肺癌首页

初识肺癌

诊断筛查

肺癌特药

肺癌治疗

寻医问诊

肺癌护理

肺癌并发症

肺癌复发转移

预防肺癌

首页 > 癌症分类 > 肺癌 > 诊断筛查

Fleischner指南:CT检出偶发性肺结节的管理①(中文)

来源:e药安全 2023-11-02

Fleischner学会

1969年,为了纪念放射学家Felix Fleischner,同时为了加强基础科学与临床医学之间在胸部疾病研究上的交流和提高,由8名放射学家创立了这个以Fleischner命名的亚专科学会。7Gc帝国网站管理系统

至今,Fleishner学会已经是一个享誉世界的胸部影像学国际学术组织,它坚持多学科会员的特色。委员会的专家来自成人和儿童放射学,病理学,成人和儿童肺科学,胸部外科学,生理学,形态学,流行病学和相关科学领域。委员会发表的一系列白皮书(white paper)被作为胸部影像学领域的指南而广泛采用。7Gc帝国网站管理系统
7Gc帝国网站管理系统
 7Gc帝国网站管理系统

2005年,Fleischner学会发布了肺实性结节的处理指南,并于2013年进行修订,增加了亚实性结节的处理。自那时以来,已经有了新的研究数据;因此,本次对指南进行了修订,以反映目前对肺结节处理的谨慎。更新点:增大了常规随访结节大小的最小临界值,随访间隔改为时段(而不是一个精确的时间段),合并实性结节和亚实性结节。本指南的主要目的是减少针对CT检出肺部偶发性结节不必要的随访检查,同时有助于放射科医生、临床医生以及患者有更大自主权去根据个体风险因素和选择进行调整。因此,方案中的 CT 随访时间从以前的某个特定时间点改成了时间段。做出这一改变是因为认识到了决定风险的多个因素,且不能简单的归纳为一个总表,以及患者态度对于更积极或更保守的治疗的重要作用。虽然我们从国家肺癌筛查研究 (NLST)、荷兰-勒芬-肺癌筛查研究(NELSON)、国际早期肺癌行动计划(iELCAP)、泛加拿大肺癌早期检测研究(PanCan)以及大不列颠哥伦比亚癌症办事处(BCCA) 的癌症筛查研究中纳入了新的数据,这些机构均支持对小姐姐采取更保守的处理,但我们认识到筛查程序应有明确的专家共识指导来使受检者获悉潜在危险性、持续监测的必要性,然而偶发肺结节代表了一个不同的人群,他们需要更灵活的临床管理方案。7Gc帝国网站管理系统

本指南推荐适用于35岁以上成年人CT偶发肺结节。肺癌的指南已经单独发表,如美国放射学院(ACR)的指南,我们支持在解释CT筛查结果时使用这些指南。对于多发的实性、亚实性结节,特定建议已经提供;一些其他常见的临床状况也有说明。7Gc帝国网站管理系统

本指南不适用于已患有原发癌且有转移风险的病人,也不适用于免疫功能不全且有感染风险的病人;对于这些患者,应该基于各自的临床表现制定治疗方案。同时,因为儿童和小于35 岁的成人很少患肺癌,因此对这些患者来说本指南也不合适。当年轻人偶发结节时,管理决策应该个性化,医生应该认识到感染比癌症的可能性更大,且尽量减少连续做 CT。大多数小于 1cm 的结节在胸片上看不到,但对于更大的实性结节,能在胸片上清晰看到的,且归类于低风险的,随访采用胸片而不是CT,使患者从花费和射线暴露上获益。7Gc帝国网站管理系统

表中总结了我们的推荐,均基于美国胸科医师学会在临床指南里推荐的证据分级并按等级排序,且根据多学科共识及对文献的系统回顾,对每一项的推荐意见根据其基本原理见附件E1。推荐随访结节大小的最小临界值基于:结节的癌症预测风险为1%或者更高。这个标准肯定是主观的,我们也注意到较高的临界值可能在某些环境中更合适,这个临界值最终决定于社会和经济等因素。我们也提供了一些关于使用这些建议的技术方面的普遍应该考虑到的地方。最后,在附表E1,列出了有关方法和风险因素的附加信息。7Gc帝国网站管理系统

