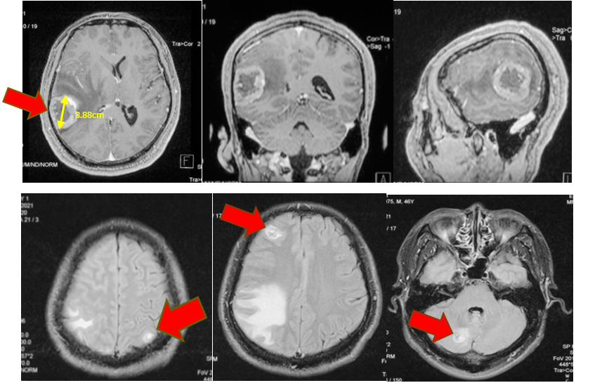
患者为46岁中年男性,主因前额搏动性疼痛1月余,加重1周至当地医院就诊,颅脑CT检查提示右侧颞顶叶占位:转移瘤?,入院完善相关术前检查后发现该患者肺部占位、颅内多发占位,怀疑肺癌脑转移瘤。 结合患者一般情况及影像学检查分析病情。认为颅内右侧颞顶叶肿瘤占位效应明显,导致中线移位,脑室受压,肿瘤进展较快,有进一步增大可能,严重时可能出现脑疝,危及生命。且该占位最大径>3cm,放化疗效果差,同时手术可明确肿瘤性质,因此计划手术切除右颞顶叶占位,其余颅内占位较小,占位效应不明显。肺部占位可在明确组织病理及分子病理后再行治疗。 颅脑磁共振提示颅内多发占位 胸部CT提示右上肺尖段占位 排除绝对手术禁忌后于2021年11月10日行全麻下左侧卧位右侧颞顶叶占位切除术。术后患者病情平稳,未见新发神经功能障碍,查体同术前。术后病理提示:符合低分化腺癌,考虑为肺来源。免疫组化提示:CK7(+)、NapsinA(+)、TTF-1(+)、ALK(ventana)(-)、PD-L1(SP263)(30%)。分子病理提示:EGFR 19缺失突变。 术区CT 出院后患者至我院脑转移瘤多学科联合门诊拟定下一步诊疗方案。脑转移瘤MDT专家团队联合为转移瘤患者会诊,各学科专家详细询问了患者的相关病情及诊疗经过,并仔细阅读了影像学检查及实验室检验结果,从各自专业角度,结合患者整体病情,提出了各自相关专业的处理方案以及为患者制定了全面、精准、规范的诊疗计划: 神经外科冯世宇主任:患者脑转移瘤术后恢复良好,建议下一步综合治疗。 放射科肖华锋主任:阅患者术前MRI和术后CT提示颅内多发转移瘤,右侧颞顶叶转移瘤术后改变。肺部CT提示右上肺肺癌,建议肺部CT增强扫描,颅脑MR增强扫描,定期复查。 胸外科马永富主任:病史已阅,建议完善胸部增强CT。评价右上肺手术机会。 肿瘤内科吴志勇主任:肺癌脑转移考虑EGFR作为主要驱动基因治疗,结合TP53/ target=_blank class=infotextkey>P53突变,建议应用EGFT TKI+安罗替尼治疗,EGFT TKI首选奥希替尼。 综合意见: 患者就诊联合门诊后积极行化学药物治疗(奥希替尼,口服 80mg 1/日;安罗替尼 口服 8mg 1/日),近日再次至我院复查颅脑磁共振提示病情控制良好(如图)。 右颞顶占位 其余多发占位 肺部占位 病例总结 该患者为46岁中年男性,主因头部疼痛发现颅内多发及肺部占位,高度怀疑肺癌脑转移,但肿瘤性质未明确;颅内右侧颞顶叶肿瘤占位效应明显;肿瘤直径>3cm,放化疗治疗效果较差并且存在风险。手术可快速解除颅内高压症状,消除病灶对周围脑组织的压迫,并且明确肿瘤性质,根据组织病理及分子病理能够寻找肿瘤相关突变基因靶点药物。因此采取了手术切除颅内右侧颞顶叶肿瘤,缓解了占位效应,明确了肿瘤组织病理及分子病理,为患者赢得了下一步综合治疗的时间。 该病例的启示 颅内转移瘤是否手术应进行综合评估,其中包括肿瘤的数量、大小、性质、部位、患者一般情况等。 1、 颅内单发肿瘤最大径>3cm,水肿范围大、占位效应明显时应行手术切除,及时进行减压,挽救患者生命;但其病理性质明确,且对放化疗敏感时,可不首选手术治疗。 2、 颅内多发,若肿瘤数目≤3个,且能完全切除者可行手术治疗;若肿瘤>3个,则建议行放疗、化疗等非手术治疗。但是若占位效应明显、出现梗阻性脑积水、肿瘤卒中甚至脑疝等情况时应行手术切除较大占位病变以达到减压目的,患者赢得下一步治疗的时间以后,再根据组织病理和分子病理,进行化疗或靶向治疗或者放疗等综合治疗。 3、 若肿瘤性质不明确者,应行手术切除或穿刺活检明确组织病理及分子病理,根据其结果可寻找有效的化疗药物或靶向药物等综合治疗的方案。 4、 肿瘤部位较深或位于功能区(如脑干、基底节区、丘脑),评估手术风险高可能带来不可逆的功能障碍,一般不首选手术,可先选择放疗或化疗。 解放军总医院第一医学中心脑转移瘤联合会诊团队由神经外科、肿瘤科、放疗科、放射科、胸外科、乳腺外科等科室专家组成的专家团队,各相关学科专家结合患者的具体情况,制定出最合适患者的个性化的精准治疗方案,提高患者的治疗效果、生活质量以及生存时间。简要病史
病情分析
术前影像



MDT诊疗经过


































































































