州
第31名 综合排名
四川省肿瘤医院
成都
复旦大学附属妇产科医院
上海
第85名 综合排名
重庆大学附属肿瘤医院
重庆
中山大学附属肿瘤医院
广州
上海市第十人民医院
上海
中南大学湘雅医院
长沙
第15名 综合排名
复旦大学附属中山医院
上海
第5名 综合排名
华中科技大学同济医院
武汉
北京医院
北京
第60名 综合排名
上海交通大学医学院附属仁济医院
上海
第17名 综合排名
浙江省肿瘤医院
杭州
第8名 肿瘤科排名
北京京西肿瘤医院
北京
上海交通大学医学院附属瑞金医院
上海
第4名 综合排名
上海市胸科医院
上海
第80名 综合排名
湖南省肿瘤医院
长沙
上海新华医院
上海
江苏省肿瘤医院
南京
第9名 肿瘤科排名
中山大学附属第一医院
广州
第9名 综合排名
南方医科大学南方医院
广州
第18名 综合排名
上海市东方医院
上海
北京大学第一医院
北京
第12名 综合排名
浙大二院
杭州
浙江大学医学院附属第一医院
杭州
第10名 综合排名
河南省肿瘤医院
郑州
武汉大学人民医院
武汉
第40名 综合排名
湖北省肿瘤医院
武汉
上海东方肝胆外科医院
上海
浙江大学医学院附属邵逸夫医院
杭州
第49名 综合排名
复旦大学附属华山医院
上海
第8名 综合排名
广州泰和肿瘤医院
广州
云南省肿瘤医院
昆明
北京胸科医院
北京
第100名 综合排名
上海长海医院
上海
中山大学附属第五医院
珠海
哈尔滨医科大学附属肿瘤医院
哈尔滨
北京大学人民医院
北京
第21名 综合排名
上海市质子重离子医院
上海
中国科学技术大学附属第一医院
合肥
第95名 综合排名
山东大学齐鲁医院
济南
第24名 综合排名
吉林省肿瘤医院
长春
山西省肿瘤医院
太原
新桥医院
重庆
浙江大学医学院附属妇产科医院
杭州
第91名 综合排名
北部战区总医院
沈阳
深圳市第三人民医院
深圳
杭州市肿瘤医院
杭州
南京市胸科医院
南京
中日友好医院
北京
第43名 综合排名
福建省肿瘤医院
福州
广东省人民医院
广州
第34名 综合排名
四川省肿瘤医院
成都
中山大学附属第三医院
广州
第45名 综合排名
上海美中嘉和肿瘤门诊部
上海
中山大学附属第六医院
广州
哈尔滨医科大学附属第一医院
哈尔滨
第78名 综合排名
四川大学华西第二医院
成都
第70名 综合排名
广东省中医院
广州
上海长征医院
上海
厦门大学附属第一医院
厦门
南京鼓楼医院
南京
中国科大附一院
安徽
山东省公共卫生临床中心
济南
武汉大学中南医院
武汉
第55名 综合排名
中南大学湘雅二医院
长沙
第20名 综合排名
上海市肺科医院
上海
第42名 综合排名
吉林大学白求恩第一医院
长春
哈尔滨医科大学附属第二医院
哈尔滨
第67名 综合排名
广州医科大学附属第一医院
广州
第31名 综合排名
复旦大学附属妇产科医院
上海
第85名 综合排名
重庆大学附属肿瘤医院
重庆
中山大学附属肿瘤医院
广州
上海市第十人民医院
上海
中南大学湘雅医院
长沙
第15名 综合排名
复旦大学附属中山医院
上海
第5名 综合排名
华中科技大学同济医院
武汉
北京医院
北京
第60名 综合排名
上海交通大学医学院附属仁济医院
上海
第17名 综合排名
浙江省肿瘤医院
杭州
第8名 肿瘤科排名
北京京西肿瘤医院
北京
上海交通大学医学院附属瑞金医院
上海
第4名 综合排名
上海市胸科医院
上海
第80名 综合排名
湖南省肿瘤医院
长沙
江苏省肿瘤医院
南京
第9名 肿瘤科排名
中山大学附属第一医院
广州
第9名 综合排名
南方医科大学南方医院
广州
第18名 综合排名
上海市东方医院
上海
湖北省肿瘤医院
武汉
北京大学第一医院
北京
第12名 综合排名
河南省肿瘤医院
郑州
苏州大学附属第一医院
苏州
第54名 综合排名
武汉大学人民医院
武汉
第40名 综合排名
中国医科大学附属盛京医院
沈阳
第33名 综合排名
中国医科大学附属第一医院
沈阳
第16名 综合排名
