4年前,李大伯(化名)被不幸砸中。 他被确诊为肺腺癌晚期,多发骨转移,一家人感觉天都要塌了。 不幸中的万幸是,李大伯有肺癌靶向治疗的敏感突变,这也意味着李大伯可以用靶向药物治疗。 浙大邵逸夫医院呼吸与危重症医学科的陈恩国主任医师为李大伯制定了靶向药物治疗方案,并定期随诊。大伯的肺内病灶逐渐缩小,病情稳定了接近4年。 可惜,好景不长,近几个月全身复查发现,李大伯全身其他转移病灶都稳定,但肺部的病灶正在缓慢增大。超低温“冻死”肿瘤细胞
陈主任介绍,氩氦刀全称氩氦冷冻消融技术,是一种微创超低温冷冻消融肿瘤的先进医疗技术,它的原理是使用高压氩气,使针尖冷却至极低温,并在针尖周围形成冰球,然后再通过高压氦气使针尖再次升温,这样二次冻融,最终导致肿瘤细胞死亡。


李大伯详细了解后,毅然决定接受手术。
一切准备妥当,邵逸夫医院呼吸与危重症医学科蒋汉梁主任医师为李大伯进行局麻下氩氦刀肺癌冷冻消融术。
医生在CBCT引导下将消融治疗针经皮穿刺置入肿瘤病灶,在CBCT确定位置合适后连接至压缩氩气及氦气进行消融治疗。
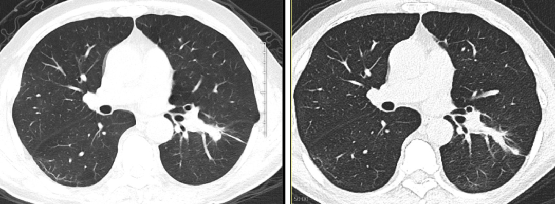
手术过程顺利,术后李大伯表示手术全程舒适,术后1个月后复查,肺内病灶较术前明显吸收。

李大伯术前术后肺部病灶对比图
氩氦刀有什么优势?
氩气刀相比传统氮气冷冻温度下降更快,对肿瘤破坏力更强。
术中针尖周围的冰球显示清晰,在CT下全程可视,可实现对肿瘤消杀精准,有效保护正常组织。
氩氦刀可重复性强,同一患者可反复多次治疗,巩固并增加疗效。
此外,冷冻消融可激活人体的免疫应答,显著提升机体抗肿瘤效应,并提升免疫治疗的疗效。
在副反应方面,氩氦刀是微创手术,局部麻醉,创伤低,还有内在镇痛效果。
让肺癌不再成为“绝症”
浙江大学医学院附属邵逸夫医院呼吸与危重症医学科隶属委省共建国家呼吸区域医疗中心,是国家首批PCCM和呼吸内镜医师培训基地,同时也是浙江省医学会呼吸分会主委单位,浙江省肺血管联盟主席单位,浙江省呼吸内镜联盟主席单位,是省内最早开展气道内介入诊断和治疗的单位之一,目前已全面开展各项介入诊治技术,其中多项技术为省内首家开展单位,是省内唯一一家呼吸专科拥有独立DSA设备的单位,也是首批C臂CT引导下肺结节定位、电磁及虚拟导航下经支气管镜肺外周结节活检术、首批引入共聚焦成像等内镜下微创诊断技术的单位,内镜综合诊疗水平在国内领先,是省内呼吸介入的领头羊。











 
                                



















































 
                            










































