肺癌首页

初识肺癌

诊断筛查

肺癌特药

肺癌治疗

寻医问诊

肺癌护理

肺癌并发症

肺癌复发转移

预防肺癌

首页 > 癌症分类 > 肺癌 > 寻医问诊

微创高效抗肿瘤,呼吸科碘125粒子植入术“核”力全开——

来源:南通大学附属医院 2025-03-25

近日,我院呼吸与危重症医学科VxG帝国网站管理系统
在肿瘤治疗领域取得了新的突破VxG帝国网站管理系统
成功为两名患者实施了碘125粒子植入治疗VxG帝国网站管理系统
这一创新疗法不仅为患者带来了新的希望VxG帝国网站管理系统
也标志着我院在肿瘤微创治疗领域VxG帝国网站管理系统
迈出了重要一步 
 
专家简介
 
72岁的张大娘(化名)在我院初诊时被确诊为小细胞肺癌,她常年茹素,身体状况欠佳,合并有肝硬化、脾肿大和食管胃底静脉曲张等疾病,没有手术指征,患者本人及其家属也十分抗拒抗肿瘤放化疗等传统治疗方式。然而,小细胞肺癌恶性程度高,进展快,预后差,可能很快会出现咳嗽加剧、咯血胸闷气促等症状,张大娘的生活质量将严重受损,甚至危及生命。VxG帝国网站管理系统
VxG帝国网站管理系统
考虑到病情的严重,治疗刻不容缓,在主任医师王海英团队的耐心解说和精心策划下,张大娘最终接受了肿瘤内碘125粒子植入术的治疗方案。经过充分的术前准备,王海英带领团队在CT导向下,成功将放射性碘125粒子精准植入到张大娘左上肺的肿瘤内。这些粒子将在肿瘤内部持续发挥“放疗”作用,有效时间约半年。术后第二天,张大娘便能够自由下床活动,状态恢复良好,让隔壁床的患者都感到惊讶。

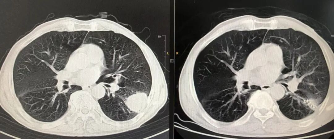
图片VxG帝国网站管理系统
▲张大娘术前术后对比图VxG帝国网站管理系统

 
几乎与此同时,隔壁病房的周大爷(化名)也面临着类似的困境。他被初诊为左下肺鳞状细胞癌、慢性阻塞性肺病、Ⅱ型呼吸衰竭,肺功能极差无法进行外科手术。周大爷同样坚决拒绝了抗肿瘤放化疗及免疫治疗等传统方式,导致治疗一度陷入僵局。然而,在看到张大娘的病情得到显著改善后,周大爷主动要求尝试肺放射性粒子置入术。

 VxG帝国网站管理系统

王海英团队在排除相关手术禁忌后,同样成功为周大爷实施了碘125粒子植入治疗。手术过程非常顺利,术后周大爷的恢复情况同样令人满意。

图片VxG帝国网站管理系统
▲周大爷术前术后对比图VxG帝国网站管理系统

后续随访评估显示,张大娘和周大爷的病灶均有明显缩小,疗效显著。这一创新疗法不仅为患者带来了身体上的改善,更重要的是给予了他们后续治疗的信心与希望。
 

碘125粒子植入治疗是高效低毒的内放疗抗肿瘤方式,对肺部局灶性肿瘤效果好,具有微创、安全、疗效佳等优点,是我院呼吸与危重症医学科的新突破,通过这一系列成功案例,再次展示了其在肿瘤微创治疗领域的专业实力和创新精神。未来,该科室将继续探索更多有效的治疗方法,为更多患者带来生命的曙光。VxG帝国网站管理系统

  • 放疗
  • 碘125粒子植入治疗
  • 南通大学附属医院
  • 王海英

其他热门专题

  • 立体定向放疗
  • 上海市肺科医院
  • 许亚萍
  • 小细胞肺癌

其他热门专题

  • 王海英
  • 南通大学附属医院
  • 放疗
  • 小细胞肺癌

其他热门专题

  • 王海英
  • 碘125粒子植入治疗
  • 放疗
  • 小细胞肺癌

其他热门专题

  • 南通大学附属医院
  • 碘125粒子植入治疗
  • 放疗
  • 小细胞肺癌

其他热门专题

  • 治疗中护理
  • 居家护理
  • 保健品
  • 抗癌饮食

其他肺癌护理专题

  • 影像学检查
  • 病理活检
  • 肺结节
  • 基因检测

其他诊断筛查专题