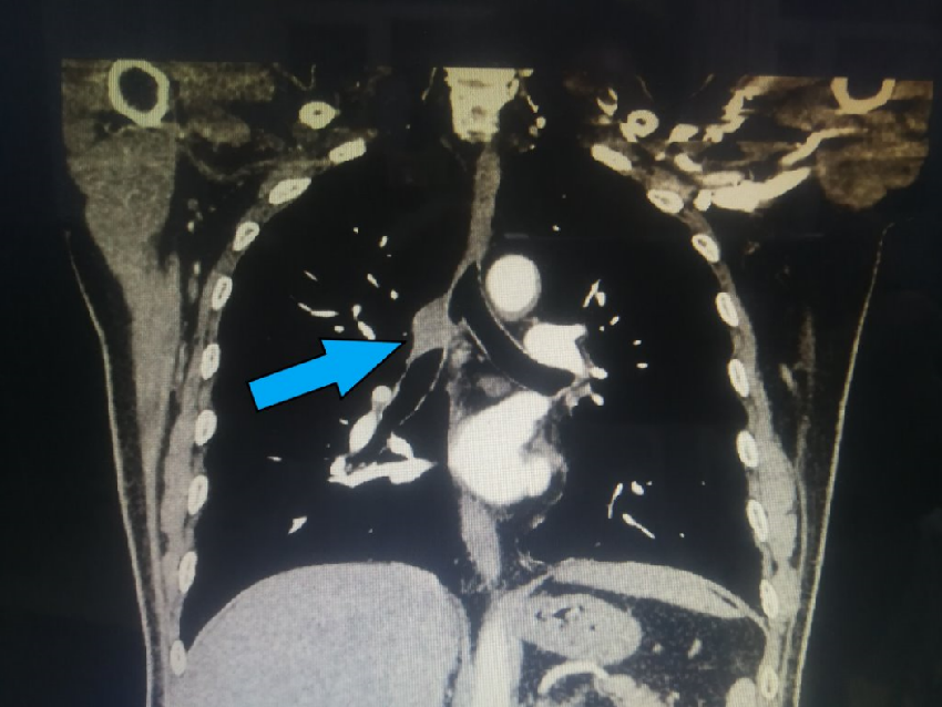
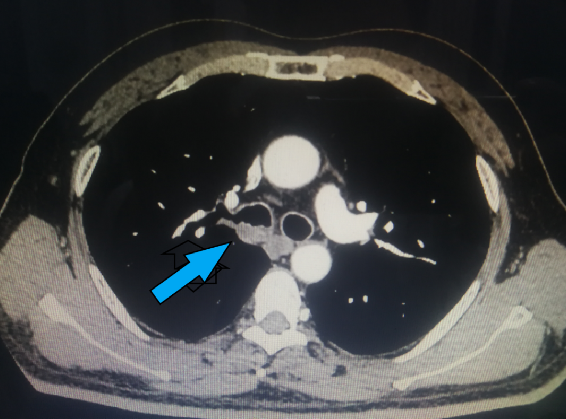
3月16日,辽宁省肿瘤医院副院长、胸外科刘宏旭主任、王伟主任及团队其他成员在麻醉科高浩然教授、手术室顾鑫和宋顺庆两位护士的配合下顺利完成一例非气管插管保留自主呼吸胸腔镜下袖式切除微创手术。随着年味逐渐散去,国内疫情形式逐渐明朗,医院就医的患者也逐渐的增多。在忙碌的工作中,我院胸外科刘宏旭教授团队始终坚持以患者生命健康为中心,在保证患者就医需求的基础上,一直紧跟着创新的步伐。3月16日完成的非气管插管保留自主呼吸胸腔镜下袖式切除微创手术,填补了我院乃至辽宁省在复杂中心型肺癌的微创手术区域的空白。       62岁的陈先生常年吸烟,1年前出现咳痰带血丝症状,当时未重视。近来出现呼吸困难,行胸部CT(见图1、2)检查提示右主支气管壁不规则增厚,可疑恶性;进一步行支气管镜(见图3)检查提示右肺上叶管口新生物,累及右主支气管开口及右肺二级隆突及中间干支气管,上界平隆突水平,下界距离中下叶开口约1cm,取病理提示鳞癌。  图1 图2 图3       面对这晴天霹雳,患者家属经过多方打听,了解到我们团队对于中心型肺癌的治疗有着丰富的经验并直接找到我们。经胸外科、胸内科、胸部放疗科、影像科和麻醉科共同会诊,专家们一致认为目前外科手术切除是最适合患者的治疗方案,但肿瘤位置高,单纯的支气管袖式切除不一定能达到完整切除的目的,很有可能需要隆突成形。考虑到手术当中气管吻合的难度及患者术后恢复,非气管插管麻醉方式比常规气管插管麻醉更具有优势。在保证肿瘤完整切除的前提下,本着对患者负责和对技术精益求精的心态,经充分的术前准备,于2021年3月16日成功行非气管插管保留自主呼吸胸腔镜下右肺上叶袖式切除、隆突成形、迷走神经部分切除重建、肺门纵隔淋巴结廓清术。(见图4、5、6、7)术中病理回报:气管上、下切缘净,这说明肿瘤切除彻底。       患者术后胸片见右侧余肺复张良好,气管镜见吻合口完整、通畅(见图8)。术后经过胡秀芬护士长领导的护理团队精心护理,给予患者快速康复和“无痛”优质护理,术后第1天下地活动,第3天拔除引流管,第4天恢复顺利出院。     图8       中心型肺癌病灶生长于肺脏根部,要想完整切除病灶,在多数情况下可能只有将单侧全肺切除,该手术方式无疑对患者造成了很大的伤害。支气管袖式切除术是将病灶连同被侵犯的支气管一同切除,再将正常的支气管两端切缘吻合。该手术方式是治疗中心型肺癌的标准术式之一,与单侧全肺切除比较,术后长期生存结果可与之相媲美,并更加有利于改善生活质量。非气管插管麻醉是术中使用不侵入气管的气道装置进行通气,保留患者自主呼吸,利用人工气胸达到单肺通气的效果。这种麻醉方式不仅能降低术后咳嗽等呼吸系统并发症,而且能缩短术后离床时间、禁食时间、住院时间及费用。胸腔镜手术技术凭借特有的优势(创伤小、手术视野好、术后恢复快)目前已被广泛应用,将胸腔镜下支气管袖式切除技术与非气管插管技术相结合,无疑可以进一步减少支气管袖式切除术的创伤,能最大限度地保护患者,更好的服务于患者。它的成功开展,标志着我院胸外科团队医疗水平达到了一个新高度。更重要的是,这种术式既避免了全肺切除术后治疗的困难,也最大程度上保留了患者的肺功能和最小限度下减少手术创伤,极大的改善中心型肺癌患者的生活质量。相信,辽宁省肿瘤医院胸外科将继续秉承“精诚•专业•仁爱 成就生命所托”的医院精神,不惧挑战,精益求精,砥砺前行,为更多患者提供更大的帮助。














 
                                






























































 
                            









