 Fleischner 学会成人偶发肺结节管理指南(2017版)7Gc帝国网站管理系统

图片7Gc帝国网站管理系统

图片7Gc帝国网站管理系统

注:本指南不适用于肺癌筛查、免疫功能低下的患者或已经患有原发癌的患者。
*结节大小是指长轴和短轴的平均值,精确到毫米。
†要考虑到所有相关危险因素。

图片7Gc帝国网站管理系统

 

偶发肺结节的处理建议

一般建议
所有的成人胸部 CT 都应该连续薄层扫描(≤1.5mm,通常1.0mm)重建并存档,以便能准确显示特征和测量肺部小结节。强烈建议常规重建冠状位和矢状位。(1A 级:强烈推荐,高质量证据)。
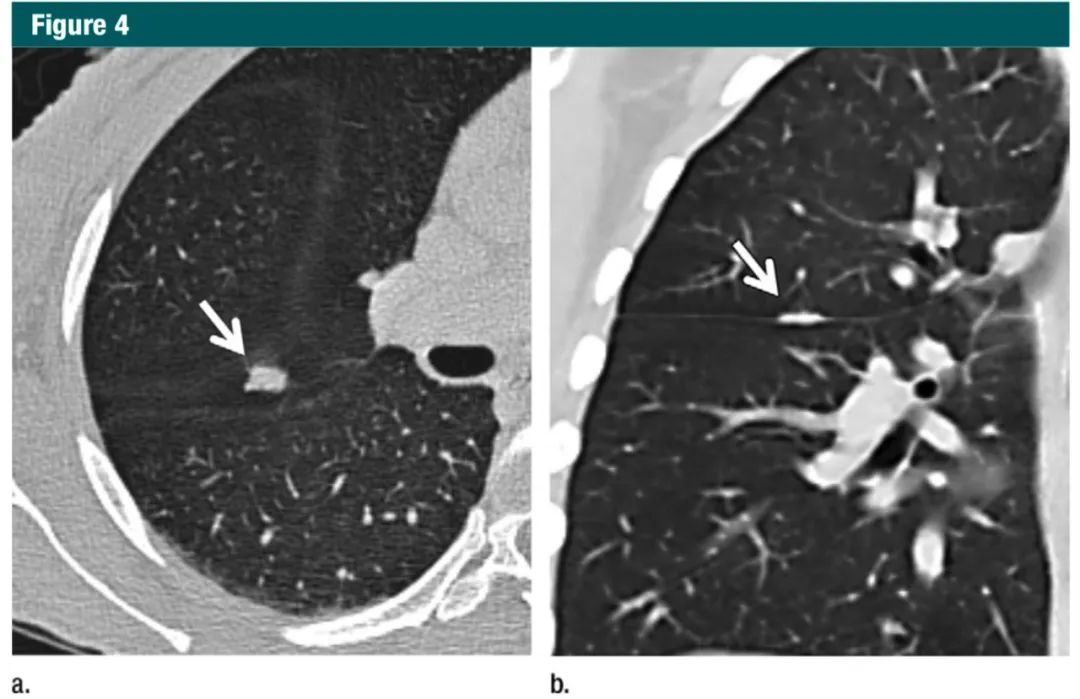
使用厚层观测病灶会增大平均体积,使小结节的特征显示不准确,对于部分实性形态和脂肪或钙化成分的结节,则会影响管理方案(图 1-3)。冠状位和矢状位序列能有助于区分结节和瘢痕(图 4)。这个建议并不局限于专门为结节评估或筛查肺癌而进行的检查,因为任何成人都有可能偶发肺结节。如果初次检查用的是厚层,为了对比,那么短期内还需要做薄层 CT 随访。

图片7Gc帝国网站管理系统

图片7Gc帝国网站管理系统

   图片7Gc帝国网站管理系统

图片
 
图1-4
7Gc帝国网站管理系统
 

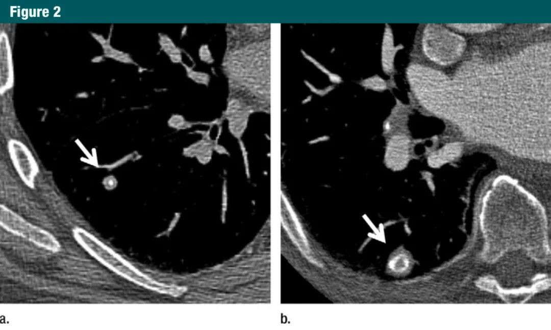
图1:(a)肺窗(b)纵隔窗:1mm层厚CT显示一个边界光滑的实性结节(箭头)、其内有脂肪和钙化成分,符合错构瘤。对于这种病灶,不建议进一步CT随访。7Gc帝国网站管理系统