上海东方肝胆外科医院
上海
复旦大学附属华山医院
上海
第8名 综合排名
广州泰和肿瘤医院
广州
云南省肿瘤医院
昆明
北京胸科医院
北京
第100名 综合排名
上海长海医院
上海
中山大学附属第五医院
珠海
哈尔滨医科大学附属肿瘤医院
哈尔滨
北京大学人民医院
北京
第21名 综合排名
上海市质子重离子医院
上海
西安交通大学第一附属医院
西安
第63名 综合排名
中国科学技术大学附属第一医院
合肥
第95名 综合排名
山东大学齐鲁医院
济南
第24名 综合排名
吉林省肿瘤医院
长春
辽宁省肿瘤医院
沈阳
山西省肿瘤医院
太原
新桥医院
重庆
浙江大学医学院附属妇产科医院
杭州
第91名 综合排名
北部战区总医院
沈阳
深圳市第三人民医院
深圳
杭州市肿瘤医院
杭州
南京市胸科医院
南京
中日友好医院
北京
第43名 综合排名
福建省肿瘤医院
福州
广东省人民医院
广州
第34名 综合排名
四川省肿瘤医院
成都
中山大学附属第三医院
广州
第45名 综合排名
上海美中嘉和肿瘤门诊部
上海
中山大学附属第六医院
广州
西南医院
重庆
福建医科大学附属第一医院
福州
第84名 综合排名
哈尔滨医科大学附属第一医院
哈尔滨
第78名 综合排名
兰州大学第二医院
兰州
四川大学华西第二医院
成都
第70名 综合排名
广东省中医院
广州
山东省立医院
济南
第52名 综合排名
上海长征医院
上海
厦门大学附属第一医院
厦门
南京鼓楼医院
南京
中国科大附一院
安徽
山东省公共卫生临床中心
济南
重庆医科大学附属第一医院
重庆
第48名 综合排名
武汉大学中南医院
武汉
第55名 综合排名
中南大学湘雅二医院
长沙
第20名 综合排名
上海市肺科医院
上海
第42名 综合排名
吉林大学白求恩第一医院
长春
东部战区总医院
南京
第58名 综合排名
中山大学孙逸仙纪念医院
广州
第64名 综合排名
东南大学附属中大医院
南京
第46名 综合排名
301医院
北京
四川省人民医院
成都
第38名 综合排名
哈尔滨医科大学附属第二医院
哈尔滨
第67名 综合排名
福建医科大学附属协和医院
福州
第88名 综合排名
广州医科大学附属第一医院
广州
第31名 综合排名
复旦大学附属妇产科医院
上海
第85名 综合排名
重庆大学附属肿瘤医院
重庆
中山大学附属肿瘤医院
广州
上海市第十人民医院
上海
中南大学湘雅医院
长沙
第15名 综合排名
复旦大学附属中山医院
上海
第5名 综合排名
华中科技大学同济医院
武汉
北京医院
北京
第60名 综合排名
上海交通大学医学院附属仁济医院
上海
第17名 综合排名
浙江省肿瘤医院
杭州
第8名 肿瘤科排名
北京京西肿瘤医院
北京
上海交通大学医学院附属瑞金医院
上海
第4名 综合排名
上海市胸科医院
上海
第80名 综合排名
湖南省肿瘤医院
长沙
上海新华医院
上海
江苏省肿瘤医院
南京
第9名 肿瘤科排名
中山大学附属第一医院
广州
第9名 综合排名
南方医科大学南方医院
广州
第18名 综合排名
上海市东方医院
上海
浙大二院
杭州
浙江大学医学院附属第一医院
杭州
第10名 综合排名
湖北省肿瘤医院
武汉
北京大学第一医院
北京
第12名 综合排名
河南省肿瘤医院
郑州
苏州大学附属第一医院
苏州
第54名 综合排名
武汉大学人民医院
武汉
第40名 综合排名
中国医科大学附属盛京医院
沈阳
第33名 综合排名
中国医科大学附属第一医院
沈阳
第16名 综合排名
上海东方肝胆外科医院
上海
浙江大学医学院附属邵逸夫医院
杭州
第49名 综合排名
复旦大学附属华山医院
上海
第8名 综合排名
广州泰和肿瘤医院
广州
云南省肿瘤医院
昆明
北京胸科医院
北京
第100名 综合排名
上海长海医院
上海
中山大学附属第五医院
珠海
哈尔滨医科大学附属肿瘤医院
哈尔滨
北京大学人民医院
北京
第21名 综合排名
上海市质子重离子医院
上海
80岁确诊晚期肺癌,治疗半年肿瘤消失!
