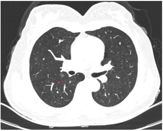
原标题:【医疗】三维重建助力胸外科完成多例精准肺段切除术 患者术前胸部CT检查结果,箭头所指处为病灶,表现为磨玻璃样结节 45岁患者王女士家住丹东市,体检时发现右肺下叶磨玻璃密度小结节,影像学上符合早期肺癌的表现,王女士及家人非常焦虑,四处求医。医生给王女士的建议都是手术切除。王女士肺部的病灶虽然体积较小,直径约1cm,但由于病变靠近肺门深处,采用常规的肺楔形切除手术非常困难,甚至可能对肺组织造成较大的损伤。如果行肺叶切除,王女士又担心术后肺功能的损失较多,恐怕术后不能从事繁重工作。王女士接受手术治疗的意见,但是她希望手术的效果是即能切除病灶,又可以最大限度的保留正常肺组织。经地方医院介绍,王女士来到我院第二胸外科病房找到了石文君主任。 入院后,王女士进行了胸部增强CT+三维重建的检查,随后进行了支气管血管三维重建,根据三维重建的结果,石主任带领团队为王女士制定了精准肺段切除的手术方案。由于术前已经从三维重建图像中得知了血管及支气管的变异,手术进行的非常顺利,手术时间及出血量均较常规的肺叶切除手术无明显差别,术后王女士恢复顺利并出院。现王女士术后已有半年,来复查时欣喜地告诉我们,目前她仍可以从事之前较为繁重的工作,体力上也相当充沛。目前类似于王女士这种情况的患者非常多,第二胸外科病房现已完成多例胸腔镜下精准肺段切除术,帮助患者获益。 三维重建立体图像,白色为支气管,红色为动脉,蓝色为静脉,黄色为病灶所在位置 支气管及肺动静脉3D打印模型 胸腔镜肺段切除术是早期肺癌的重要治疗手段之一,精准的手术是肿瘤学疗效和肺功能保护的前提。精准肺段切除术的目标是在彻底切除病灶的同时最大程度地保留健康肺组织。但是精准肺段切除最大的难点在于每个人解剖的不确定性,因为肺血管、支气管细枝末节就像一棵树,每个人长得都不一样。要做到精准切除,首先就要确定病变在哪一个肺段,其次需要精确判断该肺段的动脉、静脉、支气管有没有畸形,需要切断哪一个,保留哪一支。这些信息都需要三维重建图像提供给我们,所以说“无重建,不精准”。 目前高龄患者及肺小结节的患者很多,精准肺段切除非常适合这类肺小结节或无法耐受肺叶切除的高龄患者的治疗。开展精准肺段切除的最大难点准确分辨肺段的静脉、动脉、支气管及段间平面,有3D-CTBA重建影像指导的肺段切除术才是精准肺段切除术。我院第二胸外科病房将三维重建及3D打印技术应用到肺段切除术前,做到“精准”肺段切除。术前对拟行肺段、肺亚段切除病例行薄层CTA检查,获得DICOM影像资料在计算机上使用软件进行三维重建,生成立体图像在三维图像上进行测量,提前发现患者存在的解剖变异,规划手术区域及手术径路,设计手术方案,选定需要切断的靶血管及支气管和需要保留的血管及支气管,设计段间切割线胸腔镜手术,根据术前的规划完成手术。因术前进行了准确的三维重建,可以在手术开始前及时发现解剖变异,在术中准确辨认所需切除术的血管及支气管,防止误断,提高了手术的精确性及安全性避免了因复杂的肺段解剖而带来的问题。 在日前由我院第二胸外科病房举办的“2019盛京医院胸外论坛暨盛京第一届精准肺段研讨沙龙”上,石文君主任主持大会。北京大学人民医院李剑锋教授等多名国内胸外科专家应邀参会并作了“近红外荧光显像在肺段切除中的应用探索”等专题报告,还进行了单操作孔胸腔镜下左肺下叶前基底段切除的手术演示。 在石文君主任的带领下,第二胸外科病房除了常规开展胸腔镜肺癌根治术、食管癌根治术、纵隔肿瘤切除术外,目前已成熟掌握并开展精准肺段切除术。但是对于临床分期不同的肺癌,其治疗效果差异较大,只有早期肺癌才有接受“精准肺段切除”治疗的机会,其手术创伤小,能彻底切除目标病灶,最大限度减免肺组织损伤,确保剩余肺结构完整和功能代偿。因此在肺癌的治疗中,早期发现尤为重要,建议特别是45岁以上、有吸烟史、家族遗传倾向的高危人群,应每年进行一次胸部CT检查;对于上述高危因素的人群,也应适时进行体检,争取做到早期发现及治疗。
现在随着人们对身体健康的重视以及体检规范性的提高,越来越多的人在体检的时候都会用胸部CT替代传统的胸片,这样能更早的发现某些病变。但是随着胸部CT检查的普及,肺部磨玻璃结节这个名词也越来越多的出现在人们的视野中,由于它恶变的概率较大,也越发引起了人们的重视。手术切除目前仍然是肺癌的主要治疗手段,但是对于这类“小而不实”的磨玻璃结节,应该如何进行手术?胸腔镜手术只是入路的微创,如何做到组织的微创,这是目前胸外科医生共同面临的难题。

















































































