图2 :a.CT图像显示一个边缘光滑的实性结节、中央钙化,为典型的已经愈合的肉芽肿,不建议进一步CT随访;b.CT图像显示边缘光滑的实性结节、内有层状钙化,为典型的已经愈合的肉芽肿,对于这种病灶,不建议进一步CT随访7Gc帝国网站管理系统

图3:a.5mm层厚CT显示左下叶一纯磨玻璃结节(箭头);b.同一部位和层面的1mm层厚CT显示,这是一个可疑的部分实性结节,其内有空泡(箭头)7Gc帝国网站管理系统

图4:a.横断面1mm层厚CT显示靠近水平裂的一个结节样致密影(箭头);b.CT冠状位重建显示该致密影是良性的线状疤痕或淋巴组织(箭头)7Gc帝国网站管理系统

为了随访肺结节进行的胸部CT检查应该采用低剂量技术(1A级:强烈推荐,高质量证据)。减少辐射剂量的技术非常重要,有此技术才能实现推荐的 CT 随访频率。本指南推荐根据个体的体质调节曝光参数,如一般体型患者(高 170cm,体重 70kg)扫描时,容积 CT 剂量指数不超过 3mGy,与ACR 推荐的每次CT筛查量一致。
降低剂量的技术很多,如剂量调整、选代重建算法均可以应用。每次随访使用相同的扫描技术非常重要,这样才能减少每次扫描之间的差异,层厚和重建滤波是最重要的参数。
手工测量的结节大小必须基于病灶长短轴直径的平均值,这两个数值必须在同层面的横断位、冠状位、或矢状位重建图像中获得。无论哪一个图像显示病灶的最大值,就须用该图像进行测量。应该使用电子卡尺或半自动测量法进行测量,数值记录为最接近的毫米整数(1C级:强烈推荐,低或非常低质量的证据)。
尽管几项筛查研究使用横断层面的结节最大径来评估结节的大小,而iELCAP则使用长短轴直径在肺窗测量。用于判断恶性的预测模型的研究结果是,平均直径优于横断层面最大径。因此,2005年起Fleisc hner学会就已推荐使用平均值,因为长短径的平均值能更准确的反映肿瘤的3D 容积。
对于大于 10mm 的结节或结节团,应该记录长径和短径,因为长径可用于决定肺癌分级中的T 因素,以及反映肿瘤治疗效果的指标。测量值应该四舍五入至毫米级别。比毫米准确度更精确的测量不被推荐,因为在实际测量中达不到这个准确度。因此,指南中阈值的大小(<6mm)是指大约 5mm 或更小。容积测量可以使用自动或半自动替代手工划线测量,较之于手工测量,它们具有更好的可重复性。容积测量以100和250mm3为临界值,而非用于线性测量的6和8mm临界值。然而容积测定实际上依赖特殊的应用软件,鉴于此,以容积测量来判断结节的生长时,应该使用同一版本的软件。更详尽的关于结节测量的推荐,包括所有的技术讨论和测量者相关因素,将在 Fleischner 协会的白皮书中提供,近期将出版。
之前的影像研究应该经常回顾,不论它们是什么时候得到的,以便判定结节生长或稳定(1A级:强烈推荐,高质量证据)。对比分析时,应包括能够获得的最早的CT资料以及尽可能多的近期资料。注意扫描技术的不同,如早期的厚层扫描,可能使比较的准确性降低,特别是对小结节来说。因此,常规薄层扫描重建和存档很重要。

