“没想到晚期肺癌也能治好,现在我身体里面的癌细胞基本消失了,非常感谢中肿甘肃医院胸外科团队!”58岁的常先生激动地说。无独有偶,因为患左肺下叶肺鳞癌,“被诊断为无法手术”的杨先生也在中山大学附属肿瘤医院甘肃医院得到了救治,目前已康复出院。近日,中肿甘肃医院胸外科团队完成了多例高难度复杂肺癌手术,均取得良好的治疗效果。自国家区域医疗中心建设启动以来,中肿甘肃医院各团队的医疗服务能力不断提升,这使得甘肃省的患者无需出省便可得到优质的治疗。 近日,58岁的常先生因左肺上叶鳞癌来到中肿甘肃医院就诊。经检查发现,常先生的肿瘤长在左肺上叶支气管的根部,侵犯了左肺动脉干和最粗壮的两个分支。这一类肿瘤分期在临床上称之为局部晚期,直接切除需做全肺切除或上叶袖状切除加肺动脉袖状切除术,难度大、风险高,而且肿瘤容易残留复发,预后不佳。 面对重重困难,治疗团队并没有放弃。胸外科郑凤长副主任医师团队制定出个性化治疗方案,经过两周期新辅助化疗加免疫治疗后,常先生的肿瘤明显缩小,此时保留左肺下叶避免全肺切除的概率增加了。随后,杨弘主任医师带领胸外科团队抓住此时宝贵的手术时机,全力投入战斗。为防止切除肿瘤侵犯的肺动脉时出现大出血,治疗团队预先阻断了肺动脉总干,仔细而精准地分离被肿瘤包绕的肺上叶动脉各分支,在保证完整根治的前提下避免了全肺切除及袖状切除。 “我不敢相信我的肺竟然保住了,我的病也治好了!”常先生的术后病理报告显示:支气管及可疑区全部取材,未见明确癌组织残留。术后一周,常先生顺利出院。中肿甘肃医院胸外科治疗团队有效的术前辅助治疗和精准的手术治疗为常先生拓宽、延长了生命之路。拯救晚期肺癌患者“我身体里面的癌细胞基本消失了”

常先生术后病理诊断报告
“雷霆手段”根治肺癌挽回“失去手术机会”的生命

与常先生境遇相似,56岁的杨先生(化名)来自陇南市,因患左肺下叶肺鳞癌,曾辗转于省内外多家医院求医。由于长期大量吸烟,肺功能指标严重下降,加之肿瘤位置不好、手术难度大等原因,杨先生被告知已经失去了手术根治性切除的机会。但是,杨先生和家人并没有放弃寻找“生”的希望,转诊至中肿甘肃医院,经杨弘主任医师、郑凤长副主任医师、杨斌副主任医师带领的胸科团队及肿瘤内科团队全面评估手术可行性及肺功能耐受情况后,制定出精准周密的术前新辅助治疗和手术方案。
经过4个周期新辅助治疗,治疗团队发现杨先生肿瘤缩小了,手术时间窗出现了!
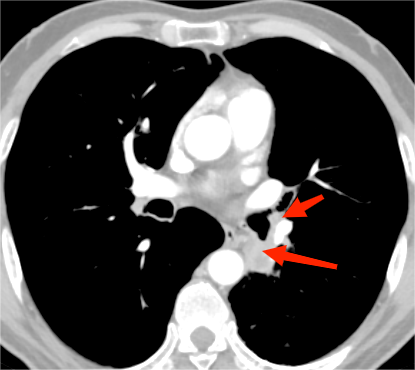
然而,肺功能和肿瘤位置差等因素对外科手术的挑战并没有消失!杨先生的肿瘤位于左肺下叶开口处,距离上下叶共同开口仅仅0.5厘米,并且肿瘤侵犯左侧肺动脉主干、下叶各动脉分支。这类患者往往需要进行左全肺切除或肺叶袖状切除,肺动脉成形,手术难度高,风险大。加上杨先生的肺功能根本无法耐受全肺切除,这给手术再次增加了难度。

杨先生的影像资料及诊断报告
为了保留杨先生的舌段肺功能,治疗团队采取了“雷霆手段”:阻断肺动脉主干及舌段动脉,切除受侵动脉壁,手工缝合肺动脉缺损;随后,切开下叶支气管根部,术中冰冻确定切缘无肿瘤残留后手工缝合封闭支气管残端。
最终,手术达到了没有残留的根治性切除,杨先生术后顺利恢复。“重获新生”的杨先生和家人为胸外科团队送上了“良医有情解病,神术无声除疾”的锦旗。于是就有了开头那一幕……











 
                                










































 
                            









































