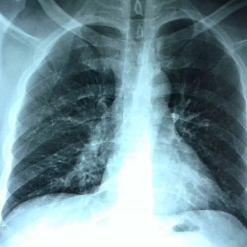
肺癌是发病率和死亡率增长最快 对人群健康和生命威胁最大的恶性肿瘤之一 换言之 发现得越早 治疗效果越好 我们与新华日报交汇点直播平台 江苏省科学传播中心合作 并邀请到了江苏省人民医院(南京医科大学第一附属医院)胸外科主任医师朱全 和我们聊一聊从肺结节到肺癌,如何实现精准诊疗? 专家简介 朱全,主任医师,江苏省人民医院胸外科副主任。中华医学会胸心血管外科学分会胸腔镜学组委员,中华医学会江苏省胸外科分会委员。 01 肺结节的性质 肺结节:< 3厘米 主要是指肺实质内单发或多发直径不超过 3 厘米 的圆形或类圆形结节影。不伴肺不张、肺钙化、肺门淋巴结肿大或胸膜渗出。 结节: <8毫米时称作亚厘米结节 <4毫米称作微结节 肿块: ≥ 3厘米 02 肺结节的分类 (1)实性结节 (2)半实性结节 (纯磨玻璃结节、混合磨玻璃结节) 实性结节 混合磨玻璃结节 结节分类 磨玻璃样结节 03 肺结节≠肺癌 •实性结节恶性率仅7% •部分实性结节恶性率为63% •纯磨玻璃结节恶性率为18% •>20 毫米的结节恶性率有80% 肺磨玻璃肺结节的演变 01胸部X光平片 对肺癌的漏诊率30% 不能发现肺小结节 02 薄层CT 5mm层厚已成为历史---导致误诊! 薄层CT比常规CT提供了7-10倍信息 (普通CT 60张对比 薄层CT 360-600张) 03 正确使用PET/CT • 能够评估结节的代谢活性。 • 对大于1厘米的实性结节有意义 • 对纯磨玻璃和混合性磨玻璃结节无效 • 不易区分炎症和结核 强调!!! 磨玻璃结节要经过随访 2-3个月的随访很重要 炎症的比例10% 随着时间会消失 肺结节CT影像AI辅助检测 外科手术的微创化 切口的微创化 全胸腔镜→3孔→2孔→单孔 肺切除范围的变化 非解剖性肺切除:楔形 解剖性肺切除:全肺切除、肺叶切除、肺段切除术、肺亚段切除术、肺次亚段切除术 肺段切除 早期肺癌的微创治疗外科手术的精准化 早期肺癌外科治疗中的规则: 保证肿瘤学效果是首要任务保留更多有功能的肺组织 三维CT支气管血管成像(3D-CTBA)肺结节与早期肺癌




肺结节的精准诊断





早期肺癌的精准治疗




如何做个“聪明人”?
肺结节治疗的乱象
治疗过度
--不需要手术的手术
--该做亚肺叶切除的做肺叶切除
治疗不足
--该治疗的不治疗
--该手术的不手术
应该做些什么呢?
01一定要做薄层CT!!!
薄层CT :
在好的CT 机上检查,辐射剂量更小
02建立自己的数字化档案
• 要长期保存
• 电子档、DICOM专业格式、薄层CT数据
• 用U盘拷贝给医生阅读
• 用好医院的云阅片

DICOM专业格式

JPEG普通格式
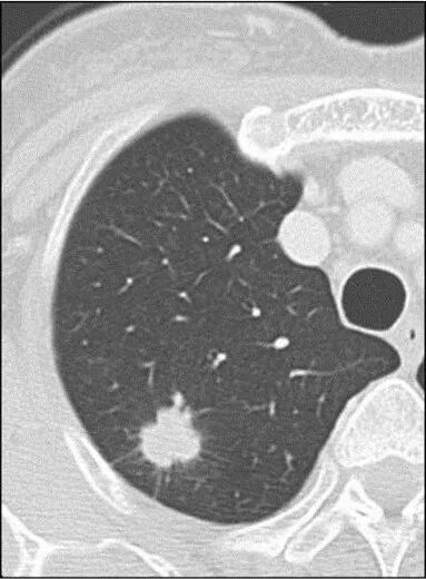
03磨玻璃结节要经过随访!

右下肺磨玻璃结节

2月后复查变淡消散
04注重日常预防
① 禁烟,减少二手烟
② 减少厨房油烟:多煮少煎炸、控制油温、油烟机
③ 减少空气污染,避开化工企业、交通干道
④ 保持开朗心态
05低剂量CT筛查
推荐人群
45-70岁
吸烟≥10包年
戒烟<15年
有长期厨房油烟接触史
恶性肿瘤家族史































































