实性结节的建议

建议 1:孤立实性非钙化结节
低危人群<6mm(5mm 或更小) 的实性结节,不需要常规随访(1C级,强烈推荐,低或非常低质量证据)。在低危人群的小结节中,缺乏直接证据表明有癌症的可能性。然而通过对列入肺癌筛查项目的对象进行观察,大量证据显示当前吸烟者或最近戒烟者处于肺癌风险。在美国,从不吸烟者或年轻患者的实性结节肺癌风险较低,与嗜烟者比,其相对风险约为0.15。考虑到高风险人群的<6mm 实性结节的平均患癌风险低于1%,因此有理由推断低风险人群的风险更低。这个建议与本指南的原则一致:患癌风险<1%的结节不做常规CT 随访
高危人群的<6mm 实性结节不需常规随访,但是当结节出现可疑形态和/或位于上叶,则需要在 12 个月时随访(2A级:弱推荐,高质量证据)。基于多项筛查得到的研究数据,本指南把实性结节常规随访的临界值提高到6mm,提示即使在高危人群中<6mm的结节、患肺癌的风险小于1%。另一方面,可疑形态和/或位于上叶,能使患癌风险增加至 1%-5%。因此,应根据患者伴随疾病及个人意愿,考虑在第12个月进行CT随访。而这种情况下,不推荐更早期的随访。经验表明,这样的小结节即使为恶性,在12个月内罕有进展;而短时间随访没有明显变化反而会给出错误的信息。此外,有些情况下可缩短随访时间,如初次检查由于技术上的原因导致检查结果质量不佳,为了将来比较而在近期再行检查;或者是患者比较紧张,急于短期随访来消除顾虑。
低危人群的 6-8mm 的孤立实性非钙化结节,具体依据大小、形态和患者意愿,推荐初次随访时间是 6-12 个月(1C级:强烈推荐,低或非常低质量证据)。在许多病例中,一次复查就足够了。如果形态可疑,或者稳定性不确定,那么6-12个月之后进行第二次随访。这类结节的恶性危险性很低,不是所有的实性结节都需要遵循传统的2年随访;2年随访的建议是基于早期厚层CT扫描研究或胸片而得出,这个建议是在认识到实性和半实性结节不同这一重要发现之前提出的。
虽然有报道称一些实性癌症生长非常缓慢,倍增时间超过 700 天,2 年时间也不能明确生长状态,但是这些报道同样基于厚层 CT 图像的分析和在硬拷贝图像上测量。据近年来的研究结果,确信结节稳定2年,诊断为良性是可靠的;针对不同的观察对象,更短或更长的随访是合适的,具体时间要依据危险因子、结节形态和测量的准确性。因此,对边缘清楚的具有良性形态表现的实性结节,如果能精确测量并的确稳定者,本指南推荐在12-18个月之间作选择性的非连续的随访。对于亚实性结节,建议更长期的随访。
对于高危人群的 6-8mm 的孤立实性非钙化结节,推荐初次随访时间是 6-12 个月,再次随访是在 18-24 个月(1B级:强烈推荐,中等质量证据)。这个建议是基于:筛查试验中(主要是PanCan, BCCA, and NELSON 试验),这个范围大小的结节的预计平均恶性风险大概是 0.5%-2.0%。同样的,精确的间隔可根据个体危险因子和患者意愿变动。准确的随访间隔应该根据个体风险因素和个人意愿来进行调整。在结节稳定性一直无法确定的患者中,需要进一步的监测。然而,两次随访应该能充分排除大部分结节的生长情况。
对于>8mm 的孤立实性非钙化结节,考虑3 个月后随访,作出诊断需要结合 PET 和 CT,组织取样,或选择上述方法的组合。需适当的依据大小、形态、伴随疾病和别的因素作出选择哪种方法(1A级:强烈推荐,高质量证据)。虽然 8mm 的实性结节的平均患癌风险仅仅为约3%,具体依赖于形态和位置,但在某些特定患者中,风险可以明显高于该百分比。当结节增大、它们的形态变得更加清楚,对其处理策略依据结节的表现较大小更为重要(图5-7)。因此,本指南包括了有创和无创的处理选择。

图片7Gc帝国网站管理系统

图片7Gc帝国网站管理系统

图片
 
图5-7

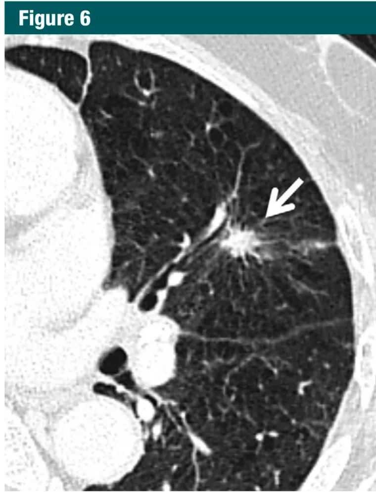
图5:CT显示胸膜下一三角形的实性结节(箭头),并有索条影伸向胸膜面,典型的肺内淋巴结。对于这种结节,不建议CT随访7Gc帝国网站管理系统

