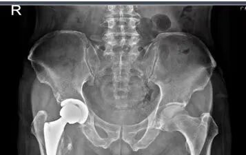
近日,76岁的梁伯(化名)在坐了四个多月轮椅之后,在广州医科大学附属第一医院肿瘤医学中心-骨肿瘤中心卢伟杰主任团队的不懈努力下,终于再次站了起来,而且可以独立行走,这对于一位经历了肺癌、骨转移合并髋关节骨折、且具有严重基础疾病的老人来说,是一件令人喜出望外的事情。 九年前,梁伯检查出肺癌并作了根治手术,五年前肿瘤转移至脸部,幸好得到靶向药物治疗,症状得以缓解,原本以为熬过了最艰难的阶段,没想到后面又遇到了更大的难关。 今年初,梁伯感觉到右髋部疼痛,而且逐渐加重,甚至无法站立行走,在附近医院检查后,诊断是髋部骨折需要换关节,然而,在CT检查中医生发现他的胸部有阴影,怀疑是肺结核,建议他到专科医院先把肺结核治好再考虑手术。 结果,在专科医院经过十多天的住院检查,却并未发现肺结核或者感染等问题,反而是髋部疼痛越来越严重,已经发展到需要依靠轮椅出行。由于梁伯的身体状况不佳,辗转几家医院都不敢贸然给他做手术,建议他们到经验更丰富的医院寻求治疗。 在朋友的推荐下,梁伯来到广州医科大学附属第一医院卢伟杰主任门诊,经过查体、询问病史、详细查看了各项检查报告之后,表示尽管病情复杂,但还是有手术治疗的希望,并将梁伯收入关节外科病区。 入院之后,完善了一系列相关检查后,卢伟杰主任发现,梁伯右侧股骨头颈部已经破坏,周围软组织有肿块,确诊为转移瘤合并右侧股骨颈病理性骨折,要缓解疼痛和恢复关节功能必须行全髋关节置换手术。 骨转移是恶性肿瘤进展的晚期阶段,总体发生率高达32.5%,是原发恶性骨肿瘤的35-40倍,其中四肢骨转移肿瘤以乳腺癌、肺癌、肾癌、前列腺癌较常见,由其引起的病理性骨折是导致患者死亡的重要相关事件。 术前髋关节X线片 但是,梁伯有高血压Ⅲ级、2型糖尿病等高危基础性疾病,这些无疑增加了手术的风险,卢伟杰主任充分了解患者病情后,邀请心血管内科、内分泌科、麻醉手术科等多学科专家进行会诊,讨论制定了个体化的综合手术方案。 在各学科的通力协作下,手术进展非常顺利,“我们在围手术期就做好了下肢静脉血栓的预防以及快速康复的各项措施,保证患者在术后能够实现快速康复。”卢伟杰主任介绍,患者肺癌根治术后出现转移,靶向药物治疗有效,但对于股骨颈转移瘤导致的病理性骨折,选择人工全髋关节置换术是目前最好的方法,可以切除转移肿瘤、缓解疼痛、快速恢复髋关节负重、活动功能,大大改善了患者的生活质量。 术后第二天,梁伯便可以自行下地站立、行走。经病理检测结果显示为肺腺癌骨转移,幸好得到广州医科大学附属第一医院肿瘤医学中心-骨肿瘤中心多学科专家团队的有效治疗,让他再一次战胜了癌症。 卢伟杰主任说:“对于四肢转移瘤患者的治疗,医生一要评估患者生存期而给予相应的治疗方法,二要评估病理性骨折的风险、对濒临骨折患者进行手术干预,三要选择合适的手术时机和综合规范化治疗方法,四要注意防范外科治疗并发症。” 卢伟杰主任提醒,早期发现恶性肿瘤骨转移对选择治疗方法和判断预后都具有十分重要的意义,如果有恶性肿瘤病史患者出现骨骼疼痛非常剧烈,甚至影响到休息和睡眠,应该及时就医检查。 术后髋关节X线片 术后一个月后,梁伯再次到门诊复查,通过影像学检查,手术部位恢复情况良好,髋部也没有疼痛,关节功能恢复良好,不需倚靠轮椅、拐杖行走。 广州医科大学附属第一医院肿瘤医学中心-骨肿瘤中心主任卢伟杰主任提醒:“骨转移癌的早发现、早诊断,并行针对性治疗对于缓解疼痛,恢复功能,提高生活质量具有非常重要的意义。” 指导专家 卢伟杰 广州医科大学附属第一医院 肿瘤医学中心-骨肿瘤中心主任 医学博士,主任医师 外科主任,外科教研室主任、骨科主任、关节外科主任、《中华关节外科杂志(电子版)》编辑部主任 专业方向: 关节外科(尤其擅长人工髋、膝关节的置换和翻修手术)、四肢关节骨折、骨病和骨肿瘤、骨质疏松的外科治疗。主治:骨关节炎、先天性髋关节脱位、髋关节发育不良、股骨头缺血性坏死、类风湿性关节炎、先天性髋内翻、臀肌挛缩症、弹响髋、关节结核和化脓性关节炎、色素沉着绒毛结节性滑膜炎、关节骨质增生、强直性脊椎炎累及髋膝关节、四肢和关节的骨折与骨肿瘤、肿瘤样病变、骨质疏松症等。 出诊时间: 荔湾区.大坦沙院区:周一下午 越秀区.沿江院区:周一上午,周三下午 李之琛 广州医科大学附属第一医院 肿瘤医学中心-骨肿瘤中心 关节外科 副主任医师 广东省医学会骨科学分会第十届青年委员,广东省医师协会运动医学分会第二届委员会委员,广东省健康管理学会骨科学分会副秘书长等。 专业方向: 擅长髋膝关节置换术,膝、肩、踝关节镜手术,运动损伤如膝十字韧带损伤、半月板损伤、肩袖损伤、踝关节扭伤等的微创治疗。 出诊时间: 荔湾区.大坦沙院区:周三下午 越秀区.沿江院区:周一上午,周三上午 郑仕聪 广州医科大学附属第一医院 肿瘤医学中心-骨肿瘤中心 关节外科 医师 专业方向: 擅长髋膝骨性关节炎、膝关节半月板损伤、膝关节交叉韧带损伤、肩周炎、肩袖损伤等骨科疾病的诊治。



































































































