编者按: 福建省肿瘤医院始终扮演着我省抗癌工作的坚强堡垒角色,并为肿瘤病人提供综合治疗,兜底全省的疑难重症癌症病人诊治工作。近年,医院强化技术创新,建立了各种肿瘤多学科诊疗的技术体系和全疾病周期的健康管理,针对每个病人的不同病情制定个体化诊疗策略,有机地在病人的不同治疗阶段合理使用,最大程度提高远期疗效,同时保障病人的生活质量,延长晚期病人生存期,使更多不可治的肿瘤得到可治。初步统计,2022年相关数据显示,在外院抗肿瘤治疗后转诊至该院进一步治疗的疑难病人治愈及好转率达 45.85%,有效率 96.5%。 当前,全院上下正以开展主题教育为契机,坚持用党的创新理论武装头脑、指导实践、推动工作,坚持学理论、悟思想,边学习边思考,边检视边整改,切实推动党建和业务工作双融双促,努力在以学铸魂、以学增智、以学正风、以学促干上取得实效。 近期,海都记者走访了省肿瘤医院,通过一个个生动的事例,展现该院是如何让“不可治”的肿瘤变得“可治”。 4年前,福建省肿瘤医院胸部内科何志勇主任团队接诊了一名肺癌晚期、双侧肾上腺转移且对三代靶向药物耐药的患者,一时间治疗陷入困境。团队反复讨论、研究后,改用节拍治疗来克服耐药的问题,最终取得了成功,病灶逐渐退缩。目前,患者仍在进行维持治疗,无进展生存时间已超4年,肿瘤接近完全缓解。 据介绍,何志勇团队近年来致力于节拍治疗克服三代EGFR-TKI耐药的临床探索,总结了28例患者的临床数据,该方案的疾病控制率达到89.3%,中位无进展生存时间9.4个月,这在国内外均属首创。 2019年4月,47岁的张女士(化名)因“反复胸闷、活动后气促”,到福建省肿瘤医院胸部肿瘤内科何志勇主任门诊就诊。询问病史得知,张女士为EGFR 19del突变晚期肺癌,已接受一代EGFR-TKI 厄洛替尼靶向治疗41个月。影像学检查提示,张女士右侧胸腔有大量积液,右侧胸膜增厚,双侧肾上腺转移。 治疗团队考虑张女士为一代EGFR-TKI治疗耐药,胸腔积液送检基因检测也提示EGFR T790M突变,遂给予口服三代EGFR-TKI靶向治疗,并配合胸腔局部灌注治疗以控制胸腔积液。不幸的是,1个月后,张女士再次出现“胸闷、活动后气促”,影像检查显示“双侧肾上腺转移灶稳定,右侧胸腔积液较前明显增多”,这说明,肿瘤对三代EGFR-TKI耐药。女子肺癌复发 还对靶向治疗耐药
改变治疗策略以节拍治疗来克服耐药