图6:横断面扫描1mmCT层面,左上肺显示一可疑的毛刺状实性结节(箭头);术后病理为浸润性腺癌7Gc帝国网站管理系统

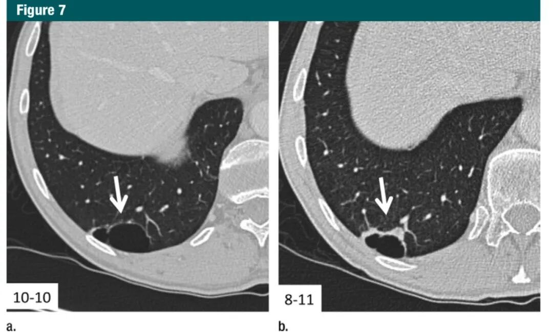
图7:横断面1mmCT层面,相隔10个月前后对比,右下肺囊状病灶囊壁进行性增厚,高度怀疑恶性(箭头)。术后病理为浸润性腺癌7Gc帝国网站管理系统

实性结节的CT 值有助于判断是否有钙化或脂肪成分,这两种成分对诊断有重要的提示。结节测量应该在非边缘增强滤波图像上进行,这点至关重要,边缘增强滤波图像一般用于肺和骨成像。在锐化后的图像上测量可能错误地给出高 CT 值;其它因素,如射束硬化,能影响测量的准确性。所有密度测量均应在能获得的最薄的非锐化(以软组织窗为典型)图像系列上完成;影像医师应该使用小ROI(不是单个像素值),而且应该知道不同的扫描设备、滤波器、体位会得到大量变异,即使经过常规校验后。
建议 2:多发实性非钙化结节
对于<6mm 的多发实性非钙化结节,推荐不需常规随访(2B级:弱推荐,中度质量证据)。这个大小的小结节常在日常的临床工作中碰到,在起源上常是良性。它们常常要么是感染治愈后的肉芽肿(尤其见于好发特定真菌感染的部位),要么是肺内淋巴结。在高危人群中,可以考虑 12 个月后随访检查。
应该注意到:这个建议的前提是没有已知或怀疑有能发生肺转移的原发肿瘤(可能转移到肺的原发肿瘤)。在有感染或免疫功能不全的患者中,应该考虑到活动性感染,并且短期随访是合适的。
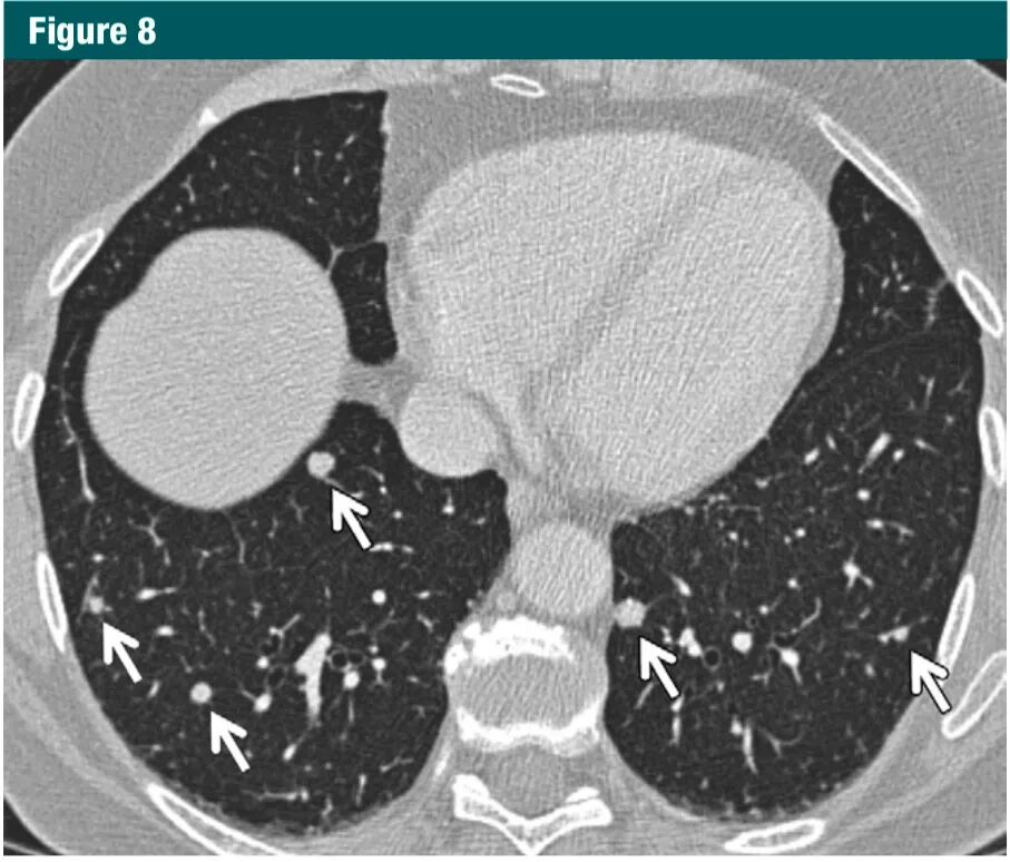
对于多发实性非钙化结节且至少有一个结节≥6mm,建议大约 3-6 个月随访,之后根据风险评估可选择二次随访,在 18-24 个月(1B级:强烈推荐,中等质量证据)。如果更大的结节或更可疑的结节存在,应采用针对孤立结节的指南进行处理,如前述。在这种情形下, 转移瘤仍是首要考虑的,特别是结节分布呈外周性和/或下叶为主,且结节大小不等(图8)。在大多数病例中,转移灶将在 3 个月内有可见的生长。NELSON研究中一项有关多结节的分析表明,随着结节总数从 1 增加到 4 个时,原发癌的风险增高;但 5 个或更多结节的风险反而会降低,因为大多是之前肉芽肿感染导致的。
优势结节应作为选择处理指南的重点。然而,其余结节也应该在随访中监测。在这句话中,优势一词是指最可疑的结节,不一定是最大的那个。
图片

