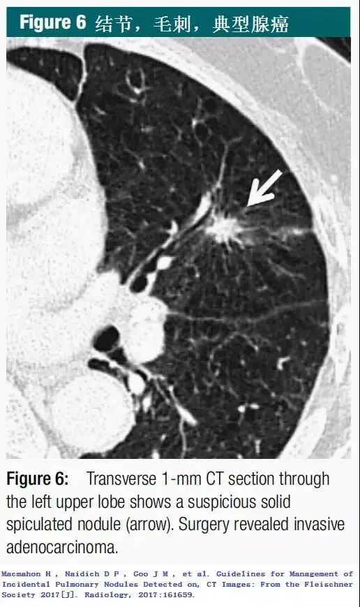
胸部CT在体检中的应用越来越普遍,很多人在做完CT后被告知:肺上长了结节。 其实体检被检测出的肺结节只有5%是恶性的。 我们一直在跟大家强调肺结节问题,尽管这样还是有很多患者不放心,担心的睡不着觉。 那什么样的肺结节该切?什么样的不该切呢? 有一点要明确肺结节不等于肺癌,它在人体内出现的原因大致分为三种:炎性疾病、先天性疾病和肿瘤。 它并不是一个具体的疾病名称,它跟咳嗽一样是一种表现,感冒发烧会咳嗽,肺炎了也会咳嗽。肺结节就是指在影像检查上看到的直径≤3cm、类圆形的、密度增高的实质性或亚实质性的肺部阴影。 首先给大家看看哪些是良性的(来自Fleischner协会指南的经典CT) CT影像判断肺结节的良恶性主要是从结节大小、形态、密度等特征来进行判断(注意:临床上具体需由专业医生综合分析判断,切勿自行臆断)。 1.结节大小:随着肺结节体积增大,其恶性概率也随之增加。但肺结节大小的变化对其定性诊断价值有限,还需密切结合形态及密度的改变; 2.结节外形:良性肺结节边缘清晰、光滑;恶性肺结节有分叶、空泡、毛刺、血管聚集、胸膜凹陷的特点; 3.结节密度:部分实性结节的恶性概率最高,其次是磨玻璃结节和实性结节。 CT图是诊断的第一步,要诊断结节情况需要结合其他相关检查,如结核菌素试验是否阳性,肿瘤标志物情况等。具体检查需要做哪些?不要慌,找专科医生并信任他。































































































































