身体倍棒、吃嘛嘛香的一个人,体检结果一出:肺结节!第一反应是什么?是不是眼前“咣当”一黑?! 随着大家对健康关注度的提升,以及医学检查手段的不断发展,“肺结节”诊断越来越多地出现在大众视野中。那么,肺结节究竟是什么?是不是就约等于肺癌?还有其他哪些原因吗?一定要挨“温柔一刀”吗? 壮士且慢! 今天我就要告诉大家(敲黑板!划重点!): 大部分体检发现的肺结节很可能是感染所致(? ˙o˙)? 而有8种“感染性”肺结节,经常被误认为“癌性”肺结节(?? д ??)!!! 如果真的是感染,也就意味着基本上不用开刀o(* ̄▽ ̄*)ブ 下面,就让我们用真实案例,告诉你这几年中山医院感染病科确诊的8种感染性肺结节,其中不乏被误认为是“癌性肺结节”、本来准备接受剖胸切肺手术的患者。
隐球菌
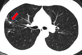
伯伯退休之后,生活特别滋润:每天喂养鸽子,逛逛公园,感觉人生巅峰也不过如此。最近他有点咳嗽,虽然不严重,但就是一直不好转,孝顺的儿子非要他去检查下,王伯伯直到拿到报告前还嘟囔他小题大做,直到报告上“左下肺结节”这五个字吓坏了他。

辗转多次就医,儿子带着王伯伯来到了中山医院感染病科,医生仔细看了片子,又详细问了王伯伯的日常生活,当听说他家里有几只宝贝鸽子的时候,医生的眼睛biu~地亮了:估计就是这货惹的!医生安排了CT引导下肺穿刺,第二天病理检查结果就出来了:考虑隐球菌感染。
医生介绍说,隐球菌是一种真菌,我国的隐球菌感染多与鸽子、鸽粪有关,药物疗效大多满意,但是继续养鸽子可能还会感染其他人。无奈之下,王伯伯遣散了“鸽子军团”,经过几个月的抗真菌,肺结节完全吸收了,一家人终于松了口气。王伯伯说,其实电视里看看鸽子也挺好,距离产生美。
曲霉菌
老冯咯血是老毛病了,不过都是血丝为主,也不常有。仗着身体底子好,老冯从来没有放在心上。可最近感觉出血明显变多了,有时候甚至是一口鲜血。跟老伙伴们一起评论中美局势的时候,拿张卫生纸咳口血真是非常坍台。不服输的老冯终于来到了医院。胸部CT显示左下肺竟然有一个结节!这下老冯可不淡定了,立马接受了医生做支气管镜检查的建议。

很快结果出来了,肺结节的病理检查提示炎症,微生物学检查发现了烟曲霉菌,原来这就是老冯变身“林妹妹”的原因。医生说,老冯就是肺里发霉了,这种曲霉菌会侵犯血管,所以老冯会咯血,如果任其发展,肺的结构会毁损,甚至出现大量咯血,那个时候再治疗就真来不及了、就真的是倒“霉”了。

医生给老冯开具了针对曲霉的抗真菌药“伏立康唑”,价格比较贵但有特效,用药之后的老冯咯血明显好转,几个月后复查CT,肺里的结节基本上消失了。如今老冯又可以继续和老伙伴们指点江山、畅谈国际形势了。
结核分枝杆菌
刚过而立之年的林先生深受肺结节的困扰。原本没什么不舒服的他,体检的胸部CT发现了左下肺结节,还同时有个怪吓人的“纵隔淋巴结肿大”。林先生来到感染病科,做了支气管镜检查,经过一番惊吓一番折腾,医生下了明确诊断:结核分枝杆菌感染,也就是“肺结核”。

