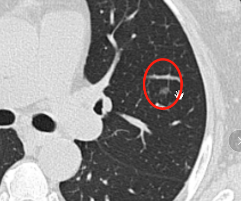
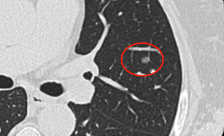
肺结节,恐怕是当今体检当中最让人纠结的一个小东西了。基本都是CT发现,尤其是一公分上下的,或明或暗,或半透明或实心儿,就像太空中一个外来星体,默默地呆在那里,让人始终揪着心。它到底是好是坏,会不会癌变,很难说清楚。 实在拿不准的,只能用时间来让它暴露。毕竟,人类还是更聪明。只要它沉不住气发生某些变化,就会被医生发现蛛丝马迹,斩于马下。 首都医科大学附属北京胸科医院胸外一科副主任医师杨志,跟我们分享了这样一个病例。这位女性患者自己也是医务工作者,53岁,六年前CT发现一个肺结节。刚发现的时候也确实拿不准,耐心地观察六年之后,一根小血管把这个结节的恶性本质暴露了。 这位患者是怎么发现的结节? 杨志:体检发现。因为她本身就是从事医疗行业,所以对自身的健康比较关注,每年都会做体检。六年前发现了左上肺叶的一块微结节的病灶。结节旁边有一支血管,这是一个可疑的血管滋养支,不是很明显,比较淡。 就说有一根小血管跟这个结节连在一起? 杨志:对,连在一起。大概0.8cm、0.9cm这个样子。 0.8cm、0.9cm,将近一公分了? 杨志:最长径不到一公分。 这其实在结节里头算是相对小的了? 杨志:对,应该叫微结节,算是最小的微结节,长径大概有0.9cm。 根据这个结节的形态,你们怎么判断它有没有问题呢? 杨志:首先在影像上,这块局部的微结节并不能判断是肺癌,但是我们根据增强CT扫描,又发现形成了供应营养的血管,癌的可能性就增加了。 就是说它连着跟血管的危险性就比较大了? 杨志:对,风险比较大。但是因为结节本身比较小,其实0.8cm、0.9cm这个体积的话,相对于肺内结节属于最早期的一个微结节,这种小于一公分的微结节,原则上是可以观察的。 那您建议她观察多长时间? 杨志:我建议她一年之后再复查。 那病人自己有没有表达担心,这结节一年以后会不会变? 杨志:也有担心。所以初期发现结节的话,如果病人也表示了比较明显的担心,那我们可以把检查周期缩短到半年,太近就不好了,就没有意义了,没有必要。另外病变的结节,是有一个变化的规律的,一般来说不会出现迅猛的增加。 那这位病人一年以后的情况呢? 杨志:一年之后其实也没有特别大的变化,还是那个样子,所以她一直在观察,保持间隔一年观察一次的频率。 她后来观察到什么时候? 杨志:观察到近期,近期是第6年的复查。第6年的复查图像我们发现异常了,病变比之前要变大了一些,而且颜色变深,密度增加。而且其中在血管进入的位置有一块稍白的部分,这说明有可能出现了浸润灶——浸润灶是癌细胞比较富集的位置,可能开始有往外的侵袭了。 就是癌细胞可能突破了原来“小球球”? 杨志:它也在这个“球”之内。在这个“球”之内,癌细胞开始往外渗透,我们在病理学上叫微浸润——微浸润就是对周围的组织开始出现侵袭性成长了。如果出现了微浸润的情况,就说明癌细胞有可能在近期内出现非常大的发展,往外扩增,就有可能出现转移。 就是从影像上“稍白”的部分可以看出它向外侵袭了? 杨志:对,这个地方比其他部分深一些,而且这只供养支血管比之前变粗了。供养支变粗了,肿瘤的内部又出现了实性灶,就说明癌的浸润性增强了。之前它可能是原位,它现在有可能变成在病理学上称作“微浸润性腺癌”的一种特殊的类型。影像上尽管不能确诊,但是我们长期经验还是高度怀疑的,必须警惕。 也就是这个结节有向外扩张的倾向,具备了恶性的特征? 杨志:对,基本上恶性的可能性非常大了。而且在出现微浸润性病灶的时候,它可能会出现一个比较迅猛的增长期,加上有血管的供养,这种增长期,有可能出现癌细胞脱落,顺着血管就流到全身其他器官了,有转移的风险,起码转移到淋巴结的风险要增加。而肺内淋巴结转移的情况,和生存期是非常相关的。 我们在临床上判断一个结节肺内结节,主要是一公分为限:小于一公分、一公分到两公分、两公分到三公分、超过三公分分成不同限度。在小于三公分的情况下,尤其1~2公分甚至小到1公分的情况下,5年生存率在微浸润腺癌的病理类型算,接近100%。 就是手术以后可以治愈了? 杨志:基本彻底治愈。而且我们所说的“5年生存率100%”是指无症状、无病患,是生活质量非常高的状态,因为相对来说体内无病。而且5年生存率高的话,后续的10年生存率、15年生存率都会非常高。 如果错过了这个时机,病变超过了一公分,或者达到两公分等等,它的5年生存率只能达到84%,降了很多,但是依然可以接受,84%也算相对较高的数字;如果再继续增加,达到2~3公分左右,这种情况只能达到60%多,65%左右,概率就非常低了。 60%多的生存率,是在用了各种治疗手段的情况下,化疗、放疗、靶向各种手段全用上,也不过是60%? 杨志:对,全部用上。另外在早期其实也不是特别建议使用这么强的手段,比如说化疗、免疫治疗,现在方法很多,但是一般来说不会用于早期患者,一般来说都是,出现问题之后,比如复发、转移,出现进展了,我们再用这些比较强力的“拳头”或者是方式。但是即使用了这种强力的方式,这种2~3公分的结节5年生存率还是不如人意,可能只有60%多。 假设出现了比较大的大块,5公分左右,甚至于更严重的情况,那么5年生存率非常迅速地降到50%以下,只有40%多。 这个不到一公分肺结节的患者,后来你们是怎么治疗的? 杨志:我们做微创手术把它切除了。做了个肺叶切除,淋巴结也清扫了,最终的病理报告提示微浸润性腺癌,跟我们术前影像判断的一样,而且淋巴结没有转移。这种情况对于她来说是非常好的,基本上就是5年生存率接近100%。 最后,杨志医生强调,这个患者6年前的结节就发现了细小的血管,并不能证明它就是恶性。良性肿瘤也可能有这样的现象。肺结节的处置,原则就是“不放过一个坏人,但也不能冤枉一个好人”,手术之前,尽量取得这个结节是恶性的证据,证据不明确,在确保安全的情况下,能不开刀就不开刀,尽量保全患者的健康肺。 肺结节手术,是个技术活儿,也是个良心活儿。


































































