图8.CT图像显示大小不等的多发实性结节,以下野为主(箭头)。甲状腺癌肺转移7Gc帝国网站管理系统

孤立亚实性肺结节

建议 3:孤立纯磨玻璃结节
对于<6mm 的纯磨玻璃结节,(如5mm 和更小的),不推荐常规随访(1B级:强烈建议,中等质量证据)。因为<6mm 的磨玻璃结节非常多见,我们不建议对每个有磨玻璃结节的患者进行随访检查。然而,这并不妨碍特定患者的随访,这些患者有亚实性结节(包括纯磨玻璃结节或部分实性结节),大小接近 6mm,形态可疑或有别的危险因素。本条目已经把以前的推荐意见作出一些修改,建议对处于高风险的特殊病例进行2-4年的随访。数据来自亚洲人群,提示多达 10%的这些结节可能增大,近接近1%的结节在多年之后可能进展为腺癌。然而,在所有患者中恶变的概率<1%,这是采用保守方法管理大多数这类典型非浸润性病灶的有力证据。
对于≥6mm 的纯磨玻璃结节,建议6-12 个月随访,之后每两年一次直到 5 年(1B级:强烈推荐,中等质量证据)。之前的指南建议初次 3 个月随访,已经改成 6-12 个月,因为更早的随访对这些典型的惰性病灶的结果没有太大影响。
目前,大量文献研究结果显示≥6mm的纯磨玻璃结节随访5年是安全的,通常经过3-4年即可确诊该结节是否增大,仅有少数病例发展诊断为浸润性癌(图9,10)。
图片

 7Gc帝国网站管理系统

图片

 7Gc帝国网站管理系统

 7Gc帝国网站管理系统

图9:横断位1mm CT层面,含右下叶。a:显示一个边缘清晰的6mm磨玻璃结节(箭头);b:在图a之后超过2年后随访,显示病灶稍增大(箭头),这个发现因邻近血管结构的轻微改变得出来的。这种轻微改变仅能通过1mm连续薄层扫描发现,符合原位腺癌或微浸润腺癌,推荐继续每年随访。7Gc帝国网站管理系统

图10:a.右中肺1mmCT横断面扫描,显示一个10mm纯磨玻璃结节(箭头);b:在同一CT层面,15个月后随访,结节的密度有非常轻微的增高;c:在同一CT层面,10个月后二次随访,显示结节进展为更大的部分实性结节;术后病理为IA期浸润性腺癌(鳞屑样生长为主型)7Gc帝国网站管理系统

