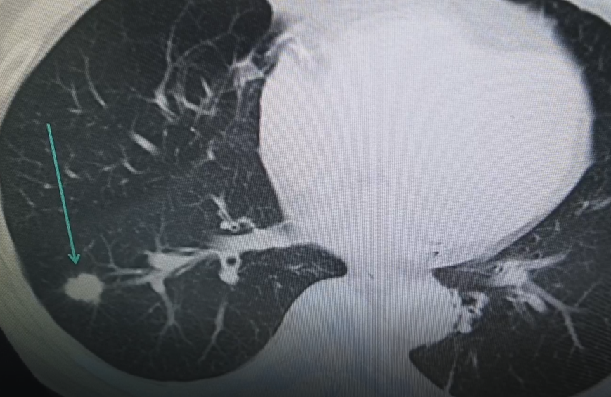
这两天有一条让人心痛的消息,音乐人赵英俊先生因病去世,享年43岁。赵英俊先生是因癌症去世,据说大半年前查出来时,已经是晚期了。 中青年人患癌,死亡率比老年人要高得多。因为人越年轻代谢越活跃,这恰好是肿瘤最喜欢的。这其中肺癌的占比名列前茅。我们现在面对的现实是,目前大约3/4的患者,在确诊肺癌的时候就已经处于中晚期了。并且,我国目前的肺癌患者5年内生存率也仅仅只有15%。 怎么办?最好的办法,就是在肺癌的“婴儿时期”就把它们消灭,也就是我们常听说的“肺结节”时期,早发现早治疗。 首都医科大学附属北京胸科医院肿瘤内科副主任医师鲁葆华医生介绍说,其实大多数肺结节不是癌症,它们是安全的。但是毕竟还是有一定比例的肺结节是恶性的。那些癌症早期的肺结节长什么样?有什么共通的特点? 鲁葆华医生整理了几个术后病理证实是肺癌的肺结节病例。值得注意的是,这几位患者都不是因为有呼吸道症状就诊的。一部分患者是常规体检,另一部分是因为新冠期间有一些发热不适症状,就诊时常规要求做胸部CT筛查……总之,他们都是因为一些与肺部不相关的原因查出来的肺结节,并且都被证实是肺癌的病例。 第一个病例。这个病灶非常小,是只有8毫米的微小结节。它密度比较低,周边也没有其他的病灶,只有一个单发的微小结节,在影像上没有很明确的恶性特征,相对来说可以继续观察随诊,不用立即采取治疗手段。 第二个案例。这个肺结节相对来说很大,接近三个厘米。患者刚发现它的时候,它就是增大的磨玻璃密度的病变,周边不是很清晰,中间能看到一个穿行的支气管或者血管,但并没有把它本身密度掩盖掉。从病变浸润来看,这个结节高度怀疑是肿瘤病变,需要提高警惕性。 第三个病例。这个结节接近三厘米,就不是微小结节了,属于结节性病变。这个结节有一些比较典型的肿瘤特征,包括毛刺、分叶,因此这个病例不能给医生等待的时间,需要立即作出判断。 第四个病例。这个结节相对较小,它提示了另一个肿瘤的特征:胸膜牵拉。病变和胸膜之间其实有一个牵拉的征,而且这个结节已经超过了两厘米,虽然密度不是很实,但也高度怀疑是肿瘤。这个病灶也没有留给医生观察时间,需要立刻做出判断。 鲁葆华医生说,目前我国肺癌患者5年内生存率比较低,只有15%,究其原因,还是因为没有得到早期的确诊和早期的治疗。比如鲁医生讲解的前两个病例,发现相对较早,切除后患者的肺癌基本上治愈了。但后两位患者的情况就相对不是那么好了,需要术后分期观察具体情况。 也就是说,针对肺癌的诊疗,早筛早诊是提高肺癌生存率的最有效的办法,尤其是对于肺癌高危人群进行早筛早诊,可以使肺癌的病死率明显下降。当然,我们提到是“病死率”,因为经过早筛早诊,发病率反倒不会下降,因为一些很早期的肺癌被医生及时抓住了,而被抓住的这部分肺癌,就变成一个可以治愈的疾病。 如果我们把精力和财力用在早筛早诊上,把“不治之症”变为“可治之症”,收效会高得多。



































































