对于这个诊断,林先生是抗拒的つ﹏⊂:肺结核岂不就是肺痨?不是早就被消灭了吗?难道我穿越到鲁迅小说里的民国时代了吗?我家里人和同事们这下可遭殃了!医生安慰他说,结核病千百年阴魂不散,即使在现代文明中也还远远没到消灭的程度,而肺结核正是结核病的最常见发病形式。有的病人有咳嗽咳痰甚至咯血症状,痰里有结核菌,这种肺结核有传染性(也就是开放性肺结核),必须到结核病定点医院诊治;而林先生这种肺结核基本没有传染性,早期发现、及时治疗,一起生活工作的家人和同事也无需担心。
抗结核治疗持续了半年多,吃药复查虽然麻烦,但是眼看着肺结节慢慢变小,林先生也收获了打怪升级的快乐,成功停药。1年后,林先生的肺结节终于全部吸收,打怪结束,喜大普奔!
非结核分枝杆菌
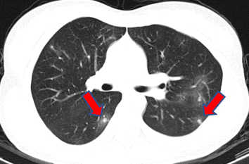
赵阿姨是一名普通的家庭妇女,年过半百,只求身体健康,能帮儿女带带孙辈。可是今年她莫名其妙开始咳嗽咳痰,一直不好,最近3个月还时不时发低烧。赵阿姨郁郁寡欢,儿女们急在心里,赶紧预约了医生。胸部CT吓人一跳:两肺有多发结节,赵阿姨乖乖吃了半个月的左氧氟沙星之后复查,没想到结节不仅没消失,反而逐渐增多了,一家人的心都悬了起来。

医生安排赵阿姨做支气管镜检查,病理初步排除了肿瘤的可能;又进一步做了国际上最先进的“微生物基因检测”(NGS),确诊赵阿姨为胞内分枝杆菌感染。医生说,这个菌是结核菌的兄弟、是“非结核分枝杆菌”大家族中的一员,没有传染性;治疗时间虽然比较长,但是可以防止肺功能变差,减少对寿命的影响。这下结节病因明确了,赵阿姨心中一块石头落了地。经过细致的治疗,赵阿姨现症状明显好转,重新投入到了带孙辈的“甜蜜的负担”之中。
肺吸虫
家住江苏的王小姐是个上班族,但平淡的生活却被一阵阵剧烈的咳嗽打断了。干咳到胸痛的王小姐感觉一分钟也忍不了了,半夜去急诊拍了胸部CT,医生看到双肺多发结节影,说不能除外肺癌。王小姐吓得心都提到了嗓子眼,赶紧到感染病科门诊看病。

