体检报告提示肺结节,总让人感到恐慌。作为每年平均要阅上万张肺结节片子的放射科医生,今天,好好来跟您叨叨有关于肺结节的这些事儿~
什么是肺结节?
肺结节并不是疾病名称,而是一个影像学术语。就是正常的肺组织内多出了一些较小的、局限的、椭圆形或不规则形的生理或病理性组织,在CT或胸片上显示类似结节的形态。
肺结节=肺癌?
肺结节不等于肺癌,90%的肺结节是良性的。
有研究指出,我国正常人群体检肺结节检出率为20%~40%。湘雅医院熊曾教授团队在湖南省实施的早期肺癌筛查项目数据显示,人工智能(AI)辅助薄层低剂量螺旋CT,使肺结节检出率明显提高,30~70岁体检人群肺结节检出率超过70%,但经过规范化培训的医生不会盲从AI的结果,而会给出恰当的结论。
事实上,最后病理确诊的肺癌患者仅为筛查总人数的1%~2%,90%的肺结节是良性的。
为啥要查肺结节?为何用低剂量螺旋CT?
早期肺癌常表现为肺结节,低剂量螺旋CT是目前公认的肺癌筛查的金标准,它能降低20%的肺癌死亡率,也是有效的肺结节检出工具,它能检出直径小于1 cm的微小肺癌,检出的肺癌中80%为早期肺癌,早期肺癌患者术后十年生存率接近100%,术后不需要放化疗、靶向治疗等高额的治疗手段。

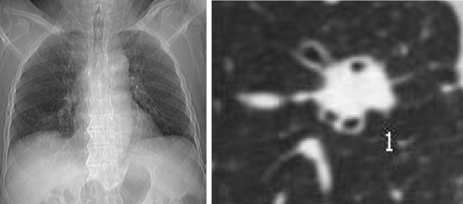
胸片(左图)看不见肺结节,CT(右图)清晰地显示肺结节,最后证实该结节为肺癌
而胸片仅能发现直径大于13 mm的肺结节,用胸片来发现早期肺癌,哪怕阅片经验丰富,水平很高的医生也难免漏诊肺内较小的病灶,“年年体检都正常,一发现肺癌就是晚期”的悲剧就易发生。
低剂量螺旋CT有辐射,不做可以吗?
我们建议应该做,指南推荐肺癌高危人群每年做一次肺部低剂量螺旋CT。
一次肺部低剂量螺旋CT的检查剂量仅为一年接受的天然本底剂量的1/3,对人身体几乎无损伤。很多人害怕X线的辐射,千方百计避免使用CT来筛查早期肺癌,不主动去检查,早期肺癌拖到晚期,丧失治疗机会,甚至失去宝贵的生命。
肺结节“长大了、增多了”,要不要紧?
CT报告肺结节“长大了”“增多了”,肯定要重视,却不一定是患了肺癌。
在实际工作中,最常见的情况是在A机构发现了肺结节,再到B机构复查,两个机构的CT报告结果不一致,报告显示结节的大小、数目发生变化。
CT报告肺结节在短期内“长大”、“增多”,最常见的原因是测量误差。只有在同一机型,同一扫描条件下,必要时可选择AI代替人工,尽量控制测量误差,对病灶进行观察,才能确定病灶是否真的增大或增多,做出较为准确的诊断。

怎样才能准确知道,肺结节是不是肺癌?
理论讲,只有拿到明确的组织学诊断才能确诊肺癌,也就是说需要通过手术、穿刺等有创检查才能明确诊断。
随着医师对肺结节认识的提高,CT、PET-CT等无创检查手段的诊断正确率也非常高了。比较典型的早期肺癌,CT也能确诊。
肺结节性质的判读不能自己上网搜索去判读,应该找负责任的专业团队为您解读结果。
肺结节如何科学定期随访?
医生阅读CT图像后,将肺内有阳性意义的结节(通常肺窗结节长径超过了5 mm)分成良性结节、恶性结节与未定性结节。
未定性结节通常需要复查,复查的时间并不是机械性地定为3个月、6个月、一年等间隔,而是要测量病变的倍增时间(即病变体积增加一倍的时间)来评价病变变化的速度,根据病变直径或体积随时间的变化绘制病变的生长曲线等方法,观察病变的变化规律,明晰病灶的自然进程。

如果是恶性结节,要选择最恰当的时间进行手术,如果是良性或炎性结节,要避免“白挨一刀”。

让人担心不已的磨玻璃结节不见了
筛查发现的肺结节可能是肺癌,要不要紧?
研究显示筛查发现的肺癌80%为早期肺癌,绝大部分情况下,手术效果是非常好的,能接近治愈,不需要化疗、放疗及靶向治疗,甚至有一部分肺癌,因为生长十分缓慢,在科学的随访下,可以不需要做任何治疗,也可以观察8~10年没有什么变化。所以即使筛查发现肺结节可能是肺癌,只要科学管理,也无需过度紧张。
筛查发现的早期肺癌怎样处理?
手术依然是目前处理早期肺癌最有效的方法,术前有条件需要完善肺结节3D可视化检查,以争取切除更少的肺组织,保留更好的肺功能,需要强调肺康复理念,争取获得最佳的手术效果。
对于难进行手术处理的病例、多原发癌、高龄或机体情况不能做手术等情况,也可以使用射频消融术、立体定向放疗等方法来处理肺结节,设计得当,在合适的患者身上,这些方法也可以达到与手术相当的效果。
部分患者可以在严密监管的基础上科学随访,再选择在适当时期选择适当的方式进行处理。
本文来源:健康时报
本文专家:中南大学湘雅医院放射科副主任医师熊曾、中南大学湘雅医院健康管理中心 主治医师张学伟
责任编辑:Sweet















































































