“目前对于三代EGFR-TKI耐药的晚期肺癌,治疗手段少,疗效有限,是临床治疗的难点。”何志勇主任介绍,若检测到耐药突变MET 扩增,当前的靶向治疗有效率仅30%,且药物尚未进入医保,患者经济负担重。因此,大部分耐药后的患者只能选择传统化疗。
“对于三代EGFR-TKI耐药后的应对策略,我国肿瘤学临床实践指南(NCCN指南)中也给出了根据有无症状和进展模式的处理推荐。对于缓慢或局限性进展的这一类患者,团队近几年致力于节拍治疗克服三代EGFR-TKI耐药的临床探索,并取得了非常多成功的经验。”何志勇主任说。
节拍治疗,即通过低剂量、高频度、持续性给药的方式,直接作用于血管内皮细胞,达到抗肿瘤血管生成作用,也可以通过减少调节性T细胞(Treg)数量和抑制Treg功能,增强抗肿瘤免疫反应,且毒性小,口服更方便。团队讨论后,建议张女士继续口服三代EGFR-TKI,联合节拍治疗。
靶向+节拍治疗“无进展生存时间”已超4年
2019年6月,张女士开始接受节拍治疗,令人惊喜的是,治疗1个月后,胸腔积液得到明显控制,胸膜转移、双侧肾上腺转移灶也逐渐退缩,治疗3个月后,胸膜转移、胸腔积液完全消失。现在,张女士仍在口服“三代EGFR-TKI联合节拍治疗”,该方案的无进展生存时间(PFS)已超过4年了,肿瘤接近完全缓解(CR),而且未发生任何治疗相关的副作用。
何志勇主任介绍,对于三代EGFR-TKI耐药后缓慢或局限性进展的患者,团队通过近几年的临床实践证明节拍治疗能克服耐药,并已总结了28例患者的临床数据,该方案的疾病控制率(DCR)达到89.3%,中位无进展生存时间(PFS)9.4个月,这在国内外属于首创。

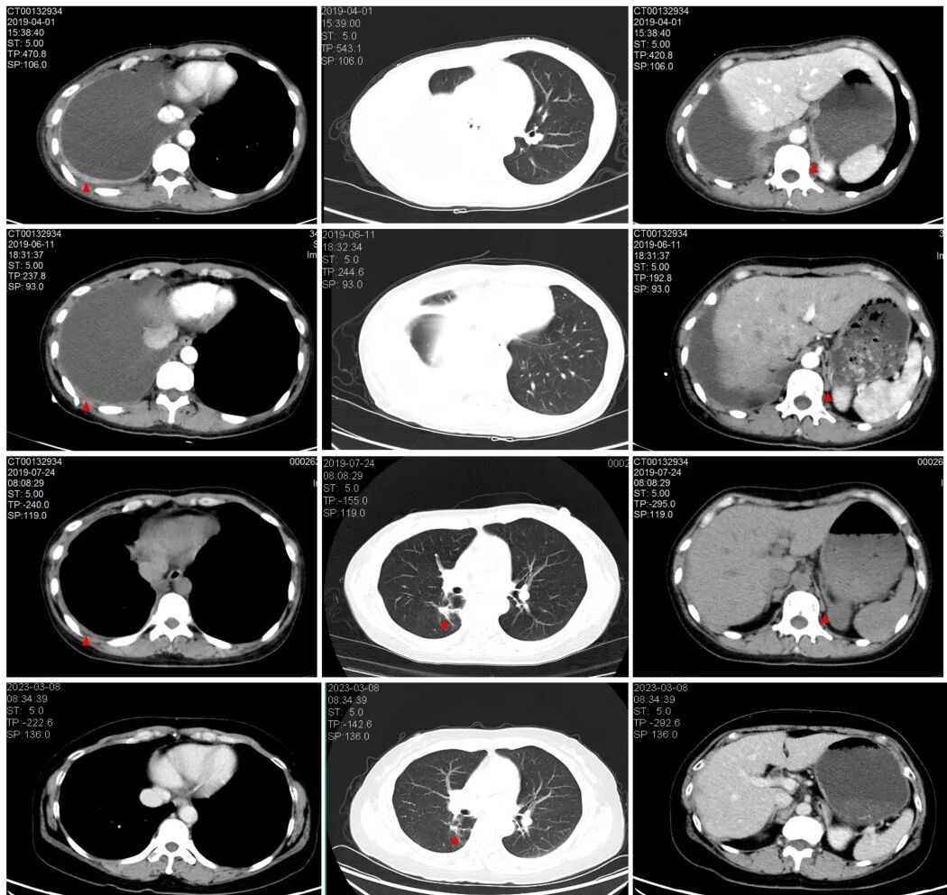
A(三代EGFR-TKI治疗前)CT提示右侧胸腔大量积液,右侧胸膜增厚,双侧肾上腺转移;
B (三代EGFR-TKI治疗后1月后)CT提示右侧仍大量胸腔积液,右胸膜、双肾上腺转移稳定;
C (三代EGFR-TKI联合节拍治疗1月后)右胸腔积液退缩,可见右肺小病灶,胸膜转移、双侧肾上腺转移逐渐退缩;
D(最后1次随访CT)右侧胸腔积液、右胸膜转移完全消失,右肺小病灶、双侧肾上腺转移少量残留。
(来源:海峡都市报)





































































































