肺癌首页

初识肺癌

诊断筛查

肺癌特药

肺癌治疗

寻医问诊

肺癌护理

肺癌并发症

肺癌复发转移

预防肺癌

首页 > 癌症分类 > 肺癌 > 诊断筛查

哪种肺结节,最危险?根据大小密度形态来观察

来源: 肺结节全书 2023-11-14

肺结节哪种最危险?

肺部结节确实可能是肺癌前兆。但根据结节大小、密度、形态的不同,癌变的风险也有大有小。

图片3gg帝国网站管理系统

 3gg帝国网站管理系统

按照密度形态,肺结节大概可分为三类:3gg帝国网站管理系统

纯磨玻璃结节、混杂性结节、纯实性结节。3gg帝国网站管理系统

 3gg帝国网站管理系统

通常来说,混杂性结节恶化概率最大;3gg帝国网站管理系统

纯磨玻璃结节多呈良性或低度恶性;3gg帝国网站管理系统

而纯实性结节良恶参半,需要后续检测后才能下判断3gg帝国网站管理系统

 3gg帝国网站管理系统

纯磨玻璃结节

图片

 3gg帝国网站管理系统

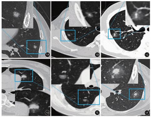
单纯磨玻璃结节表现为肺内密度轻微增加,增加程度小于实性改变,呈模糊的云雾状,并可见其内血管和支气管纹理。结节内无实性成分。
 
  • 为类圆形或不规则形态;3gg帝国网站管理系统

  • 边缘形态表现为分叶征;3gg帝国网站管理系统

  • 瘤肺界面清楚,大多平整光滑,少部分毛糙;3gg帝国网站管理系统

  • 内部多伴有气腔隙或充气支气管征;3gg帝国网站管理系统

  • 部分病灶周围血管改变或胸膜凹陷。3gg帝国网站管理系统

 

 3gg帝国网站管理系统

病灶周围血管改变胸膜凹陷以及有无分叶征表现,是辅助判断结节是否发生浸润的主要征象。随着结节逐渐恶变,分叶征明显增多,结节周围血管因肿瘤侵袭而杂乱无章,并发生胸膜凹陷症状
 
未浸润结节可留待观察,避免手术对健康肺组织造成伤害。已浸润结节极易恶变为肺腺癌,需尽早手术切除。

 3gg帝国网站管理系统

图片3gg帝国网站管理系统

 3gg帝国网站管理系统

混合性磨玻璃结节

 3gg帝国网站管理系统

混合性磨玻璃结节与纯磨玻璃结节的区别特征,在于实性成分伴磨玻璃密度的晕环。
 
值得注意的是,混合性结节为恶性的可能性为63%,远大于实性肺结节。
 
结节中的实性成分越多恶性的可能性就越大。因此,对混合性结节千万不可掉以轻心。

 3gg帝国网站管理系统

实性肺结节3gg帝国网站管理系统

图片

 3gg帝国网站管理系统

实性结节是肺内圆形或类圆形密度增高,病变密度足以掩盖其中走行的血管和支气管。
 
实性结节多见于肺癌,但是也可见于良性疾病,如肺错构瘤炎性假瘤等。有钙化及脂肪密度提示良性概率较大。
 
除了通过结节直径预测良恶性之外,我们还可通过毛刺征与血管集束征来预测结节的良恶。在结节大于1cm时,建议穿刺活检明确诊断,以绝后患。
 
 
针对直径不大的肺结节,目前常用的处理方法还是观察随访。如果结节短期内有明显增大,需要明确诊断后再进行手术切除。这样就能达到一种既不会耽误病情,同时也不会过度治疗的目的,实现对肺结节的有效应对。

 3gg帝国网站管理系统

 3gg帝国网站管理系统

参考材料:3gg帝国网站管理系统

[1] 陈俊. 怎样读懂肺结节的CT报告[N]. 大众健康报,2020-11-26(022).3gg帝国网站管理系统

[2] 马伟玲,谭明瑜,赵伟,高丰,孙英丽,陈武飞,肖立,李铭,张国桢.不同类型的晕征在肺混合磨玻璃结节CT诊断中的价值[J].3gg帝国网站管理系统

[3] 叶秋丰.低剂量多层螺旋CT在肺磨玻璃结节诊断中的应用价值探讨[J].现代医用影像学,2020,29(08):1468-1470.临床放射学杂志,2020,39(06):1099-1103.3gg帝国网站管理系统

[4] 吴佳鑫. SPN患者临床及影像特征与肺癌相关性分析[D].河南大学,2020.3gg帝国网站管理系统

[5] 王通,修语池,王彬,王仕祺,赵乐飞,王述民,许世广.肺磨玻璃样结节危险因素分析[J].临床军医杂志,2020,48(07):846-847.3gg帝国网站管理系统

[6] 张海宽,贾宁,冷艾泠.高分辨CT、胸部平片及病理学诊断肺磨玻璃结节临床分析[J].中华肺部疾病杂志(电子版),2020,13(03):360-364.3gg帝国网站管理系统

  • 科普答疑
  • 肺结节手术
  • 磨玻璃结节
  • CT

其他热门专题

  • 肺结节
  • 微乳头型肺结节
  • 科普答疑

其他热门专题

  • 治疗中护理
  • 居家护理
  • 保健品
  • 抗癌饮食

其他肺癌护理专题