 7Gc帝国网站管理系统

Yankelevitz等的研究结果进一步支持对这类病灶进行保守观察,该研究进行了一个大样本的筛查,57496例基线CT中发现2392(4.2%)个纯磨玻璃结节(非实性),73个病灶最后确诊为腺癌。所有病例的中位治疗时间为19月,其中19例恶性结节实性部分生长的中位时间为25月。所有的结节都是 1 期病变,总的生存率是100%。
虽然这些报道有力证明了对纯磨玻璃结节实施保守策略,但是仍然建议在 6 个月进行初次随访。特别是在对有恶变危险性特点的结节。这些危险性包括病灶较大,特别是直径大于 10mm,以及空泡征。
需特别注意有些患者对等待12月才随访CT感到不安,这种情况下,可以提前随访,因为这类病灶可能会被吸收或没有变化,能使患者得到安慰(图11)。再次强调,对独立个体来说,这些指南并不排斥更短或更长的随访,只要认为临床上合适。

图片7Gc帝国网站管理系统

图11:a. 横断面1mmCT层面,显示左肺上叶一个10mm磨玻璃结节(箭头);b.4个月后复查,图像显示未经治疗但病灶消失,符合良性病因,如局部感染
建议 4:孤立性部分实性肺结节
对于<6mm 的孤立性部分实性结节,不建议常规随访(1C级:强烈推荐,低或十分低质量的证据)。临床上,这么小的结节难以可靠地分辨结节内不连续的实性成分,且这类结节的临床处理与同等大小的纯磨玻璃结节一样(参考推荐意见3,如前述)。
对于≥6mm 的孤立性部分实性结节,实性成分小于 6mm,建议随访时间是 3-6 个月,之后每年随访,最少 5 年。虽然部分实性结节的恶性可能性更高,但是实性成分<6mm 的结节常常表明是原位腺癌或微浸润性腺癌,而不是浸润性腺癌。另外,部分实性结节可能是短暂感染导致的,短期随访可能消失(图 12)。因此,建议最少随访一次(3-6 个月),以确定结节持续存在还是已经消失。对于持续存在的结节,建议每年随访,持续 5 年,以评估实性成分的稳定性。随访的终点定为5年似乎有点武断,但是对于部分实性结节的大小、CT 值 5 年后明确保持稳定的患者来说,这个时间(5 年)应该是合理的。

图片7Gc帝国网站管理系统

图12:a.横断位1mmCT层面,显示右肺上叶一个6mm的部分实性结节,实性成分<4mm(箭头);b.6个月后随访图像显示病灶完全消失,符合良性原因7Gc帝国网站管理系统

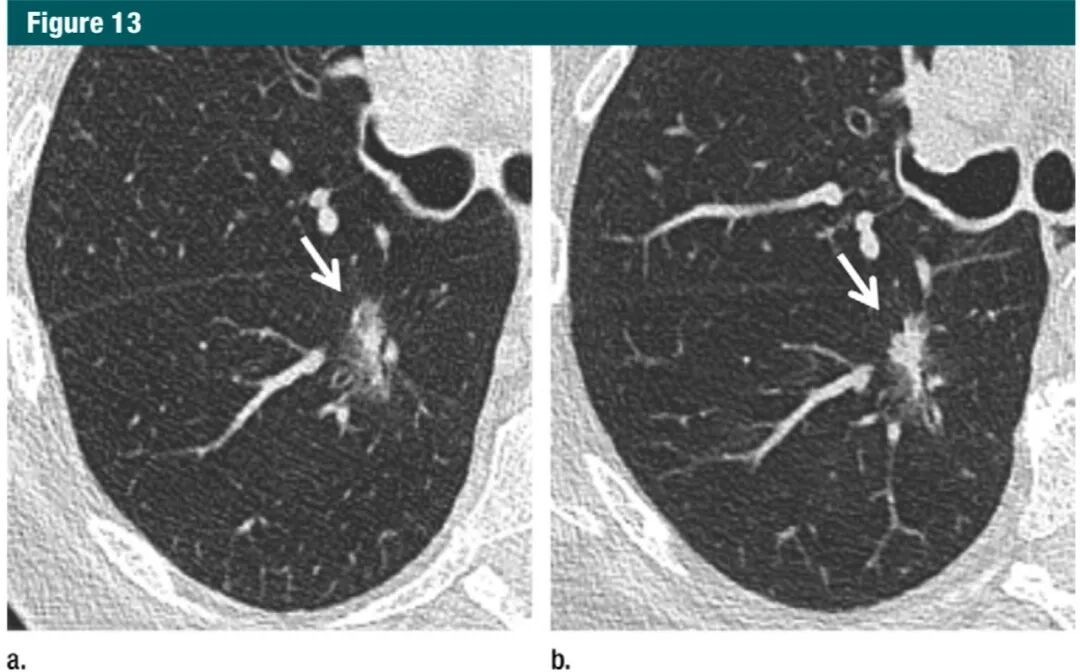
对于孤立性部分实性结节,实性成分≥6mm,应该考虑短期随访(3-6个月),以评估结节的是否仍存在。对于形态特别可疑的结节(如分叶、囊性成分)、实性成分增多、或者实性成分>8mm,建议 PET/CT,活检,或切除(1B级:强烈建议,中等质量证据)。大量研究证据显示,实性成分越多,浸润性和转移的风险越大。实性成分>5mm 很大可能性与局部侵袭有关。这是新修订的腺癌 T 分期中的临界值(图 13)。然而,短期的部分实性结节中也可以出现大量实性成分。

