肺癌的早期症状有哪些,你知道吗?
有人会说咳嗽、胸闷、咯血、消瘦……
拜托好好审题,说的是“早期”呀!
上述这些症状出现,往往表示病灶已经出现压迫、阻塞、侵蚀血管、转移等表现了,你觉得还能是早期吗?
还有人会说,早期肺癌肯定没症状呀,癌症可怕就可怕在隐匿性,要不为什么发现了大多数是晚期呢?
NO NO NO,你知道吗?有些症状和体征会远早于肿瘤暴露之前出现,提前跟你预警的!
什么,这么神奇?今天跟着小编一起来看看肺癌那些“隐秘的角落”——稀奇古怪的副癌综合征吧!
肺癌副癌综合征是指由癌细胞产生的某些特殊激素、抗原、酶或代谢产物引起的一系列临床表现,与肺癌的直接侵蚀、转移、阻塞或压迫无关,这些症状和体征可以表现于肺以外的各个脏器。
了解副癌综合征的意义在于,这些症状和体征往往出现在肿瘤暴露之前,可成为早期诊断的线索;有些症状或体征(如高钙血症)远较肺癌本身更具危险性,需立即予以特殊治疗。而对原发病灶有效的治疗则可使该综合征消失~
今天我们来认识一下常见的肺癌副癌综合征。请一定铭记在心,一旦出现类似症状或体征,千万要注意恶性肿瘤的筛查哦!
杵状指(趾)表现为末端指(趾)节明显增宽增厚,指(趾)甲从根部到末端呈拱形隆起似鼓槌,因此,也被称为“鼓棰指”。该征象常常是临床上肺癌患者早期的唯一症状。

图 典型杵状指
如何早期发现杵状指(趾)呢?
“Schamroth征检查法”有助于识别手指和指甲的这种改变。测试时,将双手放在眼前,把两个食指的指甲那一面贴在一起。正常情况下,你应该看到两个指甲床之间有一个菱形的空间。

图 Schamroth征检查法(左为正常手指,右为杵状指)
当然,发生杵状指并不一定就是肺癌,也见于肺气肿、肺纤维化、支气管扩张以及某些心脏病等慢性缺氧患者。
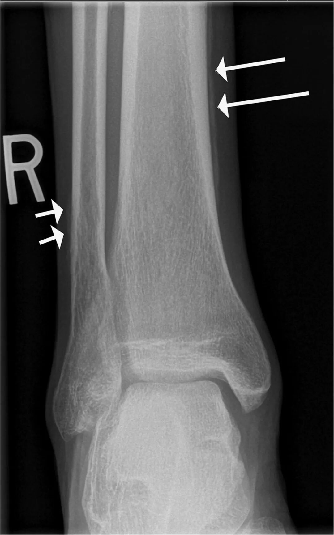
肥大性骨关节病又称Marie-Bamberger综合征,表现为对称性的关节肿痛,以大关节受累最常见,常被误诊为类风湿关节病。本病最常见和最主要的病因是胸腔内疾病,约80%合并肺内疾病,其中2/3为支气管癌,1/5为良性肿瘤。

病骨区软组织有肿胀压痛,以胫腓骨和桡尺骨远端较为显著,严重者可累及股骨、肱骨、掌骨和跖骨等,也有累及膝、踝、腕等大关节。其确诊主要依靠影像学证据,表现为双侧管状骨对称性骨膜增生。增生的骨膜可呈层状、葱皮样或花边样,骨膜新生骨与骨皮质之间多可见一透亮线;关节病变多表现为关节软组织肿胀、关节积液及关节周围骨质疏松等征象。核素骨显像的特征表现为对称性“双轨征”和(或)对称性关节周围放射性浓集。
肥大性骨关节病与大细胞癌、鳞癌、腺癌密切相关,有时是肺癌早期的唯一症状,很大一部分患者被误诊为类风湿性关节炎。
如果患者在骨科就诊发现肥大性骨关节病,临床医生一定要警惕有无肺部疾患可能,不然,等患者有肺部症状后再来检查,可能一切晚矣。
一些特殊的皮肤、肌肉病变
① 黑棘皮症多见于成年人,男性发病率高于女性,可见于肺癌,先有皮肤改变后发生肿瘤者占20%,与肿瘤同时发生占其60%,表现为颜面皮肤灰黑、粗糙、逐渐发展到全身皮肤。

很多人发现脖子发黑,考虑是晒得,其实不是。黑棘皮症可能是肥胖、糖尿病、消化道肿瘤或者是肺癌导致。
所以各位一定要注意了,如果脖子莫名其妙发黑,一段时间都没有褪去,那么请赶紧到医院就医。
② 多发性肌炎和皮肌炎的首发症状通常为四肢近端无力,往往从盆带肌开始逐渐累及肩带肌肉,仅有5%的患者伴有肌肉疼痛或压痛。