医生看了王小姐病史,发现除了肺结节之外,她的血常规嗜酸性粒细胞更是高到飞起,详细一问,原来王小姐一直喜欢吃醉蟹,鲜嫩的口感让她欲罢不能。医生说,没有煮熟的蟹里很可能有寄生虫,换句话说,你在吃生螃蟹的时候,蟹里的虫也会吃你。
在医生建议下,王小姐抽血检查了寄生虫抗体,发现肺吸虫抗体阳性,于是明确诊断:肺吸虫感染。口服药驱虫治疗后,王小姐血常规逐渐恢复正常,胸部CT的结节也吸收了。至此,王小姐长吁一口气,马上在家族群里@所有人:以后都别吃这种没烧熟的东西了。
粗球孢子菌
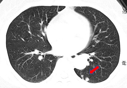
杨阿姨对健康非常重视,每年都体检。但今年的体检有点不妙:胸部CT发现左上肺有一个结节,而且经过随访还有增大的趋势。杨阿姨寝食难安,干脆一步到位去做了PET/CT,看到报告上说的“左肺上叶恶性肿瘤伴xxxx淋巴结转移和xxxx骨转移可能”,她五雷轰顶。但是感染病科医生说,没有病理确诊,还不能说一定是肿瘤,看片子还有良性疾病的可能。杨阿姨仿佛抓住了救命稻草,赶紧住院检查。
杨阿姨做了肺穿刺活检,谢天谢地病理报告上说考虑炎症,而微生物基因检测竟检出了她听也没听说过的“粗球孢子菌”。
原来,粗球孢子菌病是一种美洲大陆的地方性真菌病,又称为山谷热、加利福尼亚热,主要在美国西南部、墨西哥北部流行,由吸入致病性孢子引起,这种菌一般在地下安静呆着,与人类互不侵犯,但是随着采矿等挖掘活动,就从地下释放到人们的生活环境当中。而医生之所以看到赵阿姨的胶片说还有良性的希望,就是问到了杨阿姨发病前曾经去美国西部旅游过,有可疑的接触史。经过氟康唑抗真菌治疗,赵阿姨左肺结节明显吸收,一家人总算松了口气,悬在头顶的“生死状”终于落了下来。
诺卡菌
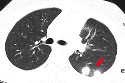
陈小姐咳嗽、咳痰的老毛病已经三年多了,断断续续用了很多药也不见好,最近的胸部CT说又发现了新的结节。陈小姐钻研了各路“就医宝典”,最终决定到中山感染病科看看。
医生给陈小姐安排了抽血检查,发现她的炎症指标中度升高,再结合她的病程胸部CT表现,考虑慢性低毒力的病原体引起的肺部感染可能大。有了大致的方向,医生给陈小姐安排了支气管镜检查。取到的标本做了微生物检测,包括传统的培养检查和新兴的基因检测,检出了少见的“盖尔森基兴诺卡菌”,完美证实了医生的推测。经过一系列抗感染治疗,陈小姐随访胸部CT左下肺病灶逐步吸收。
医生说,诺卡菌是一种毒性不是很强的病原体,感染之后一般不会导致高烧、剧烈咳嗽等等急性症状,而是多呈慢性病程。由于有效的药物与一般细菌不同,诺卡菌感染的重点和难点在于诊断,一经诊断,有针对性特效药治疗一般都可以取得良好的效果。
水痘-带状疱疹病毒
张奶奶退休后一直在家含饴弄孙。前段时间小家伙被幼儿园同学传染了水痘,发烧出痘折腾了好久,一家人都累坏了。而一波未平一波又起,张奶奶自己又开始咳嗽起来,眼看着咳了一周还不好,查了胸部CT发现双肺有多发小结节。医生建议张奶奶做个支气管镜检查,好明确肺结节性质。
支气管镜检查之后,医生安排把取到的标本做微生物基因检测,竟然检出了“水痘-带状疱疹病毒”。看到报告,不用医生解释张奶奶自己也明白了:在照顾小孙子的过程中她日夜不离,很可能就是在这个过程中吸入了病毒。所幸治疗简单,口服抗病毒药物之后,张奶奶双肺的结节都渐渐吸收了。
看了这些引起肺结节的感染原因,相信屏幕前的你,对肺结节的认识已经超过了99%的人。所以,如果你CT发现了肺结节,先别慌张,别自己吓自己(也别先把银行卡密码告诉出去???),除了胸外科,不妨先去看看对“感染性肺结节”有经验的呼吸或感染病科,比如上海中山医院感染病科。大概率上你不用开刀。对于很小的肺结节(直径小于6mm的单个肺结节),可以间隔几个月复查胸部CT、而不急于开刀或做各种各样的检查;较大的肺结节,也可能只要做些检查,用些药,就可以回归正常的生活啦 (?ˇ?ˇ?)。
【小知识】
什么是肺结节?
肺结节的影像学定义是被肺实质完全包围、界限清楚的小病变(直径≤30mm)。根据密度不同可分为实性、纯磨玻璃性(就是CT报告中常用的英文缩写“GGO”或“GGN”)以及混合性结节;按照大小分类,可分为微小(<5mm),小(5-10mm)和一般意义上的结节(10-30mm)。
肺结节可能原因有哪些?
总体来说,肺结节可以简单分为良性或恶性。恶性的常见病因包括原发性肺癌、转移性肺癌或类癌等,经过病理确诊的恶性肺结节患者仅占筛查总人数的1%-2%;而良性肺结节占绝大多数,包括感染、良性肿瘤以及其它良性病变(如血管炎、结节病)等,其中感染占最主要部分,约占全部良性结节的80%。
文:王萌冉、蔡思诗、黄英男
审核专家:胡必杰、潘珏






































































































