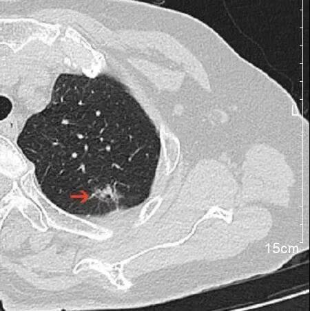
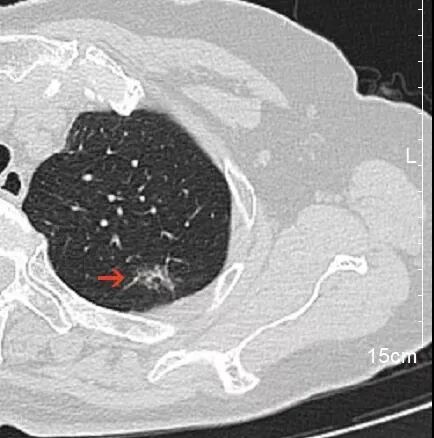
“吴主任,麻烦您给看看,老严是不是和我一样幸运!” 浙大二院解放路院区胸外科吴明主任医师的诊室内今天特别热闹,夏大伯带着他的钓友严大伯前来求医,期望朋友能和自己一样幸运。 事情要回溯到2个月前。年前夏大伯“阳”了一周后,依旧觉得浑身不得劲,来到浙大二院滨江院区做了胸部CT。 不查不知道,一查吓一跳。本来还只是“不得劲”的夏大伯,年三十看到自己的CT报告,当场就感觉四肢无力,呼吸都有些困难了。丰盛的年夜饭,在CT报告“肿瘤不除外”这几个字面前,也变得索然无味。 夏大伯是怎么都在家里待不住了,第二天一大早就再次来到了滨江院区,碰上了过年期间坐诊的胸外科吴明主任医师。 吴明仔细查看了夏大伯的CT,认为这个肺结节看着虽不能完全排除肿瘤,但炎症所致的概率更大。便劝夏大伯放宽心,回去口服抗生素治疗半个月,1个月后再复查胸部CT。 夏大伯“百度”了吴明医生的专家资料后,又听他这么说,悬着的心放下了一半。 待1个月后复查 悬着的另一半心更是彻底放下了 他的肺结节基本消失了 当得知自己的钓友也查出了肺结节,夏大伯二话不说就带着他来到了吴明医生的门诊。 吴明看了严大伯的CT片子,认为虽然他的肺结节中也有炎症成分,但是恶性的可能性也不低。果不其然,经过半个月的抗炎治疗,1个月后严大伯复查了胸部CT,肺结节虽然缩小了,但并未完全消失。 “是不是消炎药不够好?要不要再吃半个月?” “要不要挂盐水?” 严大伯和夏大伯明显还希望通过抗感染治疗,把肺结节治好。 吴明医生告诉他们说,肺结节之间是不同的,需要结合多方面的因素去综合判断。严大伯的这个肺结节恶性的几率还是很高的。 术后,病理果然提示:




什么是肺结节?
目前公认的肺结节定义为直径≤ 3 cm 的局灶性、类圆形、密度增高的实性或亚实性肺部阴影。
又可以进一步细分为:
-
微小结节(直径<5mm)
-
小结节(直径5-10mm)
-
肺结节(直径30mm以下)
根据在胸部CT上的表现,又可将肺结节分为:纯磨玻璃结节、部分实性结节和实性结节。
第一次发现肺结节,该怎么办?
我国有1亿多肺结节,但80%以上都是8mm以下的结节,绝大部分都是良性结节,不需要外科手术干预,甚至不需要临床干预。
大家第一次遇到肺结节,一般都是来自自己的胸部CT报告,报告上显示的可能是“增殖灶”,也可能是“磨玻璃影”,还可能是“实性小结节”等。
随着目前影像检查手段的进步,肺多发结节的发现也越来越多,一个患者可能两肺都有数颗小结节。
这时候,不要慌
应对教程请收下
首先,找专科医师
请找专科医生为你阅片,解读CT。首选胸外科医生,也可以选择呼吸科医生和放射科医生等。
根据肺结节诊治中国专家共识,在“恶性证据”不十分明显的前提下,目前不建议第一次发现肺结节即马上手术。尤其是一些炎性可能的结节,更是建议经过抗炎治疗后复查,再决定下一步是继续随访还是手术。
其次,注重观察
针对那些性状特征不典型,门诊专科医生也判断不定良恶性的结节,可以请有经验的专家会诊,并辅以其他的检查检验,甚至是人工智能分析手段。
同时,也可以选择短期随访,如1-3个月左右复查胸部高分辨率CT,根据结节短期内的变化来决定是否可以延长定期随访的间隔时长。
最后,建议在同一家医院随访
最后,肺结节形态各异,可能是肿瘤,可能是炎症,也可能是结核,可能短期内变化明显,也可能数年内都无明显变化。
建议患者朋友在同一家医院进行肺结节的定期随访,以便医生能更好地在电脑上对比结节前后的变化,做出更为准确的判断。





























































