图片7Gc帝国网站管理系统

图13:a.横断位1mmCT,显示右肺下叶背段一个高度可疑的部分实性结节(病灶大,磨玻璃样和实性形态);b.3个月后随访显示实性部分明显增多;术后病理为浸润性腺癌。7Gc帝国网站管理系统

建议 5:多发亚实性结节
在多发亚实性结节<6mm 的患者中,必须考虑感染性病因。如果 3-6 个月初次复查时结节持续存在,应考虑大约在2年和4年随访,以确定稳定性,具体时间由临床情况确定(1C级)。对于多发亚实性结节,包括<6mm纯磨玻璃结节和部分实性形态,当不能确诊且鉴别诊断包含非肿瘤原因的,适合短期(3-6 个月)随访。在这些病例中,如果这个时段内确定稳定性,建议 2 和 4 年随访,以确定病灶有无增大,以排除非典型腺瘤性增生或原位腺癌。
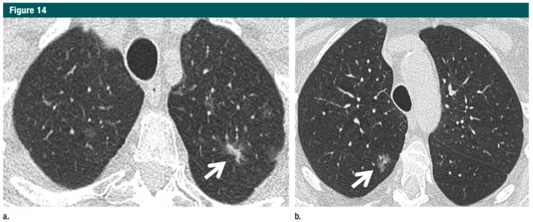
在多发亚实性结节病灶中,且至少有一个≥6mm 的结节,处理方案应该基于最可疑的结节而定。在这些病例中,要考虑到感染因素。如果 3-6 个月后仍然存在,要考虑多原发性腺癌(级别 1C)。多发亚实性结节,且≥6mm的患者,应以最可疑病灶(未必是最大的病灶)来决定处理方案(图14)。但是,涉及主要结节的介入和手术的决定必须谨慎,因为其他存在的结节有潜在增大和需要治疗的可能。同时,多个可疑结节与孤立性结节相比,总体的癌变可能性更大。

图片7Gc帝国网站管理系统

图14:a.横断位1mmCT,上叶层面,显示两肺多发大小不一的亚实性结节,包括至少一个位于左上肺的高度可疑部分实性结节(结节大,磨玻璃样和实性形态),首次随访以3-6月为宜;b.同一次检查显示右肺上另一个高度可疑的结节(分叶状、10mm左右磨玻璃样),这个结节同样需随访;这些结节最符合多原发性腺癌。7Gc帝国网站管理系统

 
参考文献

MacMahon H, Naidich DP, Goo JM, et al. Guidelines for Management of Incidental Pulmonary Nodules Detected on CT Images: From the Fleischner Society 2017. Radiology. 2017;284(1):228-243. doi:10.1148/radiol.20171616597Gc帝国网站管理系统

  • 科普答疑
  • 肺结节手术
  • 磨玻璃结节
  • CT

其他热门专题

  • 指南共识
  • CT
  • 肺结节
  • 影像学检查

其他热门专题

  • 影像学检查
  • 肺结节
  • CT报告
  • 科普答疑

其他热门专题

  • 治疗中护理
  • 居家护理
  • 保健品
  • 抗癌饮食

其他肺癌护理专题