肺癌首页

初识肺癌

诊断筛查

肺癌特药

肺癌治疗

寻医问诊

肺癌护理

肺癌并发症

肺癌复发转移

预防肺癌

首页 > 癌症分类 > 肺癌 > 寻医问诊

301医院肿瘤医学部成功完成电磁导航气管镜肺活检手术

来源:301医院 2022-05-14

   近日,解放军总医院肿瘤医学部在第五医学中心顺利完成该中心首例电磁导航气管镜肺活检手术。PW9帝国网站管理系统

  该患者为IV期EGFR敏感突变肺腺癌,口服靶向药物治疗5年,此次入院复查发现左上肺尖后段病变较前明显增大,考虑病变进展,为明确基因状态寻找进一步靶向治疗机会,需要开展二次活检PW9帝国网站管理系统

  由于病变位于肺外周,贴近左肺上、下叶间裂,常规支气管镜不能取到病变,而经皮穿刺气胸风险大。经肿瘤医学部胡毅主任、放射诊断科蔡剑鸣主任医师、肿瘤内科八病区马俊勋副主任医师讨论后,决定为该患者施行电磁导航精准引导下的气管镜活检术

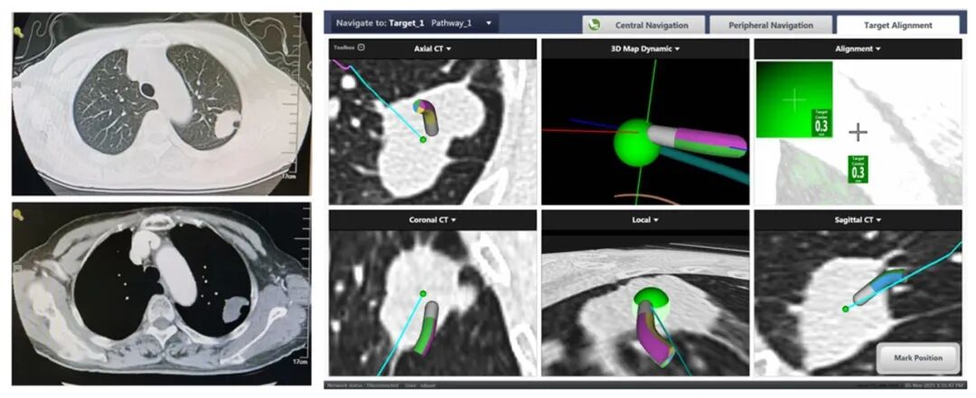
图片PW9帝国网站管理系统

  电磁导航像是肺部的GPS定位系统,可以精确引导活检或治疗工具经常规支气管镜管道到达肺部各个部位病变,主要用于肺部结节的诊断及治疗,是呼吸内镜介入领域的前沿热点。

  11月5日,在第五医学中心南院区手术室,麻醉科于颖群主任团队为患者进行全身麻醉后,医学部胡毅主任与马俊勋副主任医师共同为患者实施了电磁导航支气管镜肺活检,根据导航规划的手术路径,定位导管快速到达病灶所在位置,经环扫EBUS确认,于病灶处多次取活检。现场快速细胞学(ROSE)确认取到恶性细胞,结束检查。手术操作耗时30分钟,术后患者无任何不适。PW9帝国网站管理系统

  此例电磁导航气管镜肺活检术的成功实施,是肿瘤医学部深入推进医学部建设,促进医疗同质化的又一成果,也标志着第五医学中心在肺结节的精准介入诊疗方面进入新的阶段。
  在胡毅主任的带领下,肿瘤医学部呼吸内镜介入诊疗技术发展迅速,现处于国内领先水平。“经支气管或经皮一站式微波消融在肺结节治疗中的安全性及有效性研究”为全国首创,于2021年获得国家卫健委肿瘤微创诊疗专项课题资助,该课题的顺利开展将使解放军总医院呼吸内镜介入治疗平台更加完善,进而造福更多患者。

专业擅长 肺癌的靶向治疗、免疫治疗等全程、综合治疗策略制定;神经内分泌癌治疗有丰富临床经验;擅长疑难肿瘤的个体化诊治

专业擅长 肺癌、乳腺癌、消化道肿瘤的综合治疗及靶向治疗。内科常见病、内科急诊、急危重症等。

  • 马俊勋
  • 电磁导航支气管镜
  • 胡毅
  • 肺结节手术

其他热门专题

  • 肺结节手术
  • 磨玻璃结节
  • 胸腔镜手术
  • 南京市胸科医院

其他热门专题

  • 肺结节
  • 磨玻璃结节
  • 胸腔镜手术
  • 南京市胸科医院

其他热门专题

  • 肺结节
  • 肺结节手术
  • 微波消融手术
  • 301医院

其他热门专题

  • 治疗中护理
  • 居家护理
  • 保健品
  • 抗癌饮食

其他肺癌护理专题

  • 影像学检查
  • 病理活检
  • 肺结节
  • 基因检测

其他诊断筛查专题