伯瑞替尼一线适应症正式获批,开创肺癌MET靶向治疗新篇章...
斯鲁利单抗优例共赏丨一例合并多发肝转移小细胞肺癌患者免疫治疗...
默克公司帕博利珠单抗手术前新辅助、术后辅助治疗非小细胞肺癌获...
贝达药业甲磺酸贝福替尼胶囊非小细胞肺癌一线适应症获批上市...
2023CSCO指南会∣周彩存教授:中国原创ALK-TKI伊鲁阿克写入CSCO指...
肺癌KEYNOTE-671研究,K药“夹心饼干”式治疗显著改善EFS和OS...
歪打正着?卵巢癌靶药尼拉帕利治疗肺癌,肿瘤病灶大幅度缩小!...
全球首例!奥希替尼治疗肺鳞状细胞癌达到病理完全缓解!...
聚焦最新研究数据,解析MET靶向药物特泊替尼的疗效与安全性...
特泊替尼在MET 14外显子跳跃突变非小细胞肺癌中的疗效和安全性:VI...
JCO (IF=50) | 天津医科大学王长利/张斌/张真发发布最新非小细胞...
搜索结果
肺癌药物分类
非小细胞肺癌的分期
肺癌是如何分期的,治愈率怎么样的?
小细胞肺癌与非小细胞肺癌介绍,生存期怎么样?...
非小细胞肺癌竟能变成小细胞肺癌!这类患者尤需注意...
肺癌扩散转移速度到底有多块?小细胞肺癌扩散最快,腺癌次之...
全面深入认识小细胞肺癌
小细胞肺癌好发于“老烟枪”,易转移、复发,怎么办→...
肺癌患者及家属应知晓的一些问题
肺癌的治疗费用
其他热门专题
破解吸烟促进肺癌细胞脑转移之谜!科学家发现尼古丁能改变小胶质细...
谁对肺癌脑转移效果更胜一筹?全脑放疗还是立体定向放射治疗?...
最新肺癌脑转移中国治疗指南
肺癌骨转移:护骨和治疗都重要!
肺癌骨转移,可以用锶-89治疗镇痛吗?
肺癌骨转移疼痛难忍?这些止痛方法帮你止痛!...
肺癌脑转移中国治疗指南(2021年版)
肺癌脑转移治疗指南,一图读懂!
最全“肺癌脑转移”全面解读,延长生存期的要点...
关于肺癌转移的九大误区,不论医生还是患者都可能有过...
肺癌骨转移,该怎么治疗?
其他热门专题
肺癌的病因
哈佛科学家分析11万人数据发现,50岁之后保持健康生活习惯,或可无癌...
为什么女性不吸烟也会得肺癌?竟然与厨房有关!...
英研究:住在繁忙道路旁患肺癌风险增加10%
预防!空气污染是肺癌第二大诱因,在中国这类人发病率竟然最高...
从不吸烟的她,竟然得了肺癌?医生一问,原来是做饭少这一步!...
电子烟会引起肺癌吗?
电子烟患肺癌的风险更小?
华西专家说,每抽一口电子烟,你可能离癌症、呼吸系统疾病更近一点点...
肺癌的成因不止一种,为什么我们这么强调应该戒烟?...
8岁女儿肺癌晚期,竟是父亲所致!
中国成为肺癌第一大国,为何美国肺癌死亡率大幅下降 ?...
其他热门专题
肺癌患者为什么会咳嗽出那么多痰液?
肺癌咳嗽止不住?不要慌,你可以这么做
肺癌相关性咳嗽专家共识
心梗!潜伏在癌症患者体内的另一杀手
一文说全:肺癌患者如何控制胸水!
警惕!肺癌合并大咯血,致死率超过50%!
肺癌患者咯血咋处理?这有一份锦囊请收好!
肺癌相关性咳嗽的治疗药物
其他热门专题










