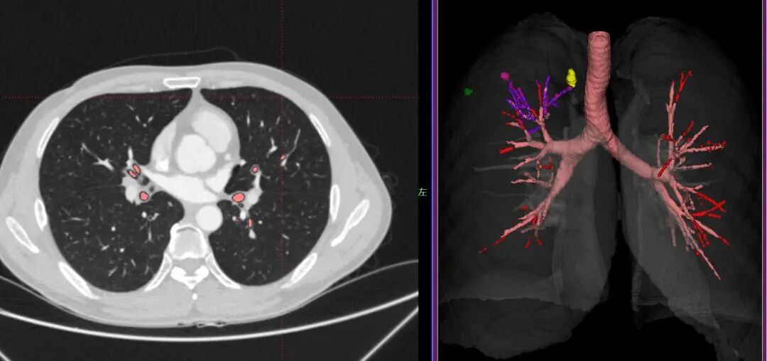
今天给大家介绍一下电磁导航支气管镜,磁导航就好比“GPS”,能精准定位肺结节的位置,目前已在临床上应用于手术当中。 电磁导航支气管镜其实就是我们熟知的支气管镜加了“GPS”定位系统,这样就可以更加准确快速抵达病变的区域,进行组织活检或者治疗了。 而且支气管分支越往下越细,对于生长在肺周围的病灶,普通支气管镜“鞭长莫及”,很难抵达;细支气管镜虽然可以抵达病灶,但是要花很长时间去寻找合适路径。 而电磁导航支气管镜就解决了这样的难题,支气管镜的探头可以根据磁导航迅速到达病变部位,就像在GPS定位下开车一样,安全高效。   从气管进入,无需穿刺,副作用和风险较小。 它不仅可以轻松取活检,帮助诊断小结节的性质,还能辅助其他治疗。   比如对于身体不适宜进行手术的病人,就可以直接用电磁导航支气管镜进行其他微创治疗,如射频消融治疗(射频电流直接加温到肿瘤局部,使肿瘤热凝固坏死)等,从而实现“不开刀治肺癌”的目的,减少对患者造成的痛苦和身体上的伤害。  
如何操作


优点
 

无创
功能齐全,样样精通






















































 
                             
                    










