咽喉肌受累可发生吞咽困难;颈肌受累常见,可出现抬头困难,也可累积呼吸肌。皮炎可在肌炎前出现,或伴随出现。典型改变包括眶周、口角、颧部、颈部、前胸、肢体外侧、指节伸侧和指甲周围的红斑和水肿,尤其常见的是上睑呈淡紫色色斑和水肿。后期呈现脱屑、色素沉着和硬结。
临床上约8%的多发性肌炎和皮肌炎患者伴发恶性肿瘤,可先于恶性肿瘤1~2年出现,也可同时或晚于肿瘤发生。常见的肿瘤是肺癌、卵巢癌、乳腺癌、胃肠道癌。年龄越高,伴发肿瘤机会越大。就肺癌而言,小细胞癌、鳞癌都与其相关。
③ 剥脱性皮炎又称红皮病,是一种以全身皮肤潮红、脱屑为特征的炎症性疾病。
另外,不明原因的瘙痒症,掌跖皮肤过度角化症,反复发作的湿疹、带状疱疹、鱼鳞癣也应警惕恶性肿瘤所致。
深静脉血栓多发生于下肢,临床表现为血栓侧肢体肿胀,一旦发生血栓脱落可引起肺栓塞相关症状,严重者可危及生命,与肺癌引起的血液高凝状态有关。
临床有患者以血栓为首发症状,因下肢肿胀前往医院治疗深静脉血栓,结果在入院检查中发现肺癌;也有患者静脉栓塞治愈后多次复发,最后出现肺癌。因此,不明原因血栓栓塞患者以及抗凝效果不佳反复复发者,都要警惕肿瘤的存在。
另外,还有以贫血、紫癜(皮肤黏膜的瘀点瘀斑)、红细胞增多、类白血病样反应的血液系统改变。
男性乳房发育是由肺癌细胞分泌促性腺激素所致,常与肺性肥大性骨关节病伴发,个别患者还伴有睾丸萎缩,这种症状容易被误诊为普通的乳腺增生。该病发病机制为肿瘤导致的异位促性腺激素分泌增多,与外周血中雌激素水平升高、雄激素水平降低,致使肺癌患者体内性激素失衡和紊乱有关,从而引起男性乳腺增生症状。
伴发促性腺激素增多综合征的肿瘤有 2 类:
第一类是来自内分泌腺和生殖腺的肿瘤,包括垂体瘤、睾丸和卵巢的生殖细胞、原发于性腺以外的生殖细胞瘤、滋养层细胞肿瘤(绒毛膜上皮癌);
第二类就是来自非内分泌腺和生殖腺的恶性肿瘤,如肺癌、消化道肿瘤、肉瘤、脑膜瘤等。
库欣综合征
“满月脸”、“水牛背”和皮肤紫纹等,是库欣综合征的表现,可由肺癌细胞分泌促肾上腺皮质激素样物质引起脂肪沉积而导致,往往会被误诊为内分泌系统疾病。小细胞肺癌或支气管类癌都是引起库欣综合征最常见的细胞类型。
抗利尿激素分泌失调
抗利尿激素分泌失调可表现为食欲不佳、恶心、呕吐等消化道症状以及乏力、嗜睡,由肺癌细胞分泌抗利尿激素导致,常被误诊为消化系统疾患。
患者可因稀释性低钠血症就诊,伴随水中毒症状的加重,甚至可能出现精神症状,意识模糊甚至昏迷等神经并发症。当临床上出现顽固性低钠血症一定要想到肺癌,与小细胞肺癌的相关性可以达到75%。
甲状旁腺激素失调
临床表现为 恶心、呕吐、嗜睡、烦渴、多尿和精神紊乱等,常由肺癌分泌甲状旁腺激素导致,多见于肺鳞癌。
类癌综合征临床表现为阵发性皮肤潮红、多汗症状,轻中度腹泻,偶见皮炎、痴呆和腹泻三联征,还可表现为哮喘样呼吸困难、陈发性心动过速、瘙痒、带状疱疹等。
由于肺癌产生的生物活性物质直接进入大循环,故类癌综合征的症状出现的较早。临床病例有患者因面部反复皮疹几月治疗无效,最后发现肺癌。其发生机理为肺癌细胞产生过多的 5-羟色胺、5-羟色胺酸、缓激肽、组胺等化学介质有关。治疗以手术切除原发病灶为主,常见于肺腺癌或小细胞肺癌。
高钙血症临床表现为厌食、恶心、呕吐、便秘、多尿、多饮等,严重者可出现精神错乱、嗜睡、意识模糊、昏迷等表现。如不及时处理会危及患者生命。
研究发现,在没有骨转移的情况下,高钙血症发生率占40%。许多肿瘤都可产生异位甲状旁腺激素,尤以肺癌发生率高。血钙可高达3.5mmol/L以上,切除肿瘤后血钙水平往往可以恢复正常。主要存在于鳞癌,发生机制与异位甲状旁腺激素与其相关蛋白有关,也可由骨转移直接所致。
神经肌肉综合征具有下肢水肿、肌肉萎缩、肌无力、肢体运动不协调、感觉异常等表现,具体病因不清,可能与自身免疫机制有关,多见于小细胞肺癌。
此外,还有肾小球病变副癌征、低血糖等其他方面表现。
好了,这些奇奇怪怪的副癌综合征你记住了吗?
让我们一起根据蛛丝马迹揪出肺癌吧!
编辑 | 郝冉(中国医学论坛报)
































































































